zurück Home

NHL, Non - Hodgkin - Lymphome

allgemeines

Es gibt eine große Zahl von Einteilungen und Typen von NHLs.

Nach der Wachstumsgeschwindigkeit können niedrig maligne (= indolente) und hoch maligne (aggressive) Lymphome unterschieden werden. Eine weitere Einteilung berücksichtigt die zelluläre Verwandtschaft: T-Zell und B-Zell - Lymphome.

Epidemiologie

USA 2010: 20.210 Sterbefälle, 65.540 Neuerkrankungen BRD Altersstandardisiert Rate (Europa) Männer: 15,5, Frauen: 11,2

Klinik

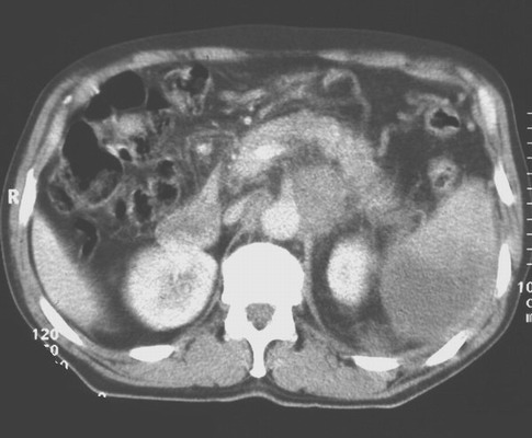
Das Bild zeigt ein CT eines diffus - großzelligen NHLs mit paraaortalen Herden und Milzbefall.
ACT diffus großzellig

Staging

Diagnostik

Morphologie

Kiel - Klassifikation

hochmaligne

DLBCL

Burkitt

niedrigmaligne

Follikuläres L.

Marginalzonen - Lymphome (MZoL)

B-Zell

T- + NK-Zell

Mastozytose

extranodal

ZNS

Kutane Lymphome

MALT

Knochen: PBL

Studien

Teil von

Maligne Systemerkrankungen spezielle Tumoren Onkologie

Quellen

1.) Word Health Organization:
WHO classification of tumors of haematopoietic and lymphoid tissue.
WHO Press, Genf 2008

Impressum                           Zuletzt geändert am 19.04.2016 17:27