ZNS - Lymphome, P ZNS L, P CNS L | ||||
| PZNSL | primäres Lymphom des Zentralnervensystem | |||
allgemeines |
Zum Zeitpunkt der Erstdiagnose auf das Gehirn begrenzt. Meistens aggressive B-Zell-NHL. Selten Manifestation außerhalb des Gehirns | |||
Epidemiologie |
2-5% aller NHL. | mittleres Alter 60a | ||
Klinik |
||||
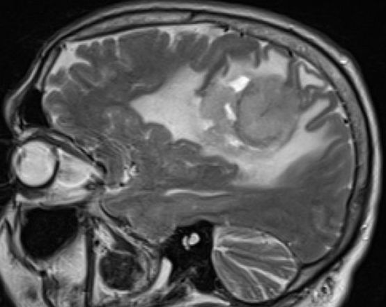
MRT |
59jähriger Mann, bei dem Gangstörungen auffielen. Histologisch primär zerebrales aggressives T-Zell-Lymphom.![]() | |||
Therapie |
HD-MTX mit 1-8g/qm, dann Ganzhirnbestrahlung. | Wegen der hohen Nebenwirkungsrate werden alternative Therapien diskutiert. | ||
| 65 Patienten, systemische und intraventrikuläre Chemotherapie. Hochdosis MTX und Ara-C. Gute Ergebnisse ohne Radiotherapie. | ||||
| Bestrahlung des Ganzhirns nach hoch dosierter Chemotherapie kein Vorteil. | ||||
ZNS-PTLD |
post-transplant lymphoproliferative disorder | typischerweise Epstein-Barr Virus (EBV)-induziertes B-Zell - CD20+ - Lymphom. | Behandlung: Reduktion der Immunosuppression, Strahlentherapie, Rituximab intravenös und intrathekal, Chemotherapie. | |
Quellen |
1.) DeAngelis LM, et al.: Combination chemotherapy and radiotherapy for primary central nervous system lymphoma: Radiation Therapy Oncology Group Study 93-10. J Clin Oncol 20(2002):4643-4648 2.) Poortmans PM, et al.: High-dose methotrexate-based chemotherapy followed by consolidating radiotherapy in non-AIDS-related primary central nervous system lymphoma: European Organization for Research and Treatment of Cancer Lymphoma Group Phase II Trial 20962. J Clin Oncol 21(2003):4483-4488 | |||
Teil von |
ZNS-Tumore | Maligne Systemerkrankungen | Onkologie | |
| ||||
Impressum Zuletzt geändert am 28.10.2023 6:08