zurück Home neuroendokrine Tumoren des Gastrointestinaltraktes
Allgemeines Gut differenzierte neuroendokrine Tumoren des Gastrointestinaltraktes werden meistens als Karzinoide bezeichnet, da sie selten metastasieren und eine geringe Letalität haben.
Lokalisation (2) Vorderdarm, foregut
  • Lunge
  • Thymus
  • Magen
  • Duodenum
  • oberes Jejunum
  • Pankreas
Insulinom, Gastrinom, Glukagonom, VIPom, nicht funktionell
Mitteldarm, midgut
  • unteres Jejunum
  • Ileum
  • Appendix
  • proximales Colon
  • Zökum
Carcinoid (Serotonin)
Hinterdarm, hindgut
  • distales Colon
  • Rektum
nicht funktionell
WHO 2010(4) neuroendokriner Tumor
  • G1 (Karzinoid)
  • G2
  • G3 (klein- oder großzelliges) neuroendokrines Karzinom
gemischtes adenoneuroendokrines Karzinom: MANEC hyperplastische und präneoplastische Läsion
Klassifikation
Name Leitsymptom Hormon Andere Hormone im Tumor Malignitätsrate Lokalisation
Karzinoid - Syndrom Durchfälle, Flush, Bronchoobstruktion Serotonin, Tachykinine Prostaglandine 100% lleumPankreas
Insulinom Nüchternhypoglykämie Insulin Glucagon, PP 5-10% Pankreas
Gastrinom (Zollinger-Ellison- Syndrom) Säurehypersekretion, rezidivierende Ulzera, Steatorrhoe, Diarrhoe Gastrin Insulin, PP, Glucagon, ACTH, Somatostatin > 90% Pankreas; selten: Duodenum, Magen, Mesenterium
VIPom (Verner-Morrison- Syndrom, pankreatische Cholera) wäßrige Diarrhoe, Hypokaliämie, Subazidität VIP, PHI PP, Glucagon, Somatostatin 75% Pankreas; seltener Grenzstrang (Neuroblastom, Ganglioneuroblastom)
Glukagonom nekrolytisches, migratorisches Erythem, Diabetes mellitus, Anämie Glucagon PP, Insulin, Somatostatin 50% Pankreas
Somatostatinom Diabetes mellitus, Steatorrhoe, Cholelithiasis Somatostatin PP, Insulin, Calcitonin 50% Pankreas, Duodenum
GRFom Akromegalie GH-RH Somatostatin,Gastrin, Insulin, ACTH 100% Pankreas, Lunge
Funktionell inaktive Tumoren fehlt, bei großen Tumoren lokale Symptome   Serotonin, Somatostatin, PP, Glucagon > 90% Pankreas, Dünndarm, Dickdarm
Stadien postoperatives Staging, AJCC - UICC 7 (2009). Das T-Stadium wird je nach Lokalisation unterschiedlich definiert.
Pankreas NET des Pankreas sind häufig endokrin aktiv:
  • Insulinom
  • Gastrinom
  • Glugagonom
  • VIPom
  • Somatostatinom
  • pankreatisches Polypeptidom
Papille 62-jähriger Mann mit Zeichen der Cholestase. Das CT zeigt erweiterte Gallengänge.
In der MR-ERCP sieht man einen Verschluss der Papilla Vateri.
Nach legen eines Stents keine Cholestase mehr. Aerobili. Histologisch in Nestern angeordnete, relativ monomorphe Tumorzellen mit vergrößerten Zellkernen und aufgelockerter Chromatinstruktur. Eosinroter Zytoplasmasaum. Expression von Synaptophysin und Chromogranin. Ki67 30%.
Magen Bei A-Gastritis kommt es häufig zur Bildung von neuroendokrinen Tumoren. Wenn diese <20mm sind, ist die Prognose gut. Einfach Abtragung ausreichend. 83-jährige Frau mit einem neuroendokrinen Tumor an der kleinen Kurvatur bei A-Gastritis.
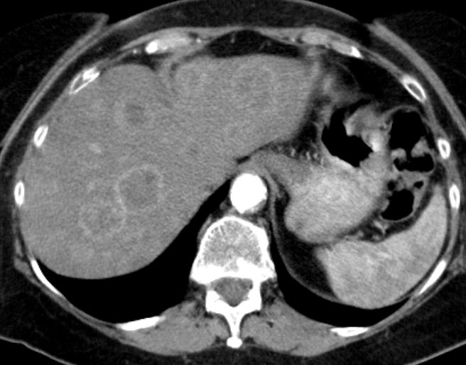
Magen 62-jährige Frau mit kolikartigen Flankenschmerzen durch einen mittlerer Harnleiterstein. Bei der Durchuntersuchung fand sich eine verdickte Magenwand. Endoskopisch chronische, nicht aktive Entzündung mit foveolärer Hyperplasie. Die Biopsie ergab Infiltrate eines gering differenzierten neuroendokrinen Karzinoms (G3, Ki 67 40%). Bekannte Haemangiome der Leber.
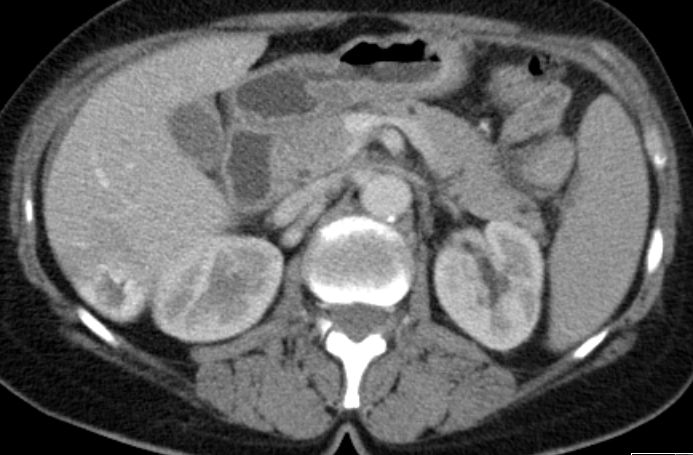
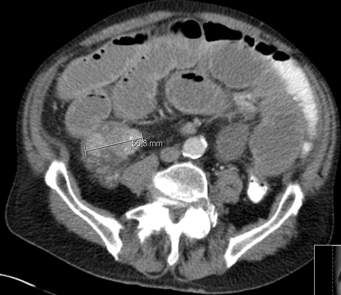
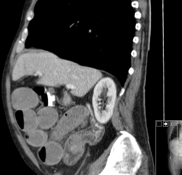
Meckel 64-jährige Frau, die wegen Karzinoms im Colon ascendens im Stadium pT3b pN0 (0/18) M0 laparotomiert wurde.
80 cm oral des terminalen Ileum fand sich ein Meckelsches Divertikel mit derbem Inhalt.
Histologisch neuroendokrinen Tumor, G1 (Mitosezahl pro 10 HPF unter 2, Ki 67-Index unter 2 %). Staging: pT1a.
 
