Neubildungen der Nerven C72 | |||
| Allgemeines |
Nervenscheidentumoren, die von den Schwan'schen Zellen ausgehen. | ||
| MPNST | maligner peripherer Nervenscheidentumor | ||
| Epidemiologie | 10% der intrakraniellen Tumoren sind Schwanome. | Davon sind 90% Akustikusneurinome. C72.4 | |
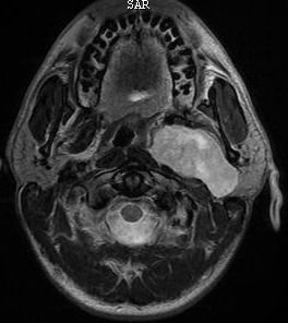
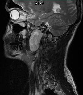
| Schwanom der Carotisloge | 28-jähriger Mann mit einer Raumforderung in der oberen Carotisloge. Schwanom. | ||
![]() |
![]() |
| |
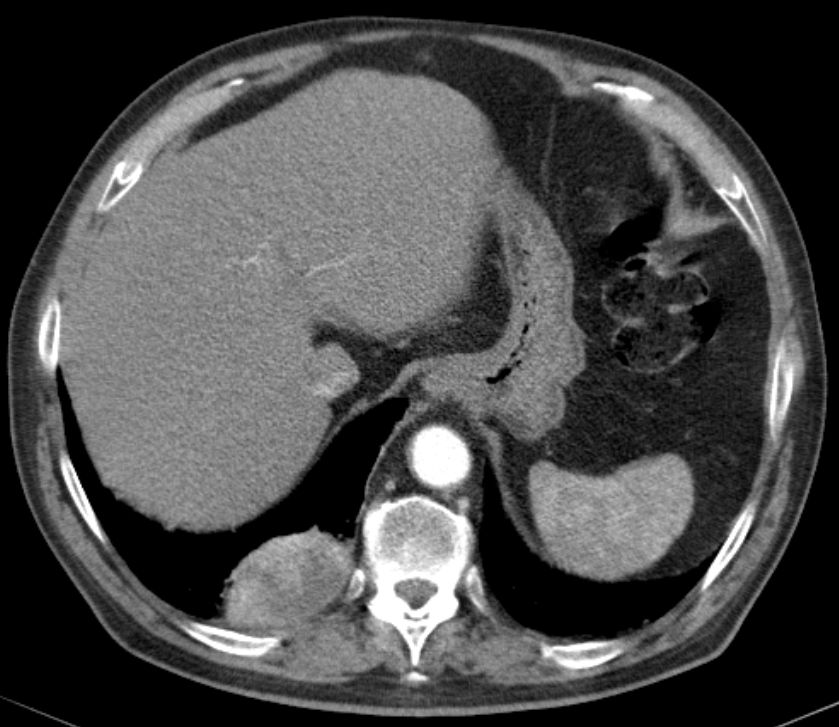
| Schwanom des Thorax | 79-jähriger Mann mit einer unklaren Raumforderung im rechten Unterlappen. Thorakoskopisch großer nekrotisch zerfallender Tumor. Pleurale Raumforderung i.S. einer Abklatschmetastase. Histologisch spindelzellige Proliferate, vergrößerte hyperchromatische atypisch geformte Zellkerne. Z.T. mehrkernige Riesenzellen. Im Zentrum ausgedehnter nekrotischer Zerfall. Histochemie: CD34, Panzytokeratin, EMA, Alfa-Aktin, Caldesmon, HMB45, Melan A und Zytokeratin A negativ. Vimentin überwiegend positiv | ||
Das CT mit Kontrastmittel zeigt im Randbereich eine unregelmäßige Anreicherung.![]() |
Im Lungenfenster keine deutliche Invasion aber breitflächiger Kontakt zur Pleura.![]() | ||
Das PET-CT zeigt massiven Stoffwechsel in der Randzone des Tumors.![]() |
![]() | ||
| Neurinom | 26-jährige Frau mit einem Tumor am linken Oberarm. Makroskopisch 45mm großes gekapseltes Gewebsstück mit rötlich-gelblichen weich-elastischen Schnittflächen. Mikroskopisch: Bekapselten spindelzelligen Tumor. Kein Nachweis von Kernatypien oder vermehrten Mitosen. Eingelagert sind ektatische, teilweise thrombosierte Blutgefäße mit Einblutungen und Blutungsresiduen in Form von Hämosiderophagen. Immunhistologisch positiv mit S100. CD34, Alpha Aktin, Caldesmon und CD 68 negatic. Die proliferative Aktivität ist nicht erhöht. Benigner, peripheren Nervenscheidentumor, Neurinom. ![]() |
![]() |
![]() |
| Vestibularis-Schwanom | Akusikus-Neurinom | 1x13,5 Gy; 5 x 7 Gy; 54 Gy ED 1,8 Gy | |
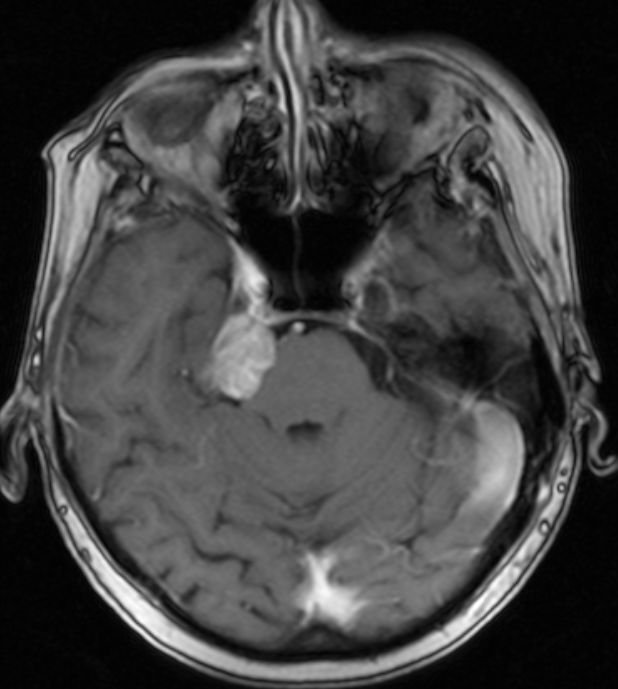
| Trigeminus - Neurom | 78-jährige Frau mit Trigeminusneuralgie seit 10 Jahren. Seit 8 Jahren gering größenprogredienter Tumor im rechten Kleinhirn-Brückenwinkel. | ||
![]() |
![]() ![]() | ||
Teil von |
ZNS-Tumore | spezielle Tumoren | Onkologie |
Impressum Zuletzt geändert am 12.12.2023 18:06