| zurück Home | Gastro - Intestinale Tumore | ||||||||||||||||||||||||||||||||||||||||||||||||||||||
| Allgemeines |
Während Magenkarzinome in den letzten Jahren immer seltener geworden sind, ist die Häufigkeit von Dickdarmtumoren unverändert hoch. | ||||||||||||||||||||||||||||||||||||||||||||||||||||||
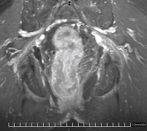
Das MRT-Bild zeigt ein distales Rektumkarzinom im Frontalschnitt. Zirkuläre Wandverdickung.![]() | |||||||||||||||||||||||||||||||||||||||||||||||||||||||
| Colo-Rektale Karzinome |
Colon | ||||||||||||||||||||||||||||||||||||||||||||||||||||||
| Sigma | |||||||||||||||||||||||||||||||||||||||||||||||||||||||
| Rektum | |||||||||||||||||||||||||||||||||||||||||||||||||||||||
| Appendix | |||||||||||||||||||||||||||||||||||||||||||||||||||||||
| Dünndarm | |||||||||||||||||||||||||||||||||||||||||||||||||||||||
| Peritoneum | |||||||||||||||||||||||||||||||||||||||||||||||||||||||
| Diagnostik |
Diagnostische Verfahren zum Staging von GI-Tumoren nach ASCO 2015(1)
| ||||||||||||||||||||||||||||||||||||||||||||||||||||||
Teil von |
spezielle Tumoren | Onkologie | |||||||||||||||||||||||||||||||||||||||||||||||||||||
Quellen |
1.) Bentley-HibbertS, Schwartz L: Use of Imaging for GI Cancers. J Clin Oncol 2015;33:1729-1736 2.) Sun W: Multidisciplinary management of gastrointestinal cancers. World Scientific 2016 3.) Messmann H, et al.: Gastrointestinale Onkologie. Thieme 2017 4.) Nagtegaal ID, Odze RD, Klimstra D et al.: The 2019 WHO classification of tumours of the digestive system. Histopathology 2020;76(2):182-8 5.) Torbenson MN, Ng IOL, Park YN, Roncalli M, Sakamato M WHO classification of digestive systems tumors. In: WHO Classification of Tumours, 2019, 5th ed, vol 1 International Agency for Research on Cancer, Lyon | ||||||||||||||||||||||||||||||||||||||||||||||||||||||
Impressum Zuletzt geändert am 24.09.2023 18:29