Glioblastom (GB) C71 | ||||
Allgemeines |
Etwa 80% aller Gliome sind Glioblastome ( = Gliom Grad IV) | |||
| Epidemiologie | 18.820 Fälle in den USA 2006 | Glioblastome können auch aus Gliomen Grad III entstehen. | ||
| Prognose | mittlere Überlebenszeit 14 Monate, Überleben > 2a: 10-20% | |||
| MGMT | O6-Methyguanin-DNA-Methytransferase | Wenn der Promotor von MGMT hypermethyliert ist, wird MGMT nur schwach exprimiert. | MGMT ist ein Resistenzgen für alkylierende Chemotherapie. | Hypermethyliertes MGMT bedeutet gutes Ansprechen auf Chemotherapie(3). |
| Klinik | Glioblastome fallen durch Funktionsausfälle oder zerebrale Krämpfe auf. | Ausbreitung bevorzugt über große Faserbündel. 7-8% multifokal. Bei Erwachsenen frontal und temporal, bei Kindern Kleinhirn, Hirnstamm. | ||
| Rezidiv | MacDonald - Kriterien zur Diagnose eines Rezidivs im MRT: >25% Zunahme des enhancenden Areals oder neue enhancende Läsion. | |||
| Metastasierung | Glioblastome metastasieren normalerweise nicht außerhalb des ZNS. Gelegentlich werden Tumorzellen im Blut festgestellt. | |||
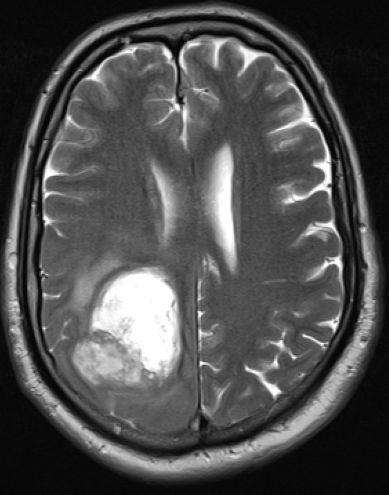
| Diagnostik | ![]() |
![]() | ||
| Morphologie | ||||
| Molekular - Biologie | TGF-β | Glioblastome produzieren zahlreiche Zytokine, insbesondere TGF-β. | ||
| BMP-7 | Neuronale Stammzellen und neuronale Vorläuferzellen schütten BMP-7 aus. BMP - 7 schaltet in den Tumorstammzellen vom Glioblastomen einen Signalweg an, der sie in einen differenzierten Zustand versetzt. | |||
| KIAA1797 | Gen bei Glioblastomen oft durch 7;9 Translokation unterbrochen.Kodiert ein bisher unbekanntes Protein des Adhesionskomplexes und fungiert als Tumoursuppressor bei Gliomen. Vorläufiger Name Focadhesin(2). | |||
| MGMT | O6-Methyguanin-DNA-Methytransferase | MGMT ist ein Resistenzgen für alkylierende Chemotherapie. | Hypermethyliertes MGMT bedeutet gutes Ansprechen auf Chemotherapie(3). | |
| Pathogenese | Gliom - Zellen entstehen wahrscheinlich direkt aus Hirnstammzellen. | Das Protein Tlx induziert die Transformation von Gewebe-Stammzellen in Nervenzellen. | Stammzellen mit vermehrter Tlx-Produktion induzieren Angiogenese. | Bei Überexpression von Tlx kommt es im Tierversuch zur malignen Transformation. |
| Mobilität | Glioblastomzellen wandern durch das gesamte Gehirn und bilden neue Tumoren aus. | |||
| Therapie | Nach vollständiger Resektion sollte eine Radiochemotherapie erfolgen. | |||
| Ergebnisse, Studiuen | EORTC 22981-26981/NCI-C3.0, EGFRvIII - Studie, Chloroquin-Trial, Nordic Trial, Glarius, RTOG 0825, NABTT | |||
Operation |
Einbringung von Gliadel | |||
Chemotherapie | ||||
Radiochemotherapie |
Temozolamid: Stupp-Schema, Oral 75mg/qm während der RT, 6 Zyklen nach RT 200mg/qm Tag 1-5, q29, | |||
Target - Therapie |
Bevacizumab: | Verlängerung der progressionsfreien Zeit, aber keine Verbesserung des Gesamtüberlebens(4,5). | ||
Optune |
Lokale Behandlung mit Tumortherapiefelder (TTFields). | Die TTFields werden über 4 Haftpflaster mit Keramik-Gelpads auf der Kopfhaut platzierte (Transducer-Arrays). | Ziel der Therapie ist die Teilung der Krebszellen zu verlangsamen oder aufhalten. | |
offene Protokolle |
EORTC protocol 26062 - 22061 | A randomized phase III study of Temozolomide and short-course radiation versus short-course radiation alone in the treatment of newly diagnosed glioblastoma multiforme in elderly patients. | ||
Teil von |
High-Grade-Gliome | Gliome | ZNS-Tumore | Onkologie |
Quellen |
1.) Wolff JE, Driever PH, Erdlenbruch B, et al.: Intensive chemotherapy improves survival in pediatric high-grade glioma after gross total resection: results of the HIT-GBM-C protocol. Cancer 2009; 2: 2 2.) Weber RG, et al.: KIAA1797/FOCAD encodes a novel focal adhesion protein with tumour suppressor function in gliomas. Brain First published online 2012 3.) Hegi ME, et al.: MGMT gene silencing and benefit from temozolomide in glioblastoma. NEJM 352(2005):997–1003 4.) Wick et al.: ASCO 2013, Abst. 2002 AVAglio-Trial 5.) Gilbert et al.: ASCO 2013, Abstr. 1 RTOG-0825 | |||
Impressum Zuletzt geändert am 16.06.2024 7:47