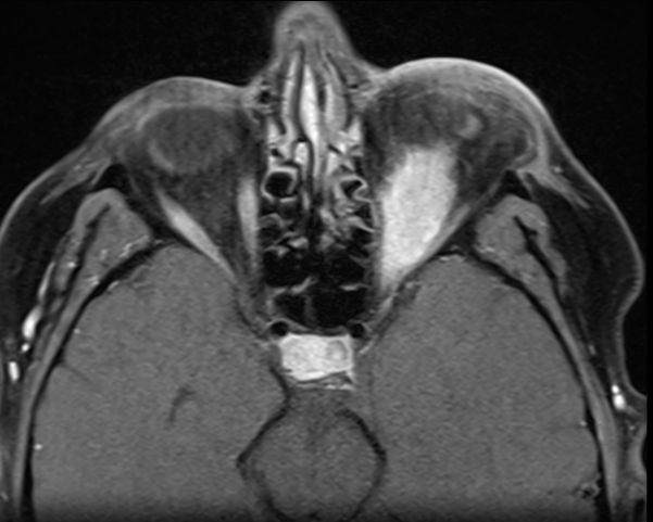
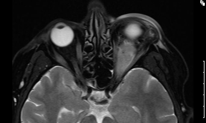
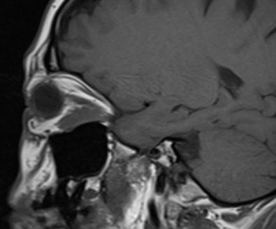
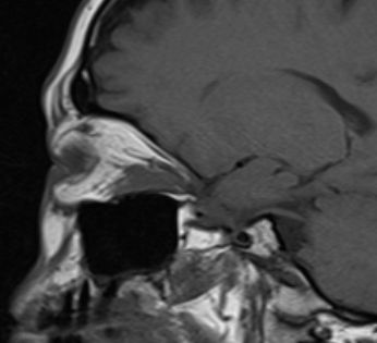
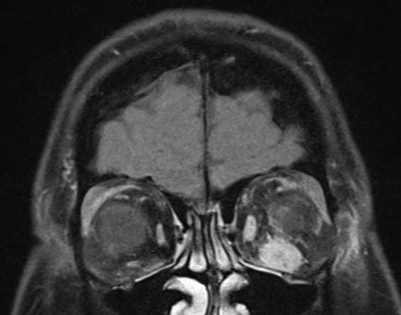
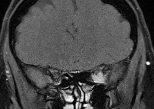
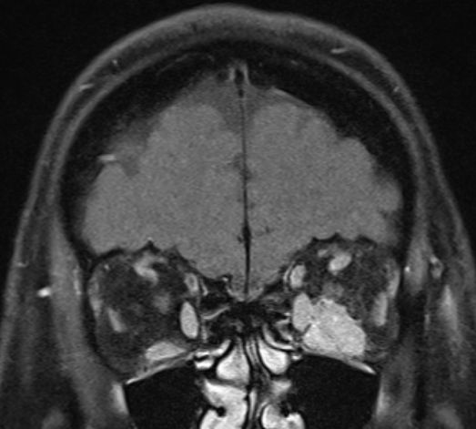
MRT eines retroorbitalen Lymphoms |
|||
| allgemeines | |||
![]() |
![]() | ||
![]() |
![]() |
![]() |
|
![]() |
![]() |
![]() |
|
Teil von |
NHL, Non - Hodgkin - Lymphome | Maligne Systemerkrankungen | Onkologie |
|
|
|||
Impressum .....................................................................................Zuletzt geändert am 20.09.2012 22:32