Hypophysen - Tumoren | |||||||||||||||||||||||||||||
| Allgemeines |
|||||||||||||||||||||||||||||
| Epidemiologie | Bei Autopsien finden sich in 11% Mikroadenome. | 10-15% aller Hirntumoren. Inzidenz 40/100.000 EW*a, Vermehrt bei MEN-1 | |||||||||||||||||||||||||||
| endokrinener Hypophysentumor |
| ||||||||||||||||||||||||||||
| Prolaktinom | Häufigste Form des endokrinen Hypophysentumors. | Bis 10mm Mikroadenom, Prolaktinspiegel bis 250µg/l. Große Prolaktinome haben Spiegel bis 10.000µg/l | |||||||||||||||||||||||||||
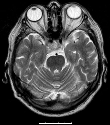
| Adenom | 78jährige Frau. Hypophysenadenom
seit 2 Jahren bekannt. Jetzt Deviation des rechten Auges und Kopfschmerzen.![]() |
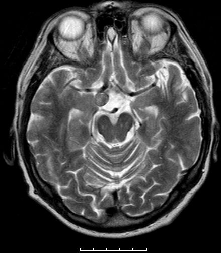
![]() Das Adenom ist in die Keilbeinhöhle eingewachsen. |
![]() Infraselläre Ausbreitung mit Ummauerung der Arteria carotis interna rechts. | ||||||||||||||||||||||||||
| NFA | nonfunctioning pituitary adenomas | Adenome ohne klinische endokrine Störung | |||||||||||||||||||||||||||
| SCA | silent corticotroph adenoma | Keine Hyper-Kortisolämie aber immunhistochemisch ACTH-positiv | 9% der Hypophysenadenome | ||||||||||||||||||||||||||
| Prognose | . | ||||||||||||||||||||||||||||
| Klinik | Sehstörungen | Schädigung der Sehnerven durch Makroadenome | |||||||||||||||||||||||||||
| Sinus cavernosus | Bei Infiltration Hirnnervenausfälle | ||||||||||||||||||||||||||||
| Hormonproduktion | 30% Prolaktin, 10% ACTH | ||||||||||||||||||||||||||||
Teil von |
Tumoren endokriner Organe | Onkologie | Hypophyse | Endokrinologie | |||||||||||||||||||||||||
| Quellen |
1.) Wattson D A, et al.: Outcomes of Proton Therapy for Patients With Functional Pituitary Adenomas. Int J Radiation Oncol Biol Phys 2014;90 (3):532-539 doi 10.1016/j.ijrobp.2014.06.068 |
||||||||||||||||||||||||||||
Impressum Zuletzt geändert am 31.12.2014 14:30