Pankreatische neuroendokrine Tumoren (NET, PNET) | |||
| Allgemeines | Neuroendokrine Tumoren gibt es in verschiedenen Körperteilen. Am häufigsten sind gastrointestinale NET. | ||
| NF-PNET | non-funktionale neuroendokrine Tumoren des Pankreas | 70–90% aller PNET 5‑a OS: 30-66% | |
| funktionale | funktionale pankreatische, neuroendokrine Tumoren 10- 30%. | Sekretion verschiedener Hormone z.B. Insulin, Gastrin. Hormone - Excess - Syndrome führten meistens zum Tode. | |
| Insulinom | Sekretion von Insulin, Gastrin. Selten maligne. | Hypoglykämie, Katecholamin - Ausschüttung | |
| Gastrinom | Sekretion von Gastrin. | Rezidivierende peptische Ulzera, Diarrhö, Steatorrhoe . | |
| Glugagonom | Sekretion von Glukagon. | Diabetes, migratorisches, nekrolytisches Erythem, Gewichtsverlust, Thromboembolie, Pahypoaminoacidurie | |
| VIPom | Sekretion von VIP (vasoaktives intestinales Peptid). | Wässrige Diarrhö, Hypokaliaemie, Achlorhydie, metabolische Azidose, Hyperglykämie, Flush, Hyperkalzämie | |
| Somatostatinom | Sekretion von Somatostatin | Diabetes, Diarrhö, Steatorrhoe, Hypochlorhydrie, Gewichtsverlust, Gallenblasenerkrankung | |
| pankreatisches Polypeptidom | Sekretion von pankreatischen Polypeptiden | Hepatomegalie, Bauchschmerzen, wässrige Diarrhö | |
| Epidemiologie | Inzidenz 3-5 / 100.000 EW * a. 1,3% aller Pankreastumoren. Inzidenz ansteigend. >50% primär M1 | ||
| Prognose | >50% maligne. M1: 5a-survival 30-40% | ||
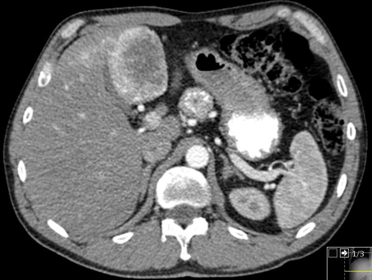
| Diagnostik | 54-jähriger Mann mit einem Pankreaskorpus-NED mit
Lymphknoten- und Lebermetastasen. Das CT zeigt eine kontrastmittelaufnehmende
Raumforderung im Pankreaskorpus von 4 cm Durchmesser mit einzelnen Verkalkungen
und zentral einem hypodensen Areal.![]() |
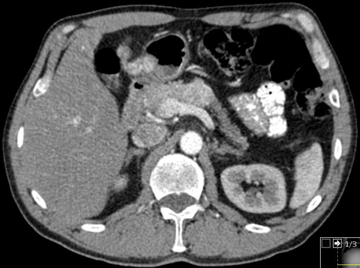
Intrahepatisch Nachweis mehrerer, insbesondere in
der arteriellen Phase stark Kontrastmittel aufnehmender tumoröser
Raumforderungen. Lymphknotenmetastase hinter der Magenwand.![]() |
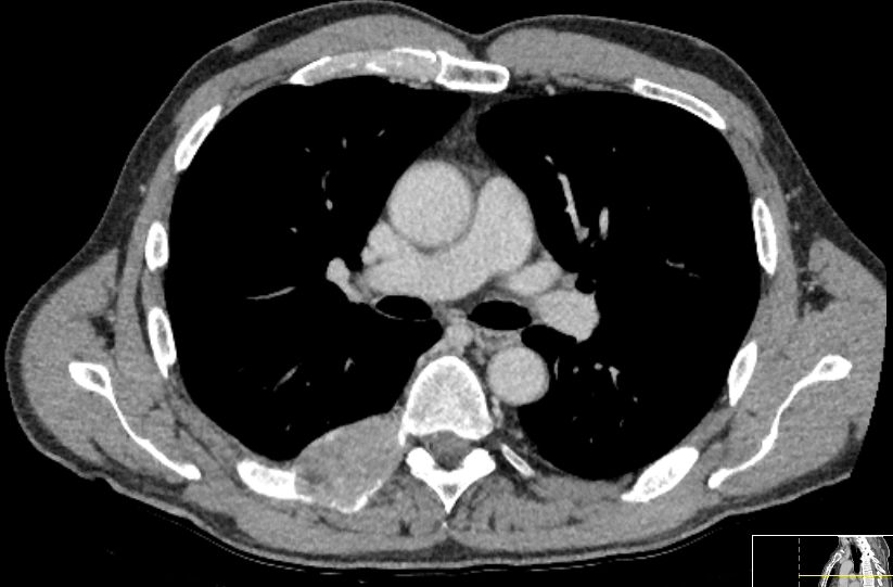
8 Jahre später: Nach zahlreichen Operationen,
interstitieller Brachytherapie z.Z. intraabdominaler Tumor beherrscht. Jetzt
Metastase am Ansatz der 7. Rippe rechts mit drohendem Einbruch in den
Spinalkanal.![]() |
| Grading | Ki67 > 20%: G3 | ||
