zurück Home Anal-Tumoren C21
Allgemeines Anal - Karzinome befinden sich im Analkanal (Analkanalkarzinom) oder in der Perianalregion (Analrandkarzinom). Plattenepithelkarzinome mit Ausdehnung ins untere Rektum werden als Anal - Karzinome angesprochen.

weiter Pfeil

Der Analkanal ist nach kranial durch die Linea anorectalis und den tastbaren Rand des Sphincter ani begrenzt.
Nach caudal geht das helle haarlose Anoderm in die dunkle, behaarte Perianalhaut über.

Epidemiologie

Durch Papilloma-Viren (HPV) ausgelöst. AIDS: 80% Anal-Ca. Impfung

Prognose

5a-Überleben: gut differenziert 75%, schlecht differenziert 25%.

Klinik

Anal - Karzinome sind z.T. von außen sichtbar, z.T. liegen sie im Analkanal und sind mit der rektalen Untersuchung leicht zu tasten.

Metastasierung

Staging

Analrand- und Tumoren der perianalen Haut innerhalb von 5 cm vom Analrand werden wie Karzinome des Analkanals klassifiziert.

Diagnostik

Morphologie

Therapie

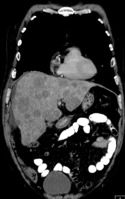
RCh mit Mitomycin-FU Lebermetastasen bei Plattenepithel - Ca des Anus

Operation

Radiatio

Chemotherapie

Ergebnisse, Studien

Quellen

Teil von

Gastro - Intestinale Tumore

Impressum                               Zuletzt geändert am 31.12.2022 21:43