Gallenblasen - Karzinom |
Lymphabfluss der Gallenblase![]() | |||||||||||||
Allgemeines |
||||||||||||||
| Epidemiologie | USA 2008: 9.520 Erkrankungen, 3.340 Sterbefälle | Risikofaktoren: Gallensteine, Cholezystitis | Altersgipfel 60-80a. | |||||||||||
| Prognose | 5a-Überlebensrate 5%. Stadium 1: 30-100%, Stadium II: 10-60% | |||||||||||||
| Klinik | 60% Fundus-Karzinome, 30% Korpuskarzinome | |||||||||||||
IGBC |
incidental gallbladder cancer | 50–70 % der Tumoren werden zufällig bei einer elektiven Cholezystektomie gefunden. | In 0,7 % des elektiven Cholezystektomien wird ein Karzinom gefunden. | |||||||||||
| Bei Fehlen von Metastasen erfolgt Resektion und die portale Staging-Lymphadenektomie. | Der optimale Zeitpunkt der Nachoperation wurde in einer randomisierten Studie untersucht (8,9)
207 Patienten aus 10 amerikanischen Zentren |
Bei insgesamt schlechtem Gesamtüberleben ist das schlechte Abschneiden der frühen Gruppe nicht plausibel. | ||||||||||||
Metastasierung |
59-jährige Frau mit inzidentellem Gallenblasenkarzinom vor 3 Jahren T2 No
Mo. Jetzt Bauchdeckenmetastase an der Laparoskopienarbe.
![]() | |||||||||||||
| postoperatives Staging, AJCC - UICC 7. Ductus cystcus - Tumoren werden gleichartig gestaged | ||||||||||||||
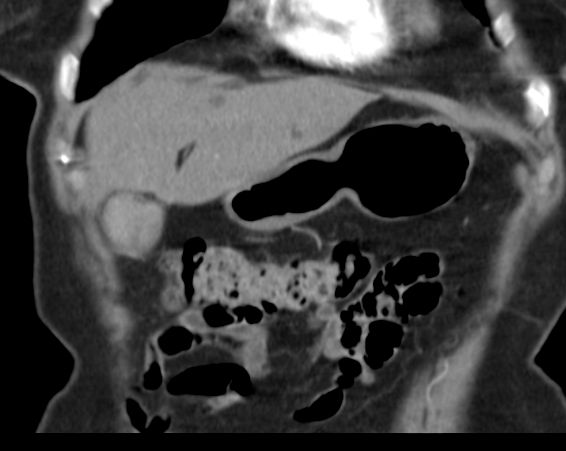
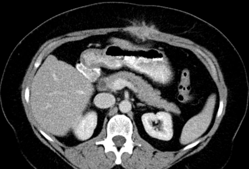
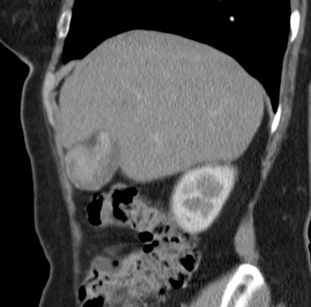
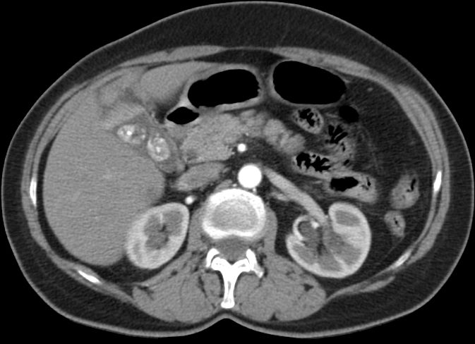
Beispiel: CT eines Funduskarzinoms in einer
Stein-Blase ![]() |
![]() |
![]() |
||||||||||||
Morphologie | ||||||||||||||
Therapie |
Eine komplette Resektion ist die einzige potentiell kurative Behandlung (1). | |||||||||||||
Operation | ||||||||||||||
adjuvante Radiatio - Chemotherapie |
Eine postoperative Radiochemotherapie kann in einigen Fällen das Ergebnis verbessern. | |||||||||||||
adjuvante Chemotherapie | ||||||||||||||
Teil von |
Gastro - Intestinale Tumore | |||||||||||||
Quellen |
1.) Reddy SK, Clary BM: Surgical management of gallbladder cancer. Surg Oncol Clin N Am 18(2009):307-324 2.) de Aretxabala X, et al: Chemoradiotherapy in gallbladder cancer. J Surg Oncol 93(2006):699-704 3.) Kresl JJ, Schild SE, Henning GT, et al: Adjuvant external beam radiation therapy with concurrent chemotherapy in the management of gallbladder carcinoma. IJROBP 52(2002):167-175 4.) Czito BG, Hurwitz HI, Clough RW, et al: Adjuvant external-beam radiotherapy with concurrent chemotherapy after resection of primary gallbladder carcinoma: A 23-year experience. IJRaOBP 62(2005):1030-1034 5.) Baeza MR, Reyes JM, del Castillo C: Postoperative adjuvant radiochemotherapy in the treatment of gallbladder cancer. Presented at the 47th Annual Meeting of the American Society of Therapeutic Radiation Oncology, Denver, CO, October 16-20, 2005 6.) Gold DG, Miller RC, Haddock MG, et al: Adjuvant therapy for gallbladder carcinoma: The Mayo Clinic experience. IJROBP 75(2009):150-155 7.) Cho SY, Kim SH, Park SJ, et al: Adjuvant chemoradiation therapy in gallbladder cancer. J Surg Oncol 102(2010):87-93 8.) Ethun CG, et al.: Association of optimal time interval to re-resection for incidental gallbladder cancer with overall survival. JAMA Surg 2016; DOI: 10.1001/jamasurg. 2016.3642. 9.) Agopian VG, et al.: The timing of reoperation for incidental gallbladder cancer: sooner or later? JAMA Surg 2016; DOI: 10.1001/jamasurg.2016.3643 | |||||||||||||
Impressum Zuletzt geändert am 16.09.2012 13:00