| zurück Home | Gallenwegs - Karzinom CCC | |||
Allgemeines |
Auch CCC (cholangio cellular carcinoma). |
Tumoren der Gallenwege werden meist spät erkannt und können selten kurativ behandelt werden. | ||
BTC |
Biliary Tract Cancer |
CC: Cholangio - Carcinoma (intrahepatisch, perihilär, distal) oder Gallenblasenkarzinom | ||
| Epidemiologie | Inzidenz 1/100.000 * a. | Risikofaktoren: primäre sklerosierende Cholangitis, Parasiten | ||
| intrahepatisches CCC | 10% der Gallenwegskarzinome liegen intrahepatisch. | |||
| Klatskin | perihiläre Gallengangs - Karzinome: Ductus hepaticus communis, dexter, sinistra | |||
| Distale Gallengänge | Tumoren distal der Einmündung des Ductus cysticus | |||
| Ampulla Vateri | Einmündung ins Duodenum | |||
| Prognose | Frühe Lymphknoteninvasion und distante Metastasen. | 5a-Überlebensrate 6-52% | ||
| Klinik | 50% im D. hepaticocholedochus bis zur Einmündung des D. cysticus. | |||
Metastasierung |
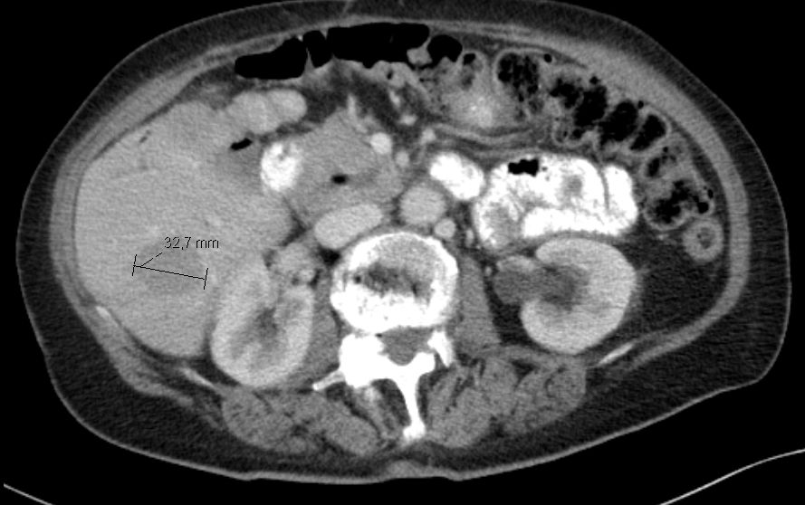
79-jährige Frau, die vor einem Jahr eine Klatskin-Tumor pT2 pNo Mo LoV1 G2 entwickelte. Operation Ro. Jetzt Lebermetastase. Chemotherapie mit Gemcitabine: Progress.![]() |
![]() | ||
| Diagnostik | schmerzloser Ikterus | |||
| Morphologie | 80% Adeno, 5% anaplastisch, 3% SCC, 3% adenosquamös. | Ca. 1/4 der Fälle zeigt eine starke bis sehr starke Expression von LI-Cadherin. Das HCC ist immer LI-Cadherin negativ. | ||
Therapie | ||||
Operation |
Nur 10-20% resektabel. | Die Resektion ist die einzige kurative Therapie. | ||
Radiatio |
Wegen der ungünstige Lage von Risikoorganen selten ein Benefit zu erzielen. | |||
Chemotherapie |
Palliative Chemotherapie, z.B. Gemzitabin 1000mg/qm d1,8,15,q29 oder Gemzitabin/Cisplatin: Cisplatin 25mg/qm d1,Gemzitabin 1000mg/qm d1, 8,q22 oder GEMOX: Gemzitabin + Oxaliplatin oder GEMOX + Erlotinib | |||
Immunmodulation |
PD-1-AK | Pembrolizumab, Keytruda® | Indikation
|
GBA 3.23: Zusatznutzen nicht belegt |
| ABC-01, ABC-02: Cisplatin + Gemzitabin besser als Gemzitabin | ||||
Teil von |
Gastro - Intestinale Tumore | Onkologie | ||
| Quellen |
1.) Valle J W, et al. On behalf of the ESMO Guidelines Committee: Biliary cancer: ESMO Clinical Practice Guidelines for diagnosis, treatment and follow-up. Annals of Oncology 2016;27 (Supplement 5): v28 – v37 doi:10.1093/annonc/mdw324 | |||
Impressum Zuletzt geändert am 07.02.2023 17:25