| zurück Home | GIST: gastrointestinale Stroma-Tumoren | ||||||||||||||||||||||||||||||||||||||||
| Allgemeines |
| ||||||||||||||||||||||||||||||||||||||||
Epidemiologie |
BRD: 1200 Neuerkrankungen / Jahr, Inzidenz: 1 /100.000 a. USA: 5000 Neuerkrankungen / Jahr. Häufigster mesenchymaler Tumor des Gastrointestinaltraktes. |
Genetische Ursachen: von Recklinghausen’s Neurofibromatose |
Carney’s Triad: Magen - GIST, pulmonale Chondrome, extraadrenale Paragangliome | ||||||||||||||||||||||||||||||||||||||
Prognose |
Rezidivrisiko nach kurativer Operation
Ein hohes Risiko haben Tumoren, die sehr groß sind, eine sehr hohe Mitoserate haben, intraoperativ rupturiert sind oder eine ungünstige Kombination von Risikofaktoren haben. | ||||||||||||||||||||||||||||||||||||||||
Cajal-Zellen |
Cajal-Zellen exprimieren das KIT Protoonkogen. | GIST entstehen aus Cajal-Zellen. | Cajal-Zellen stammen von den Mesenchymzellen des Darms ab und Steuerung die Darmperistaltik. | ||||||||||||||||||||||||||||||||||||||
| Mikroskopisches Bild eines gastrointestinalen Stromatumors (GIST), Spindelzelltyp mit myoiden Arealen, prominente Gefäße, Hämorrhagie und Nekrose. H.-E.-Färbung. Bildquelle: CoRus13, CC BY-SA 4.0 | |||||||||||||||||||||||||||||||||||||||||
Lokalisation |
| ||||||||||||||||||||||||||||||||||||||||
Klinik |
GIST der rechten Magenwand![]() |
![]() |
![]() | ||||||||||||||||||||||||||||||||||||||
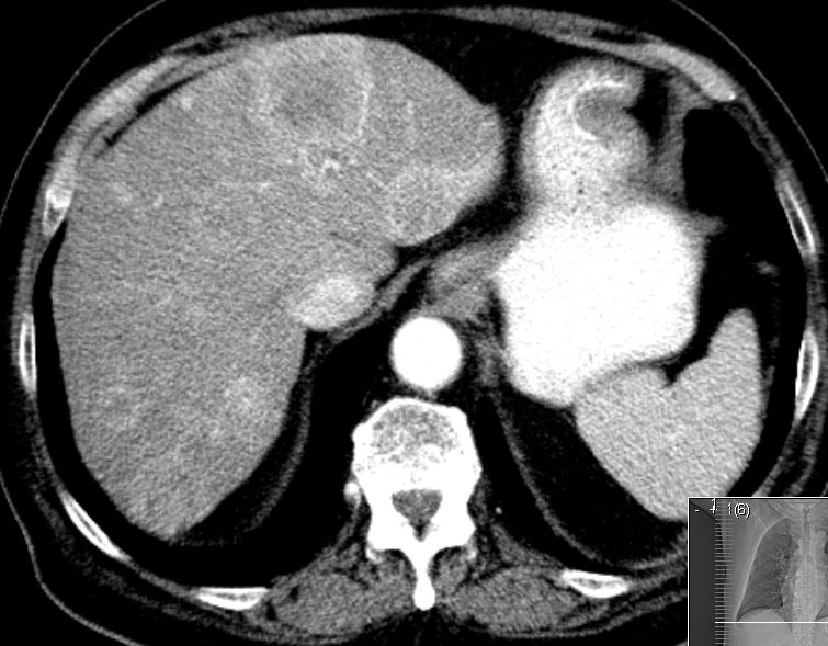
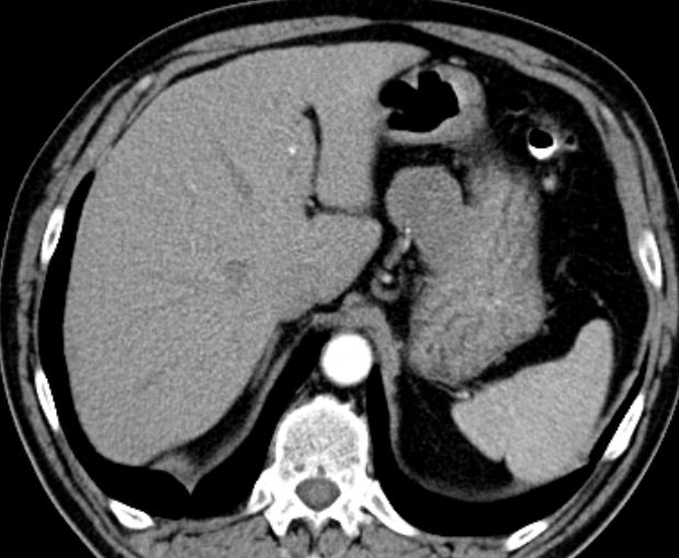
56-jähriger Mann mit großer Raumforderung der Magenvorderwand.
