zurück Home

HCC, hepatozelluläres Karzinom C22
Leber-Tumoren

Leberzellkarzinom, Hepatoblastom, cholangiozelluläres CA, Leberzell - Adenom

Allgemeines Das HCC oder primäres Leberzellkarzinom besteht aus maligne entarteten Leber-Parenchym - Zellen.

Epidemiologie

Hauptrisikofaktor ist die chronische Hepatitis C. Ferner Hepatitis B und alkoholische Leberszirrhose.

Prognose

USA: 5a-survival 10%. Im intermediären Stadium überleben 50% 3a, im fortgeschrittenen Stadium 8%.

Klinik

Die Diagnostik ist durch die meistens vorhandene chronische Lebererkrankung erschwert.

Metastasierung

Staging

TNM (UICC) BCLC-Klassifikation Stadieneinteilung nach Okuda.

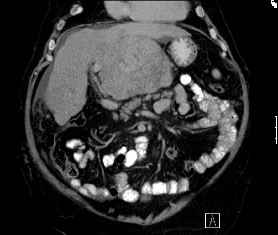
Diagnostik

Sonographie, CT, MRT. typisch: AFP erhöht. Beispiele bildgebender Diagnostik

Morphologie

Therapie

Operation

TACE

SIRT

transarterielle Chemoembolisation

Radiatio

Chemotherapie

Targettherapie

Ergebnisse

SHARP
Quellen

Teil von

Gastro - Intestinale Tumore

Impressum                         Zuletzt geändert am 23.03.2024 23:21