Appendix-Tumoren | |||
Allgemeines |
Appendix - Tumoren unterscheiden sich in mancher Hinsicht von Colon-Karzinomen | ||
Epidemiologie |
in 0,1% der Appendektomiepräparate ein Malignom Inzidenz 0,2 / 100.000 * Jahr Altersgipfel 65a Männer etwas häufiger als Frauen Risikoerkrankungen: Colitis ulcerosa, FAP Altersgipfel 65a | ||
Prognose | |||
Klinik | |||
Metastasierung | |||
niedrig maligne muzinöse Neoplasie |
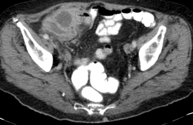
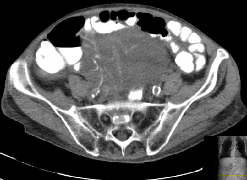
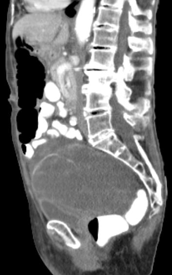
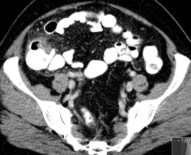
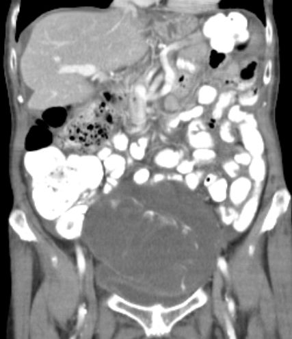
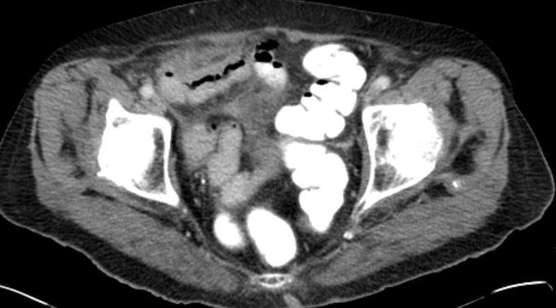
66-jährige Frau mit einem Appendixtumor. Histologisch niedrig maligne muzinöse Neoplasie.![]() |
![]() |
![]() |
Rezidiv einer muzinösen Neoplasie |
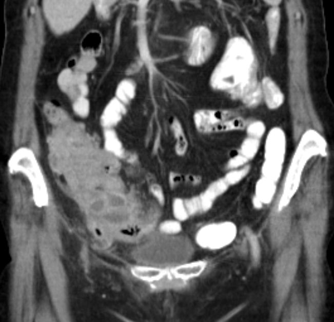
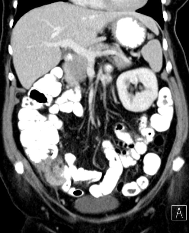
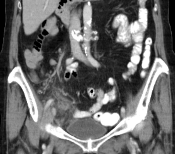
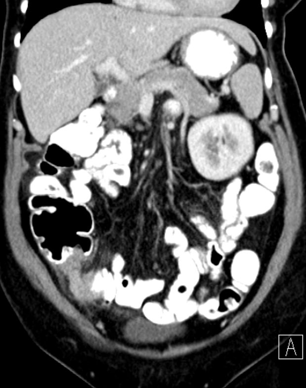
91-jährige Frau 2 Jahre nach OP einer muzinösen Neoplasie der Appendix. Jetzt Rezidiv.![]() |
![]() |
![]() |
nicht muzinöses Adenokarzinom |
71-jährige Frau mit Adenokarzinom der Appendix pT4b pNo Mo Lo Vo.
Coloskopie: zirkuläres, exophytisch und ulzerierend wachsendes Karzinom mit einer Größe von 60 mm im Colon ascendens, nicht passierbar.![]() |
![]() |
Unmittelbar oberhalb der Ileozökalklappe Nachweis eines 7 x 6 cm großen, schüsselförmig exulzerierten Tumors.
Der Tumor durchdringt alle Wandschichten und infiltriert retrograd den davor geschalteten Dünndarm.![]() |
Ausgehend von zökumnahen Anteilen des Wurmfortsatzes,
Infiltrate eines zum Teil tubulär, zumeist kribriform und strangfrömig wachsenden malignen epithelialen Tumors.
Dieser bricht unter fibroplastischer Stromatransformation in das perimuskuläre Fettgewebe aus und infiltriert sekundär die Dünndarmwand.
CDX 2: kräftige Kernfärbung. Zytokeratin 20 z.T. gefärbt. Zytokeratin 7, Chromogranin, Synaptophysin negativ.![]() |
![]() | ||
Morphologie |
muzinöse Adenokarzinome Siegelringkarzinome Karzinoide | ||
LAMN |
niedriggradige muzinöse Appendixneoplasie. | Durch Exzision im Gesunden heilbar. | Kann mit Pseudomyxoma perinonei einhergehen. |
Therapie | |||
Operation | |||
Radiatio | |||
Chemotherapie | |||
offene Protokolle | |||
Ergebnisse | |||
Rest | |||
Teil von |
Colo-rektale Karzinome | Gastro - Intestinale Tumore | |
Impressum Zuletzt geändert am 16.09.2012 11:51