| zurück Home | Magen - Karzinom C16 | ||||||||||||||||||||||||||||||||
| Allgemeines |
|||||||||||||||||||||||||||||||||
| Epidemiologie | 4.-häufigster Tumor. | Helicobacter pylori - Infektion: 0,1 bis 3% entwickeln ein Magenkarzinom. | |||||||||||||||||||||||||||||||
| Stadien | TNM - Klassifikation | ||||||||||||||||||||||||||||||||
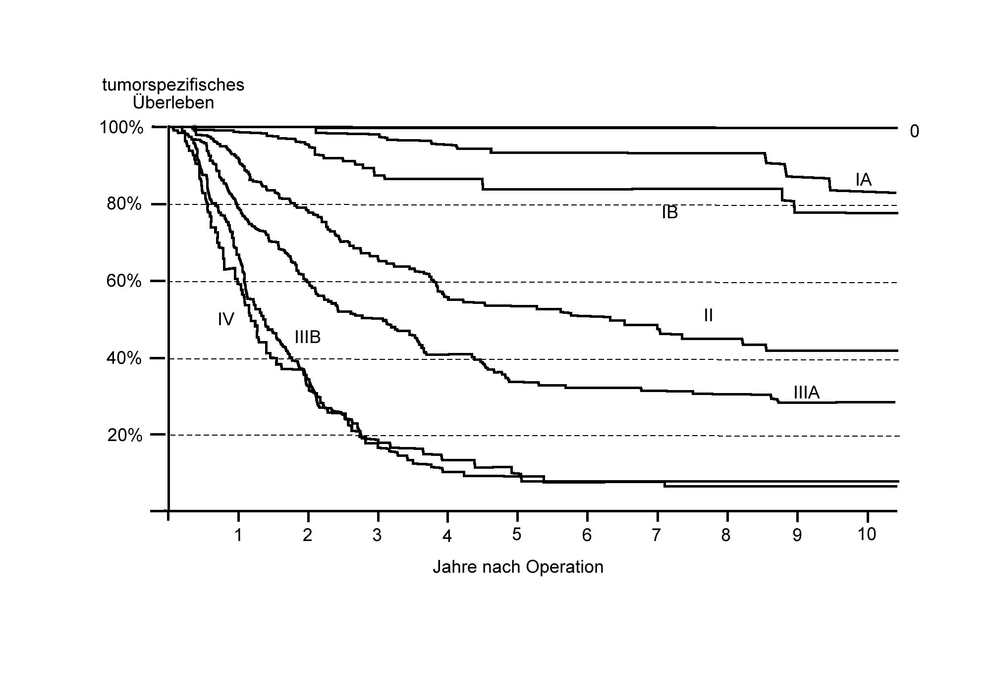
| Prognose | ![]() Magenkarzinom - Sterblichkeit operierter Tumore unterschiedlicher Stadien. | ||||||||||||||||||||||||||||||||
| Klinik | Teilung nach Lauren (3)
| ||||||||||||||||||||||||||||||||
| AEG | Adenokarzinome des ösophago - gastralen Übergangs. | In Deutschland gebräuchlich. Die UICC ordnet das AEG entweder dem Ösophagus-Karzinom oder dem Magenkarzinom zu. | |||||||||||||||||||||||||||||||
| Metastasierung | Lymphabfluss des Magen. 1 Arteria gastrica sinistra 2 Milzarterie 3 Arteria hepatica . | ||||||||||||||||||||||||||||||||
| Diagnostik | . | ||||||||||||||||||||||||||||||||
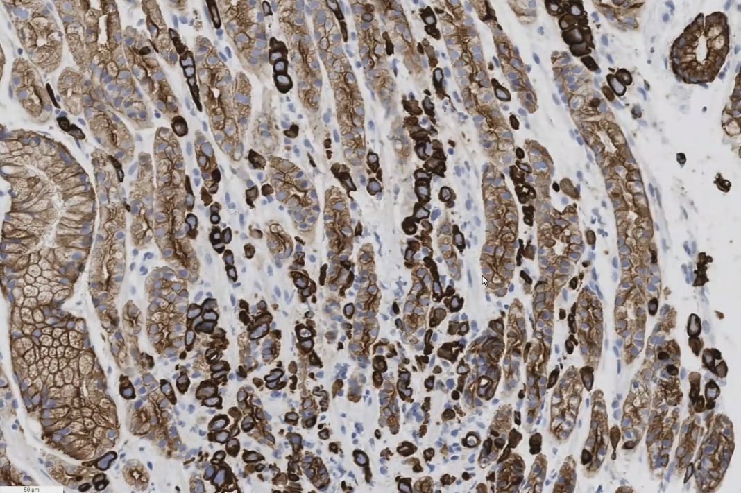
| Morphologie | Zwischen den Mucosa-Drüsen sieht man kleine stark an gefärbte, in Reihen angeordnete Tumorzellen. . | ||||||||||||||||||||||||||||||||
| GIST | gastrointestinale Stroma-Tumoren | ||||||||||||||||||||||||||||||||
| Therapie | primäre OP, wenn möglich. | ||||||||||||||||||||||||||||||||
| Ergebnisse | . | ||||||||||||||||||||||||||||||||
Operation |
Tumorresektion mit negativen Schnitträndern, regionale Lymphonodektomie | ||||||||||||||||||||||||||||||||
Radiatio |
. | ||||||||||||||||||||||||||||||||
Chemotherapie |
FLOT, FLO | ||||||||||||||||||||||||||||||||
Target - Therapie |
. | ||||||||||||||||||||||||||||||||
offene Protokolle |
FLOT65+ | ||||||||||||||||||||||||||||||||
Teil von |
Gastro - Intestinale Tumore | Onkologie | |||||||||||||||||||||||||||||||
Quellen |
1.) Moehler M, et al., Deutsche Krebsgesellschaft: S3-Leitlinie „Magenkarzinom“ – Diagnostik und Therapie der Adenokarzinome des Magens und ösophagogastralen Übergangs. Z Gastroenterol 49(2011):461–531 2.) Kattan MW, et al.: Postoperative Nomogram for Disease-Specific Survival After an R0 Resection for Gastric Carcinoma. JCO 21(2003):3647-3650 3.) Lauren P: The two histological main types of gastric carcinoma: diffuse and so-called instestinal-type carcinoma. Acta Pathol Microbiol 1965;64:31-49 | ||||||||||||||||||||||||||||||||
Impressum Zuletzt geändert am 21.03.2023 0:05