zurück Home

ZNS-Tumore C71


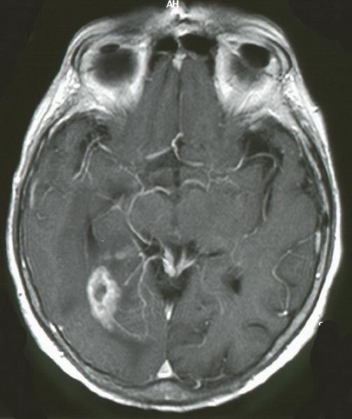
Das MRT zeigt ein kleinzelliges Glioblastom rechts temporo - occipital. Die Randbezirke des Tumors nehmen intensiv Gadolinium auf.

Allgemeines

Gehirn und Nervensystem können eine Vielzahl unterschiedlicher Tumore bilden.

Epidemiologie

Kinder

Bei Kindern und Jugendlichen treten ZNS-Tumoren in anderer Häufigkeitsverteilung auf.

Klinik

Diagnostik

Einteilung

Morphologie

Prognose

Metastasen

30% aller malignen Hirntumoren sind Metastasen nicht hirneigener Tumoren.

Gliom

Gliome stammen von Glia-Zellen ab. Glioblastom (GB) Low Grade
Astrozytom Oligodendrogliom Gliosarkom

Gangliogliom

Lymphom

PZNSL, primäres Lymphom des ZNS

Medulloblastom

maligner neuroektodermaler Tumor

Meningeom

überwiegend gutartige Tumoren der Hirnhäute

Tumoren der Nerven

Schwanome z.B. Akustikusneurinom Neurofibrom

Neuroblastom

Ästhesioneuroblastom

Neuroendokrine T.

NET, Tumoren des neuroendokrinen Zellsystems, Sekretion von Neurotransmittern
neuraler Typ:
  • Phaeochromozytom
  • Paragangliom
  • Neuroblastom
hormonaktive NET:
  • Insulinom
  • Gastrinom
  • Karzinoid
  • VIPom
  • Glukagenom
MCC, Merkelzelltumor

PNET

Primitive neuroektodermale Tumoren hochaggressive Tumoren im Kindesalter. Histologisch ähnlich einem Medulloblastom.

Neurozytom

Neuroepithelialer Tumor mit neuronaler Differenzierung. Am häufigsten: zentrales Neurozytom, intraventrikulär am Septum pellucidum. 0,25 – 0,5% der primären intrazerebralen Tumoren. 10% der intraventrikulären Tumoren. Extraventrikuläres Neurozytom (EVN): selten

Ependymom

maligner Tumor des Ependym in den Hirnkammern.

ATRT

atypischer teratoid - rhabdoider Tumor

Plexus - Choreoideus

chorioid plexus tumors, CPT. Intraventrikuläre Tumoren des Epithels bei kleinen Kindern. CPC, chorioid plexus carcinoma, Grad 3. chorioid plexus palilloma, CPP, grad 1.

Pinealistumoren

PRT (Pineal region tumors) Hauptkategorien: Germ - Cell - Tumoren, Pineal - Parenchym - Zelltumoren (PPT), Gliazelltumoren. <1% der Primärtumoren des Gehirns.

Intracranielles Germinom

Treten bevorzugt in der Epiphysenregion oder den neuroendokrinen Gebieten auf.

Schädelbasis

Kranipharyngeom Hypophysentumoren

Spinale Tumoren

extradural intradural - extramedullär intramedullär
NOA Neuro - Onkologische Arbeitsgemeinschaft der DKG
EANO European Association of Neuro-Oncology
Studien

Therapie

Chemotherapie

Teil von

spezielle Tumoren Onkologie
Quellen

Impressum                         Zuletzt geändert am 28.11.2025 6:08