Gallenblase und Leber werden etwas verdrängend.
Vergrößerte Lymphknoten sind nicht nachweisbar.![]() | |||||||||||||||||||||||||||||||||||||||||
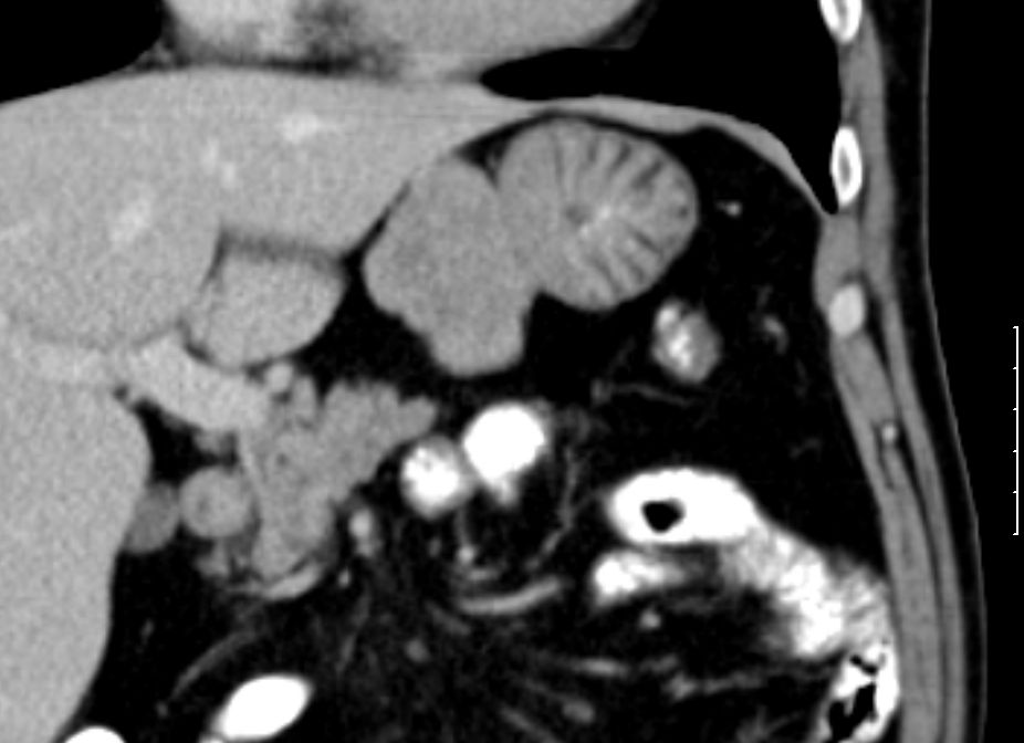
Jejunum |
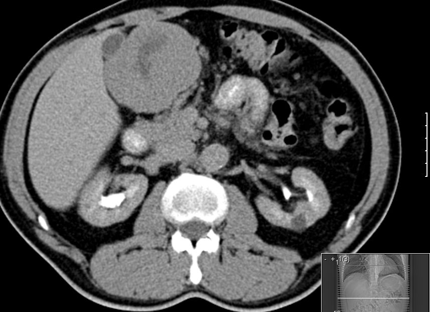
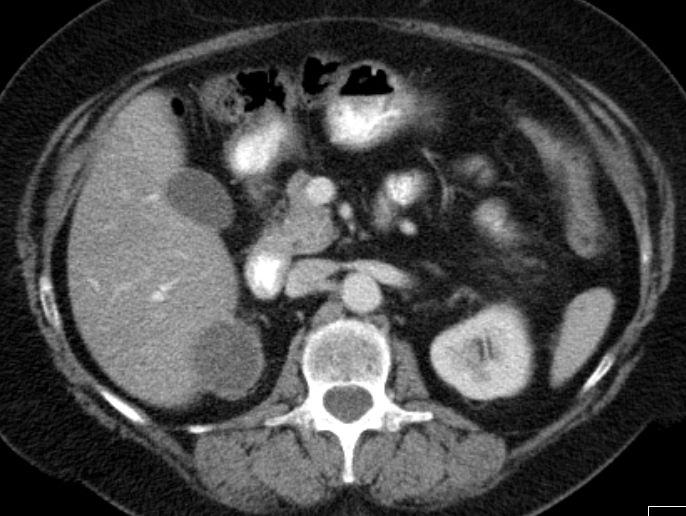
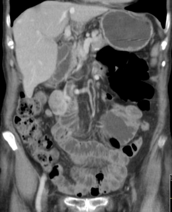
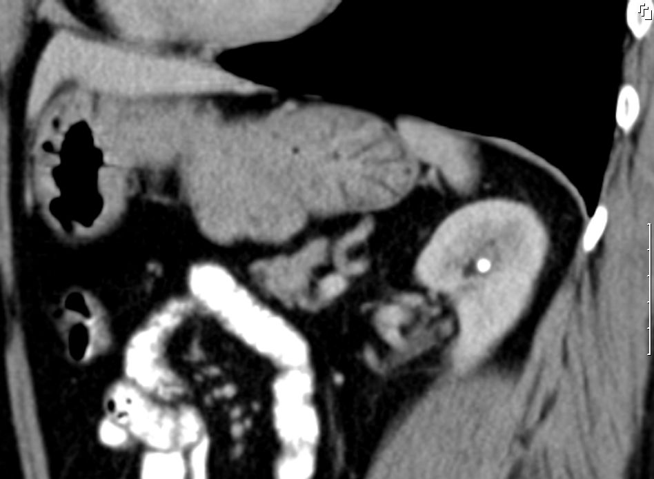
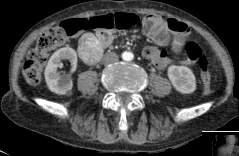
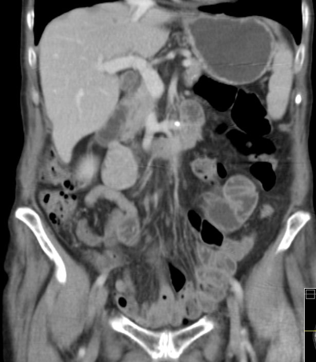
84-jährige Frau mit symptomatischer Anämie (Hb 3,8) und Kachexie (BMI 16).
Palpable Resistenz im Epigastrium.
Intraoperativ fand sich im Mesenterium des Jejunum eine 4cm große knotige Raumforderung.
Histologisch gastrointestinaler Stromatumor. Exzision im Gesunden. Ki67 = 1 % (niedriges Risiko).![]() |
![]() |
![]() | ||||||||||||||||||||||||||||||||||||||
Metastasierung |
78-jähriger Mann, der 2 Jahre nach GIST des Dünndarms Lebermetastasen entwickelte.
Typisch ist die ausgeprägte hypervaskuläre Metastasenperipherie.![]() |
60-jähriger Mann, der vor 12 Jahren ein GIST mit Befall von Magen und Quercolon hatte.
Seit 8 Jahren Lebermetastasen.
Therapie mit Imatinib, jetzt Sunitinib:SD.![]() | |||||||||||||||||||||||||||||||||||||||
Diagnostik | |||||||||||||||||||||||||||||||||||||||||
Morphologie |
Ähnlichkeit mit Leiomyosarkom oder Leiomyom. | Sichere Unterscheidung nur mit Molekularbiologie. | |||||||||||||||||||||||||||||||||||||||
| c-KIT-Rezeptor: Thyrosin-Kinase, 90% Mutation bei GIST | TK-IH hemmen die überschießende Aktivität des mutierten c-KIT-Proteins. | Mutation des PDGFRA | |||||||||||||||||||||||||||||||||||||||
Therapie |
