zurück Home

Meningeom, C70

Allgemeines

überwiegend gutartige Tumoren der Hirnhäute
Epidemiologie 15 - 20% der intrakranialen Tumoren. Bei Frauen doppelt so häufig wie bei Männern. Häufigster strahleninduzierter Tumor nach Strahlentherapie im Kindesalter. Latenz 1 bis 63 Jahre, Median 19 Jahre.
Stadien .
Prognose 10 - 20 % Rezidive nach OP Die Überlebensrate von Meningeomen Grad III beträgt 76% nach 2a, 65,4% nach 5a, 57,2% nach 10a
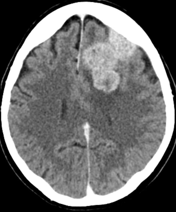
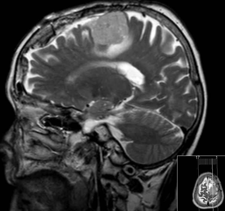
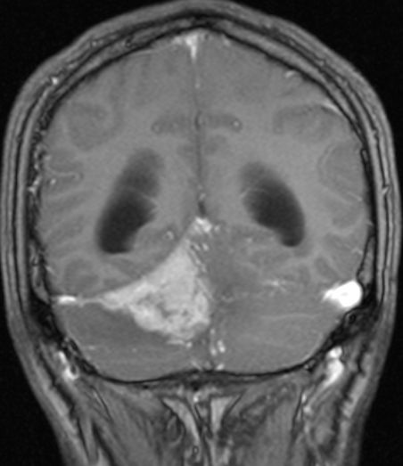
Klinik Scharf begrenzt, homogen, extraaxiale Raumforderung. Breite Verbindung zur Dura. Nach KM homogenes Enhancement. 20% Verkalkungen oder Schädelveränderungen (Hyperostose, Osteolyse). Wenn alle Kriterien erfüllt sind, ist eine histologische Sicherung entbehrlich.
Metastasierung .
Diagnostik Fallbeispiele
Morphologie 90% Grad 1 (gutartige Meningeome). 70% Progesteron - Rezeptoren, 30% Estrogen - Rezeptoren. Seltene Varianten: klarzellige M. , chordoide M., papilläre M. rhabdoide M.
Grading
  • WHO Grad I: langsam wachsend, 70-80%
  • WHO Grad II: Hirn- invasiv, 20-30%
  • WHO Grad III: anaplastisch, 1-2%
Simpsons Grade: chgirurgische Radikalität
sekretorisches M. seltene, gutartige Sonderform. In 70% starkes perifokales Hirnödem, in 50% hemisphaerisches Hirnödem. Überwiegend ältere Patienten. Typisch basaler Sitz.
ONSM Optic Nerv Sheath Meningeoma, Nervus opticus - Meningeom Entwickelt sich aus den arachnoiden Kappenzellen der Vili.
Therapie Komplette Resektion: 90% lokale Kontrolle. Wenn komplette Resektion nicht möglich: Strahlentherapie
Ergebnisse .
Operation Simpson Klassifikation der Resektion
Grad Ausdehnung der Resektion Rezidivrisiko
I Makroskopisch totale Resektion von Tumor, durale Ränder und abnormaler Knochen 10%
II Makroskopisch totale Resektion des Tumors, Koagulation der duralen Ränder 20%
III Makroskopisch totale Resektion des Tumors, ohne Koagulation der duralen Ränder oder der extraduralen Ausdehnung 30%
IV Teilresektion des Tumors 100%
V Einfache Dekompression (Biopsie) 100%

Radiatio

  • Grading I: OP ausreichend
  • Grading I: OP +- RT
  • Grading III: immer zusätzliche RT
Nach genauerer Analyse des Methylierungsmusters kann die Indikation zur Nachbestrahlung präziser gestellt werden (4)

Teil von

ZNS-Tumore spezielle Tumoren Onkologie

Quellen

1.) Kamp MA et a.:
Secretory meniniomas: systematic analysis of epidemiologic, clinical, and radiological features.
Acta Neurochir 2011 Epub ahead of print

2.) Mawrin C, Perry A:
Pathological classification and molecular genetics of meningiomas.
J Neurooncol 99(2010):379–391

3.) Ostrom QT, Gittleman H, Liao P, et al:
CBTRUS statistical report: Primary brain and central nervous system tumors diagnosed in the United States in 2007-2011.
Neuro Oncol 2014;16:iv1-iv63, suppl 4

4.) Sahm F, et al.:
DNA methylation-based classification and grading system for meningioma: a multicentre, retrospective analysis.
Lancet Oncol doi: 10.1016/S1470-2045(17)30155-9.

Impressum                         Zuletzt geändert am 02.01.2024 6:08