| zurück Home | Tumoren und tumorartige Läsionen des Peritoneums | |
| Allgemeines | ||
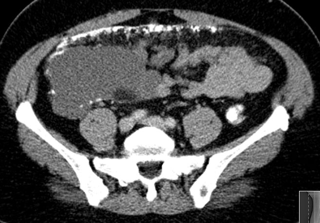
| primäre Tumoren | primäres Peritonealkarzinom | biologisch mit Ovarial- und Tubenkarzinom verwandt. | 51-jährige Frau mit primärem Peritonealkarzinom.![]() |
mesotheliale Tumoren |
| epitheliale Tumoren | ||
| Leiomyosarkom | ||
| desmoplastische kleine Rundzell-Tumoren | ||
| solitäre Fibrome | ||
| metastatische Tumoren | Peritoneal - Karzinose | |
| Pseudomyoma peritonei | ||
| Lymphom | ||
| Sarkom | ||
| Infektion | Tuberkulose | |
| Histoplasma capsulatum | ||
| sonstiges | Endometriose | |
| Gliomatosis peritonei | ||
| Melanosis peritonei | ||
| Splenose | ||
Teil von |
Gastro - Intestinale Tumore | |
Impressum Zuletzt geändert am 16.09.2012 22:46