zurück Home

Astrozytom

Allgemeines

Gliome, die von Astrozyten abstammen
benigne A.
  • Pilozytische Astrozytome des Kinder- und Jugendalters, Grad I
    • Optikusgliome
    • Hirnstammgliome
  • Pleomorphe Xanthoastrozytome
  • Subependymale Riesenzellastrozytome
Grad II Niedriggradiges Astrozytom
Grad III Anaplastisches Astrozytom
Grad IV
  • Glioblastoma multiforme
    • kleinzellige GBMs
    • großzellige GBMs
    • Gliomatosis cerebri
  • Protoplasmatisches Astrozytom
  • Adultes pilozytisches Astrozytom
  • Gemistozytisches Astrozytom
  • Gliosarkom
Histologie
(Grad II-IV)
fibrillär häufigster Typ
vor allem in der weißen Substanz
mit Silber, PTAH, GFAP anfärbbar
protoplasmatisch in der grauen Substanz
großer Zellkern
geringer Zytoplasmagehalt
gemistozytisch Astrozyten geschwollen
aktivierten Zustand mit Fibrillenreichtum und Zytoplasmavermehrung
wenn > 20% gemistozytisch: Prognose sehr schlecht
gemischt  
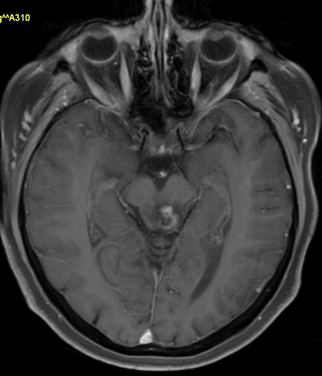
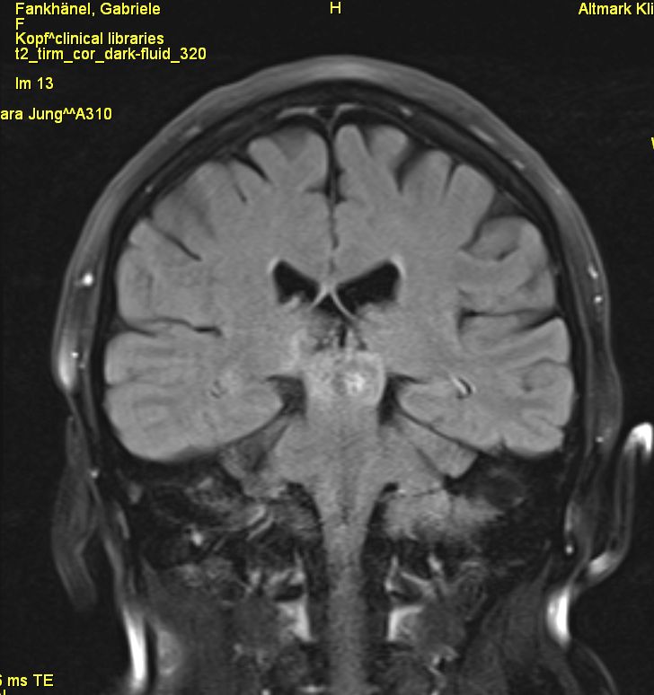
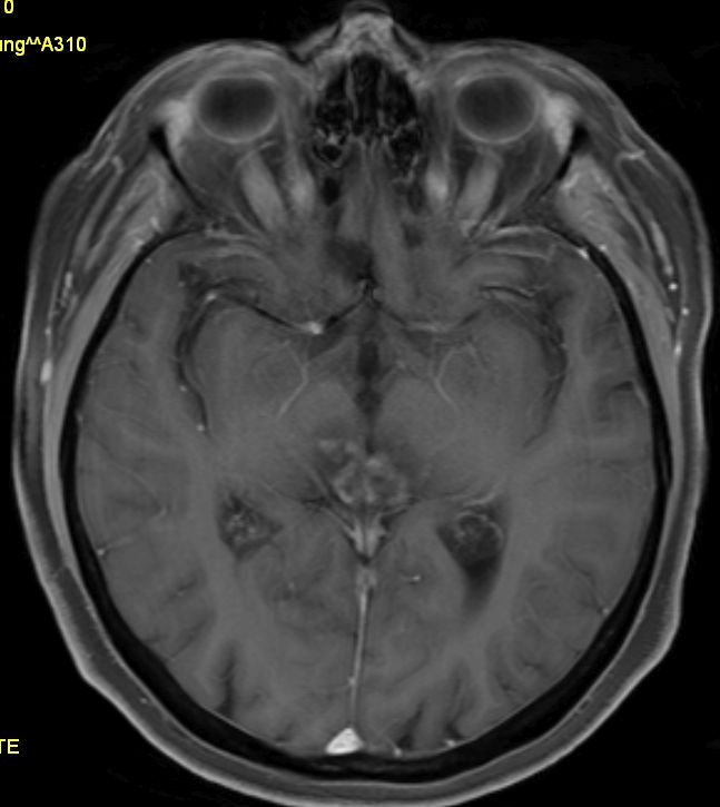
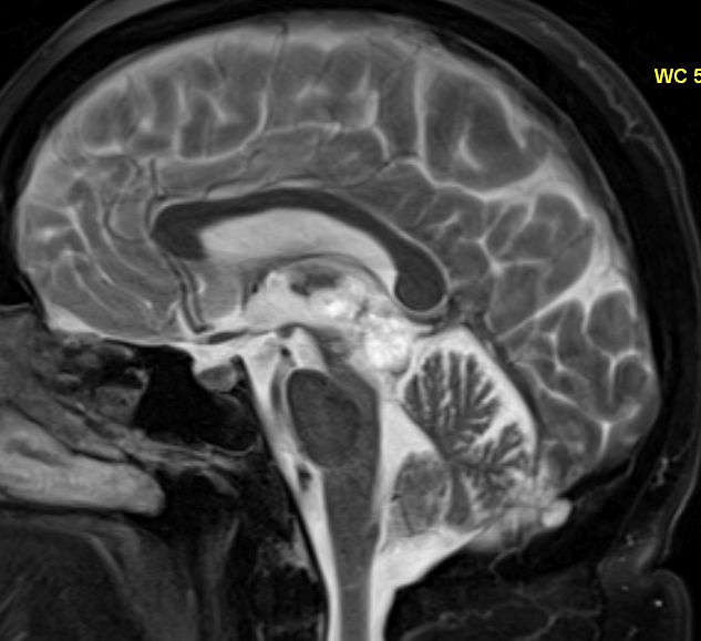
Vierhügelplatte 66-jährige Frau mit Sehstörungen, Ptose rechts mehr als links, Gehörverschlechterung und Gleichgewichtsstörungen. Stereotaktische Biopsie: Astrozytom Grad 3 (Grad unsicher).

Teil von

Gliome ZNS-Tumore Onkologie
Quellen 1.) McGirt MJ, Chaichana KL, Gathinji M, Attenello FJ, Than K, Olivi A, Weingart JD, Brem H, Quiñones-Hinojosa AR:
Independent association of extent of resection with survival in patients with malignant brain astrocytoma.
J Neurosurg 2009;110:156-62
doi: 10.3171/2008.4.17536

Impressum                             Zuletzt geändert am 05.12.2025 7:01