zurück Home

Ösophagus-Karzinom C15

Lymphabfluss des Ösophagus
Lymphabfluss

Allgemeines

In manchen Erdteilen sehr häufig: Nordchina, Kasachstan

Epidemiologie

Risikofaktoren sind Rauchen, Alkoholabusus, Reflux und Ösophagitis: Barrett - Ösophagus

Prognose

5-jahres-Überleben 14%. Nach Radikal-OP: 50-80% Stadium I, 30 - 40 % IIA,10 - 30 % IIB, 10 - 15 % III, Stadium IV: medianes Überleben <1 Jahr

Klinik

Frühsymptome: Dysphagie, substernale Schmerzen, Übelkeit
Höhenlokalisation Ausbreitung, Therapie und Prognose hängen stark von der Höhenlokalisation ab.
AEG Adenokarzinome des ösophao-gastralen Übergangs. UICC 7: Ösophagus-Ca
  • Tumorzentrum im Magen maximal 5cm vom ösophago - gastralen Übergang und
  • ösophago - gastralen Übergang erreicht
Magen - Ca
  • Tumorzentrum im Magen > 5cm vom ösophago - gastralen Übergang oder
  • ösophago - gastralen Übergang nicht erreicht
AEG I: syn.: Barrett-Karzinom. Tumorzentrum oder Hauptteil der Tumormasse im distalen Ösophagus AEG II: syn.: Kardia-Karzinom. Tumorzentrum oder Tumormasse direkt am Übergang AEG III: Tumorzentrum innerhalb des Magens, hier ist die Abgrenzung zum subkardialen, eigentlichen Magenkarzinom zu treffen.

Metastasierung

Lokale Ausbreitung im Mediastinum, Lymphnoten-Metastasen in der CC-Achse, Lungen- und Lebermetastasen.

Staging

TNM-Stadien

Diagnostik

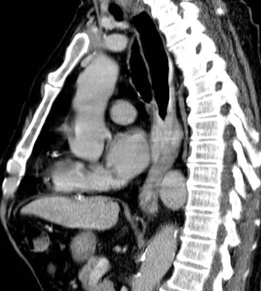
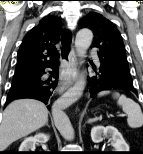
Endoskopie mit Biopsie, Rö.-Breischluck, CT oder MRT
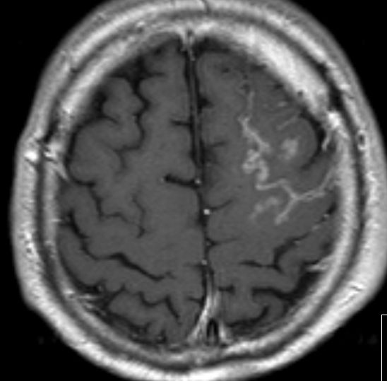
69-jähriger Mann 4 Monate nach primär metastasiertem Adenokarzinom des Ösophagus. Meningeosis carcinomatosa

PET-Indikation

Tumor endoskopisch nicht passierbar AEG-Tumore mit gastraler Beteiligung

Morphologie

90% Plattenepithel- oder Adeno - Ca. cMET - Überexpression ist für Adenokarzinomen typisch.

Therapie

Operation bei allen operablen Frühstadien. Radiochemotherapie als primäre Therapie oder praeoperativ.

Ergebnisse, Studien

CROSS-Trial: preoperative Radiochemotherapie besser als nur OP

Operation

Technik von der Lokalisation abhängig. Rekonstruktion durch Magenhochzug oder Coloninterponat.

Radiatio

Die Radiochemotherapie ist der alleinigen Bestrahlung überlegen.

Chemotherapie

Eine neoadjuvante Chemotherapie ist bei Adenokarzinomen indiziert.

Teil von

Gastro - Intestinale Tumore
Quellen 1.)  Porschen R, Buck A, Fischbach W, et al.:
S3-Leitlinie Diagnostik und Therapie der Plattenepithelkarzinome und Adenokarzinome des Ösophagus.
Langversion 1.0 – September 2015
AWMF-Registernummer: 021/023OL
Z Gastroenterol 2015; 53: 1288–347

Impressum                       Zuletzt geändert am 06.11.2023 23:03