zurück Home

Pankreas - Karzinom C25

Allgemeines Das exokrine Pankreaskarzinom hat eine schlechte Prognose, weil es selten früh entdeckt wird und die Unterscheidung von der chronischen Pankreatitis schwierig ist.
Epidemiologie In den USA 5.-häufigste tumorbedingete Todesursache.
sonstige Pankreastumoren Pankreatische neuroendokrine Tumoren, Insulinom, Zystische Tumoren
Prognose 5-a-Überlebensrate ca. 4%. Metastasiertes Karzinom: Medianes Überleben 3-6 Monate. Lokal operables Karzinom: 6-9 Monate. PSCA: Oberflächen-Antigen, Expression günstig. Medianes Überleben:
Stadium I, II 15–19 Monate
Stadium III 6–10 Monate
Stadium IV 6 Monate
Klinik Zur chirurgischen Therapie ist die Unterscheidung zwischen Pankreaskopf (75%), Pankreaskörper (15%)und Pankreasschwanz (10%) wichtig.
Metastasierung Leber, Peritoneum, Lunge. Andere Metastasenorte selten Lymphabfluss des Pankreas
Lymphabfluss
Staging TNM-Klassifikation
Diagnostik Nach Diagnosesicherung muss die Operabilität geklärt werden. CT ist notwendig, MRT, PET und Sonographie können die Ausdehnung präzisieren.
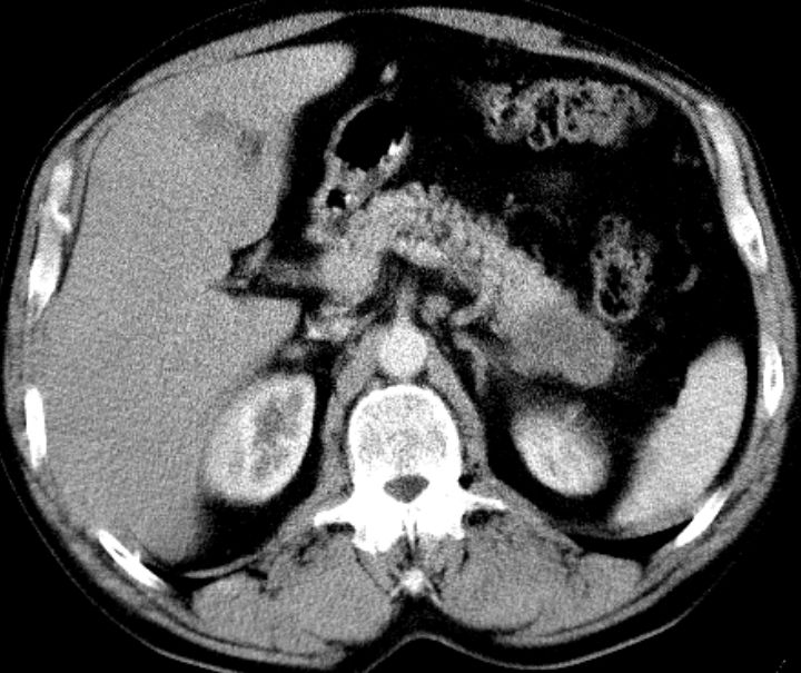
CT: Pankreasschwanz-Karzinom, Leber- und Lymphknotenmetastasen


VA 19-9 > 500: lokal fortgeschritten
Morphologie Das exokrine Pankreaskarzinom stammt von den Pankreasdrüsenepithelien ab. IPMN
Molekularbiologie Molekularbiologische Subtypen: SCC, Immunogener Typ, Pancreas - Progenitor, ADEX

Therapie

Die Operation ist das einzige kurative Therapieverfahren. 10-15% sind operabel.

Ergebnisse

ECOG 8282, GERCOR, NCI CTG PA.3, RTOG 9704

Operation

Die typische Radikal-OP ist die Whipple-OP mit Lymphonodektomie.

Radiatio

Bei inoperablen Fällen meistens in Kombination mit einer FU-haltigen Chemotherapie.

Chemotherapie

Nach Ro-Resektion sollte eine adjuvante Chemotherapie durchgeführt werden. Gemzitabine, 5-FU, Cisplatin werden in verschiedenen Kombinationen eingesetzt.

praeoperative Radio - Chemotherapie

Die praeoperative Radiochemotherapie erhöht die Rate operabler Pankreaskarzinome.

postoperative Radio - Chemotherapie

Die postoperative Radiochemotherapie R0-operierter Pankreaskarzinome verbessert die Prognose.

Links

Arbeitskreis der Pankreatektomierten

Quellen

Teil von

Gastro - Intestinale Tumore

Impressum                                 Zuletzt geändert am 21.08.2021 18:29