| zurück Home | Sigma - Karzinom | ||
Allgemeines |
Tumoren des Colon sigmoideum. | ||
Epidemiologie |
| ||
Prognose |
|||
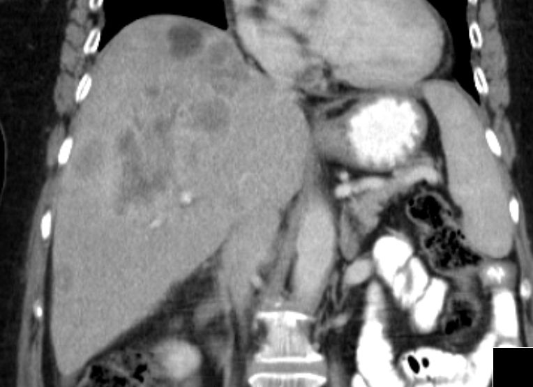
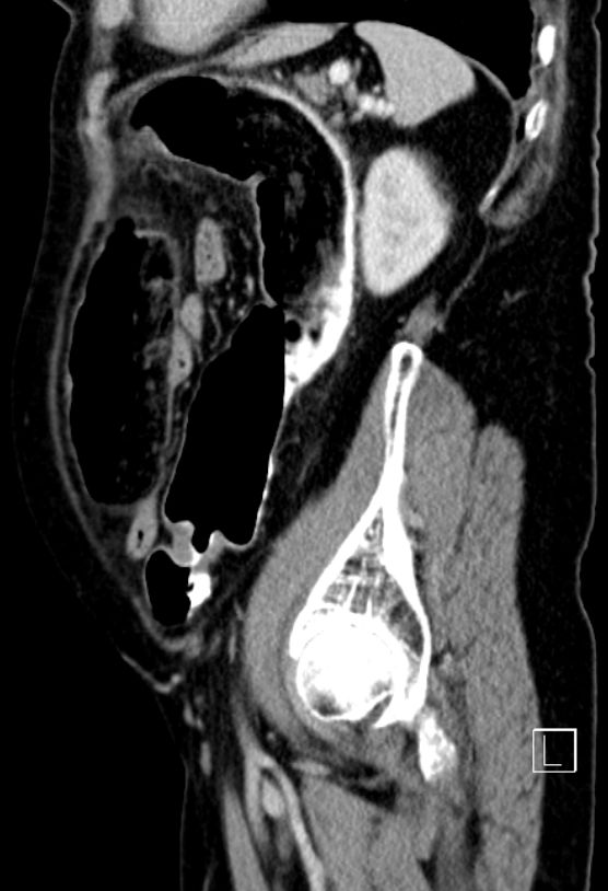
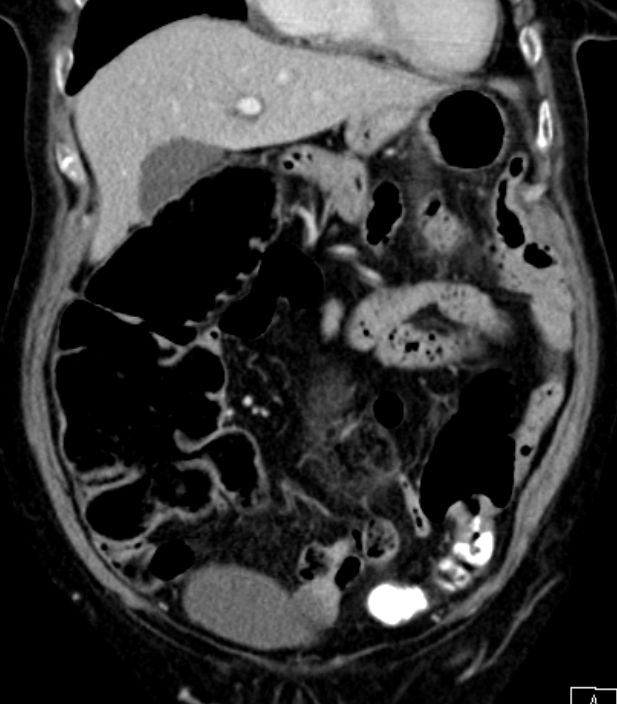
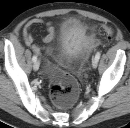
| Klinik | 72jähriger Mann mit kaffeesatzähnlichem, rötlichen Urin und 15kg Gewichtsabnahme. Stuhldurchmesser seit 4 Monaten vermindert.![]() |
![]() |
![]() |
| Diagnostik | 74-jährige Frau mit perforierter Sigmadivertikulitis und Abszeß. Sigmakarzinom pT3 pNo Mo Lo Vo.![]() | ||
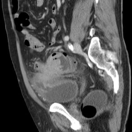
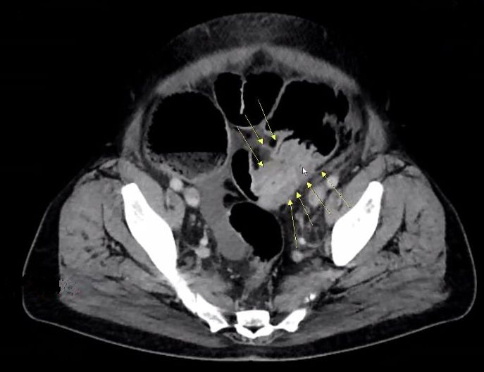
| Stenose | Stenosierendes Sigmakarzinom bei einem 48-jährigen Mann![]() | ||
| Ileus | 78-jährige Frau in der Notaufnahme wegen Ileus. Tumor am deszendo-sigmoidalen Übergang. Hemokolektomie: Ulzeriertes Adenokarzinom pT3b pN1a (1/12)Mo L1 Vo. | ||