Imatinib (Glivec) 400mg/d. 10-15% primäre Imatinib - Resistenz. | 40% sekundäre Resistenz innerhalb von 2 Jahren. | Second Line - Therapie: Sunitinib. | ||||||||||||||||||||||||||||||||||||||
Therapieansprechen nach Choi (1): Größe, Dichte, neue Läsion, Demaskierung einer Metastase | |||||||||||||||||||||||||||||||||||||||||
Operation |
Möglichst komplette Resektion des Tumorgewebes. | ||||||||||||||||||||||||||||||||||||||||
Strahlentherapie |
wenig wirksam | ||||||||||||||||||||||||||||||||||||||||
Chemotherapie |
wenig wirksam | ||||||||||||||||||||||||||||||||||||||||
Ergebnisse | |||||||||||||||||||||||||||||||||||||||||
Teil von |
Gastro - Intestinale Tumore | ||||||||||||||||||||||||||||||||||||||||
Quellen |
1.) Choi H, et al.: Correlation of computed tomography and positron emission tomography in patients with metastatic gastrointestinal stromal tumor treated at a single institution with imatinib mesylate: proposal of new computed tomography response criteria. JCO 25(2007)1753-1759 MD Anderson, Houston 2.) DeMatteo R, et al.: Adjuvant imatinib mesylate after resection of localised, primary gastrointestinal stromal tumour: a randomised, double-blind, placebo-controlled trial. The Lancet 373(2009):1097-1104 3.) Joensuu H, et al.: One vs three years of adjuvant Imatinib for operable gastrointestinal stromal tumor. A randomized trial. JAMA 307(2012): 1265–72 Universität Helsinki 4.) Blanke CD: Optimal duration of adjuvant therapy for patients with resected gastrointestinal stromal tumours. JAMA 307(2012): 1312–4 | ||||||||||||||||||||||||||||||||||||||||
Impressum Zuletzt geändert am 24.06.2025 22:12