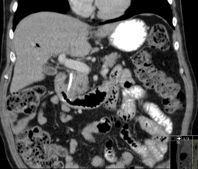
Colon 74-jähriger Mann mit Ileus durch einen Tumor im Colon ascendens.
Histologie: gut differenzierter neuroendokriner Tumor, G1, Ki67 unter 1%.
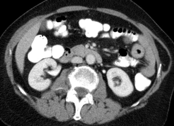
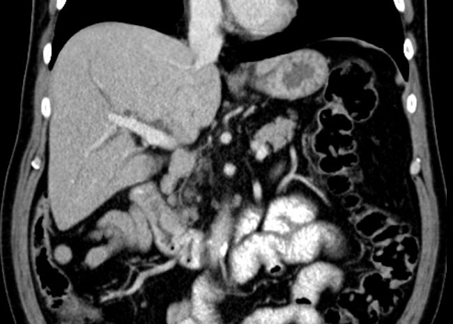
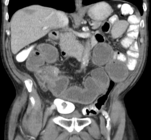
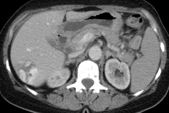
Colon 79-jährige Frau mit einem Tumor im Zoekum. Bei der Operation fand sich im Bereich der Ileozökalklappe ein unregelmäßig gestalteter, teils ulzerierter und teils polypös erhabener, 42 mm großer, derber Gewebsbezirk. Histologie: In soliden Komplexen und Strängen angeordnete, relativ große Tumorzellen mit deutlicher Zell- und Kernpolymorphie. Vergrößerte Zellkerne mit aufgelockerter Chromatinstruktur und ab und an prominenten Nukleolen. Schmaler oder kaum erkennbarer Zytoplasmasaum. Vermehrt typische und atypische Mitosen. Tumoreinbruch in Blut- und Lymphgefäße. Das CT zeigt multiple Lebermetastasen.
Rektum 64-jährige Frau mit rektaler Blutung. Bei 10cm breibasiger Rektumpolyp. Histologie: gut differenzierter neuroendokriner Tumor, G1, Ki67 1%.
Therapie SSA (Somatostatin Analoga) (8) Peptid-Receptor-Radionuklidtherapie
Chemotherapie Rapamycin-IH Multikinase-IH (MKIs)
Ergebnisse PROMID-Studie (1): Octreotid bei metastasierten, hochdifferenzierten NET des Mitteldarms
offene Protokolle RAMSETE: Envirolismus beim fortgeschrittenen, nicht funktionellen NET des Dünn- oder Dickdarms.
Quellen 1.) Rinke A, Muller HH, Schade-Brittinger C, et al.:
Placebo-controlled, double-blind, prospective, randomized study on the effect of octreotide LAR in the control of tumor growth in patients with metastatic neuroendocrine midgut tumors: a report from the PROMID Study Group.
JCO 27(2009):4656-4663

