Colon - Karzinom C18 | |||||||||||||||||||
Allgemeines |
Tumoren von Dickdarm, Blinddarm, Sigma und Rektum werden zu colorektalen Karzinomen zusammengefasst. | ||||||||||||||||||
| Tumoren des Colon sigmoideum werden wie Colon-Karzinome behandelt. | |||||||||||||||||||
| Appendix - Tumoren unterscheiden sich in mancher Hinsicht von Colon-Karzinomen | |||||||||||||||||||
Dickdarmtumoren sind in westlichen Ländern sehr häufig. |
Risikofaktoren: genetische Disposition (Lynch, FAP), körperliche Inaktivität, Übergewicht, übermäßiger Alkoholkonsum, Rauchen. |
ASS Einnahme vermindert das Risiko von colorektalen Malignomen. | |||||||||||||||||
| Screening durch Stuhltest und Endoskopie vermindern das Risiko an colorektalen Karzinomen zu sterben. | Nicht invasives Screening auf colorektale Karzinome
| ||||||||||||||||||
| Stadien | Colon-, Caecum-, Sigma- und Rektum-Karzinome haben eine einheitliche Stadieneinteilung. | Nur die Definition der regionalen Lymphknoten ist unterschiedlich. | Nur Appendix-Tumoren und neuroendokrine Tumoren werden anders gestaged. | ||||||||||||||||
![]() Überlebensrate unterschiedlicher Stadien in der BRD nach Kube (1). |
Die 5-Jahres-Überlebensrate betrug in den USA 65% (1996-2003) | ||||||||||||||||||
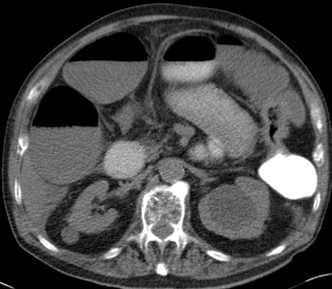
| Klinik | Blut im Stuhl, Verstopfung oder Durchfall, Blähungen, krampfartige Bauchschmerzen. | Stenosierender Tumor der linken Flexur mit Ileus.![]() | |||||||||||||||||
| Diagnostik | Durch Koloskopie erfolgt die histologische Sicherung und die Feststellung von Lage und Ausdehnung. | ||||||||||||||||||
| Morphologie | Adenokarzinome | ||||||||||||||||||
| Molekularbiologie | Wnt, KRAS, BRAF, p21, Gen S100A4/Metastasin, β-Catenin. Prädiktive Marker | ||||||||||||||||||
| Therapie | Radikaloperation, z.T. anschließende Chemotherapie. Spezielles Vorgehen bei Rektum-Karzinomen. | ||||||||||||||||||
| EPIC-Trial | |||||||||||||||||||
| Operation | Als Primärtherapie ist die Hemicolektomie mit Lymphonodektomie bei Colonkarzinomen anzustreben. | ||||||||||||||||||
| Radiatio | Bei lokal fortgeschrittenen Rektum-Karzinomen wertvoll. Bei Colonkarzinomen nur in besonderen Situationen. | ||||||||||||||||||
| Chemotherapie | wirksam sind: 5-FU, Oxaliplatin, Irinotecan, Capecitabine, Polychemotherapie: FOLFOX, FOLFIRI | ||||||||||||||||||
| Target-Therapie | Panitunumab, Bevacizumab, Cetuximab (Erbitux): besonders wirksam bei KRAS-Wildtyp | ||||||||||||||||||
Rest |
Genmarker für Metastasen: BAMBI | ||||||||||||||||||
Quellen |
1.) Kube R, Gastinger I, Mroczkowski P, Ptok H, Wolff S, Lippert H: Versorgung von Patienten mit Kolonkarzinom: Erfassung der Behandlungssituation und Evaluation neuer Operationsverfahren Dtsch Ärztebl 108(2011): 41-6 2.) Zwink N, Holleczek B, Stegmaier C, Hoffmeister M, Brenner H: Complication rates in colonoscopy screening for cancer—a prospective cohort study of complications arising during the procedure and in the ensuing four weeks. Dtsch Arztebl Int 2017; 114: 321–7. DOI: 10.3238/arztebl.2017.0321 | ||||||||||||||||||
Links |
Darmkrebs-Zentrale: Infos für Patienten und Angehörige | ||||||||||||||||||
Teil von |
Gastro - Intestinale Tumore | ||||||||||||||||||
Impressum Zuletzt geändert am 30.04.2024 10:18