| zurück Home | follikuläres Lymphom, FL, FCL | ||||||||
| allgemeines | niedrig malignes B-Zell - Lymphom, früher: zentroblastisch - zentrozytisches (cb/cc) Lymphom, M. Brill-Symmers | ||||||||
Epidemiologie |
20 - 35% aller NHL, häufigstes Lymphom, 6-8.000 Neuerkrankungen in der BRD / Jahr, mittleres Erkrankungsalter 60 Jahre | ||||||||
Klinik |
nicht schmerzhafte Lymphknotenschwellung, Leber- und Milzvergrößerung |
Ann - Arbor | |||||||
Metastasierung | |||||||||
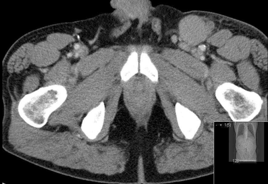
| Nach histologischer Diagnosesicherung (Referenzpathologie) Staging: CT Thorax, Abdomen, MRT, Knochenmarkspunktion | 58-jähriger Mann mit einer schmerzlosen
Schwellung der linken Leiste.![]() | ||||||||
Molekularbiologie |
> 90% CD20-Oberflächen-AG positiv. CD10, BCL2 positiv. | ||||||||
Genetik |
typische Chromosomenveränderung: t(14;18)(q32;q21). Folge: Daueraktivierung von Bcl2 | ||||||||
Morphologie |
Ähnelt Lymphfollikeln mit unreifen Zentroblasten. Je mehr Zentroblasten, um so bösartiger. | ||||||||
WHO-Grading |
| ||||||||
| Stadium I,II: Radiotherapie. Bei asymptomatischen Patienten im Stadium III, IV: Kontrolle ohne Therapie. Systemische Therapie: R-CHOP | |||||||||
Operation |
nur zur Diagnosesicherung | ||||||||
Radiatio |
Standardbehandlung im Stadium I und II. IFI (involved field), EFI (extended field), Bestrahlung des oberen oder unteren Abschnitts, ev. TNI (total nodale Bestrahlung). | ||||||||
Chemotherapie |
Stadium III,IV mit Symptomatik oder rascher Progredienz. Häufig: R-CHOP. Bei strenger Indikation: autologe Stammzelltransplantation (ASCT). | ||||||||
Quellen |
1.) Heinzelmann F, et al.: Nodal Follicular Lymphoma. The Role of Radiotherapy for Stages I and II. Strahlenther Onkol 186(2010):191–6 2.) Jacobs JP, et al.: Central lymphatic irradiation for stage III nodular malignant lymphoma: long term results. JCO 11(1993):233–8. 3.) Wilder RB, et al.: Long term results with radiotherapy for stage I–II follicular lymphomas. IJROBP 51(2001):1219–27. | ||||||||
|
|
|||||||||
Impressum Zuletzt geändert am 03.11.2014 6:52