2.) Williams ED, Sandler M:
The classification of carcinoid tumors.
Lancet 1963; 1: 238–9

3.) Klöppel G, Rindi G, Anlauf M, Perren A, Komminoth P:
Site-specific biology and pathology of gastroenteropancreatic neuroendocrine tumors.
Virchows Arch 2007; 451 Suppl 1: 9–27

4.) Rindi G, Arnold R, Bosman FT, et al.:
Nomenclature and classification of neuroendocrine neoplasms of the digestive system.
In:
Bosman FT, Carneiro F, Hruban RH, Theise ND (eds.):
WHO classification of tumors of the digestive system.
Lyon: IARC 2010.

5.) Rindi G, Klöppel G, Couvelard A, et al.:
TNM staging of midgut and hindgut (neuro) endocrine tumors: a consensus proposal including a grading system.
Virchows Arch 2007; 451: 757–62

6.) Rindi G, Luinetti O, Cornaggia M, Capella C, Solcia E:
Three subtypes of gastric argyrophil carcinoid and the gastric neuroendocrine carcinoma: a clinicopathologic study.
Gastroenterology 1993;104:994–1006

7.)O’Toole D, Grossman A, Gross D, et al.:
ENETS Consensus Guidelines for the Standards of Care in Neuroendocrine Tumors: biochemical markers.
Neuroendocrinology 2009; 90: 194–202

8.) Auernhammer CJ, Spitzweg C, Angele MK, et al.:
Advanced neuroendocrine tumours of the small intestine and pancreas: Clinical developments, controversies, and future strategies.
Lancet Diabetes Endocrinol 2018;6:404-415

Teil von

Gastro - Intestinale Tumore

Impressum                           Zuletzt geändert am 25.08.2014 5:10