![]() |
![]() |
![]() | |
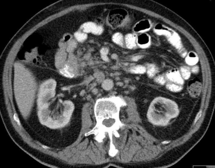
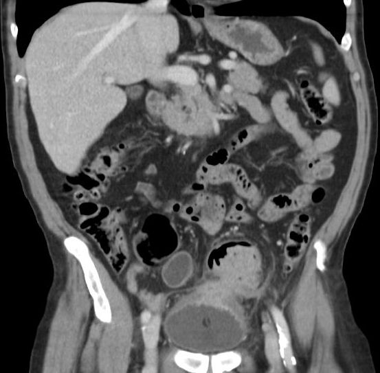
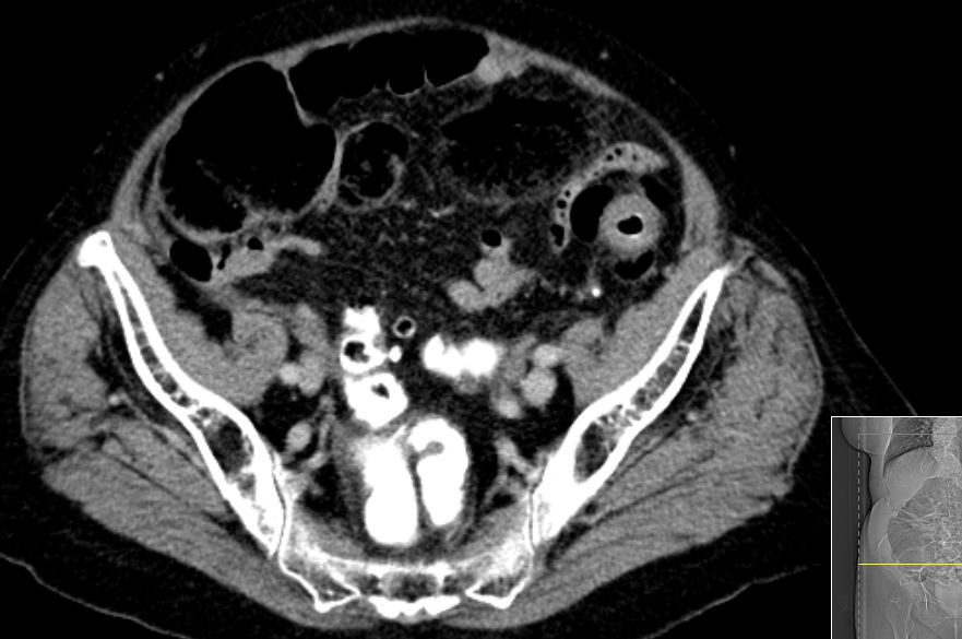
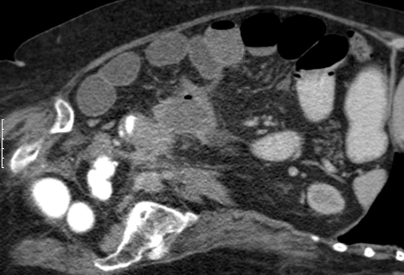
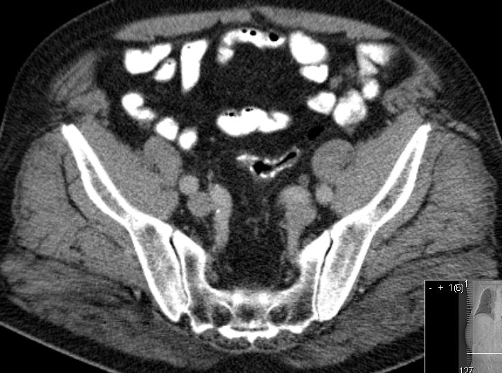
| Ileus | Das CT zeigt einen stenosierenden Sigmatumor mit ausgeprägtem Ileus. |
||
| Metastasen | zahlreiche vergrößerte Lymphknoten paraaortal, paracaval und mesenterial.![]() |
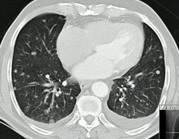
Lungenmetastasen.![]() |
primär hepatisch metastasiertes Sigmakarzinom![]() |
| Morphologie | Adenokarzinome | ||
| Therapie | |||
| Operation | 71-jähriger Mann 2 Jahre nach Operation eines Sigmakarzinoms pT3 pN1 M1hep. Die Staplernaht ist deutlich sichtbar. | ||
| adjuvante Therapi | 3x CAPOX | ||
Rest |
|||
Quellen |
1.) : | ||
Teil von |
Colon - Karzinom | Gastro - Intestinale Tumore | |