BL, Burkitt - Lymphom |
Bildquelle: CoRus13, CC BY-SA 4.0 | |||
| allgemeines | Hoch malignes, reifes B-Zell-Lymphom. | |||
| Entsteht in den Keimzentren der Lymphorgane, z.B. Peyer`sche Plugs im Darm, Lymphknoten oder Milz). | ||||
Epidemiologie |
Am häufigsten bei Kindern und Jugendlichen. Jungen häufiger Mädchen (3:1). | |||
Verbreitet in Afrika, Lateinamerika und Neuguinea. | ||||
EBV |
Das Epstein-Barr-Virus verursacht ein polyklonales Wachstum der B-Lymphozyten. | |||
| Eine Infektion mit EBV bei Neugeborenen gilt als Risikofaktor für BL. | ||||
Afrika |
Erstmalig 1958 bei afrikanischen Kindern beobachtet. | |||
Das Auftreten speziell in Schwarzafrika wird damit erklärt, dass Malaria die T-Lymphozyten-Population schädigt und so die Bildung autonomer Klone begünstigt. | ||||
Prognose |
Sehr aggressives Lymphom. Extrem kurze Verdoppelungszeit. |
high-risk (R4): Stadium III/ IV und LDH > 1.000 U/L |
3-EFS:
| |
Subtypen |
endemisch | sporadisch | Immunodefizit-assoziiert | |
L3-ALL |
Burkitt-Leukämie | Sonderform der ALL | Knochenmark: > 25% Blasten | |
Klinik |
Oft im Gesicht (v.a. Kiefer) oder am Hals. | Innere Organe (v.a. im Bauchraum), im Spätstadium auch ZNS, Knochenmark, Meningen. | ||
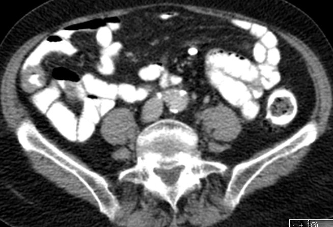
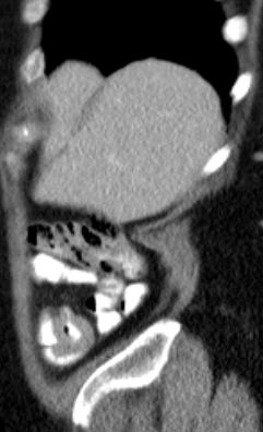
Burkitt-Lymphom täuscht einen Dünndarmtumor vor.
Exzision anlässlich einer Rektum-Ca-OP bei einer 80jährigen Frau. | ||||
Morphologie |
Expression von B-Zell-spezifischen Oberflächenmarkern: |
CD19, CD20, IgM. L3 - Morphologie | ||
Molekularbiologie |
Aktivierung des c-MYC - Oncogens. | Zusätzlich p53, Retinoblastom-Gen. | ID3 (inhibitor of DNA binding 3)68% der Burkitt-Lymphome mutiert. Molekularer Marker für Burkitt-Lymphom.(2) | |
c-MYC |
Aktivierung durch eine Translokation t(8;14). | c-Myc liegt normalerweise auf Chromosom 8. Durch Translokation gelangt es in die nähe von Immunglobulin-Gene: | Ig - Heavy - Chain - Locus auf Chromosom 14, κ Light - Chain - Locus auf Chromosom 2, λ Light - Chain - Locus auf Chromosome 22 | |
PI3K |
Hemmt die Apoptose reifer B-Zellen. Die gleichzeitige Aktivierung von c-MYC und PI3K führt zum Lymphom. | |||
Ergebnisse |
BFM-95 trial (1) | |||
Teil von |
NHL, Non - Hodgkin - Lymphome | Maligne Systemerkrankungen | spezielle Tumoren | Onkologie |
Quellen |
1.) Woessmann W, et al.: The impact of the methotrexate administration schedule and dose in the treatment of children and adolescents with B-cell neoplasms: A report of the BFM Group Study NHL-BFM95. Blood 105(2005):948–958 2.) Richtet J, et. al.: Recurrent mutation of the ID3 gene in Burkitt lymphoma identified by integrated genome, exome and transcriptome sequencing. Nature Genetics 2012 doi:10.1038/ng.2469 | |||
Impressum Zuletzt geändert am 24.06.2025 22:12