| Chemotherapie | objektive Response - Rate: 10-45% | ||
| Somatostatin - Analoga | Octreotid LAR kann das progressionsfreie Überleben bei limitiert metastasiertem Tumor verlängern. | ||
| Sunitinib | Eine Studie mit 171 Patienten prüfte 37,5mg Sunitinib gegen Placebo(10). Das PFS verbesserte sich von 5,5 auf 11,4 Monate. Response-Rate 9,3% | ||
| Studien | ECOG-ACRIN E2211: Temozolomide or Temozolomide and Capecitabine, Advanced Pancreatic Neuroendocrine Tumors | RADIANT: Envirolismus beim metastasierten, chemotherapieresistenten, pankreatischen NET | |
Quellen |
1.) Metz DC, Jensen RT: Gastrointestinal neuroendocrine tumors: pancreatic endocrine tumors. Gastroenterology 135(2008):1469-1492 2.) Panzuto F, Nasoni S, Falconi M, et al.: Prognostic factors and survival in endocrine tumor patients: comparison between gastrointestinal and pancreatic localization. Endocr Relat Cancer 12(2005):1083-1092 3.) Hauso O, Gustafsson BI, Kidd M, et al.: Neuroendocrine tumor epidemiology: contrasting Norway and North America. Cancer 113(2008):2655-2664 4.) Modlin IM, Oberg K, Chung DC, et al.: Gastroenteropancreatic neuroendocrine tumours. Lancet Oncol 9(2008):61-72 5.) Zhou J, Enewold L, Stojadinovic A, et al.: Incidence rates of exocrine and endocrine pancreatic cancers in the United States. Cancer Causes Control 21(2010):853-861 6.) Rinke A, Muller HH, Schade-Brittinger C, et al.: Placebo-controlled, double-blind, prospective, randomized study on the effect of octreotide LAR in the control of tumor growth in patients with metastatic neuroendocrine midgut tumors: a report from the PROMID Study Group. JCO 27(2009):4656-4663 7.) Duerr EM, Chung DC: Molecular genetics of neuroendocrine tumors. Best Pract Res Clin Endocrinol Metab 21(2007):1-14 8.) Yao JC, Shah MH, Ito T, et al.: Everolimus for advanced pancreatic neuroendocrine tumors. NEJM 364(2011):514-523 9.) Missiaglia E, Dalai I, Barbi S, et al.: Pancreatic endocrine tumors: expression profiling evidences a role for AKT-mTOR pathway. JCO 28(2010):245-255 10.) Raymond E, Dahan L, Raoul J-L, et al.: Sunitinib malate for the treatment of pancreatic neuroendocrine tumors. NEJM 364(2011):501-513 | ||
Teil von |
Pankreas - Karzinom | Gastro - Intestinale Tumore | |
Impressum Zuletzt geändert am 21.08.2021 18:29