zurück Home

DLBCL
Diffuse Large B-Cell Lymphoma
diffuses großzelliges B-Zell-Lymphom

allgemeines Früher Retikulosarkom

Epidemiologie

30-40% der hochmalignen Lymphome. BRD: 3000 Neuerkrankungen pro Jahr. Mortalität 25%.

Klinik

40% nur Lymphknotenbefall. 40% haben extranodalen Befall:
  • Gastrointestinaltrakt
  • Haut
  • Nervensystem
  • Knochen
  • Hoden
  • Weichteile
  • Speicheldrüsen
  • weiblicher Genitaltrakt
  • Lunge
  • Niere
  • Leber

Prognose

Nach R-CHOP haben 35-40% ein Rezidiv oder sind Therapie-refraktär(2).
Salvage-autologe Stammzell-Transplantation: 60% nicht geeignet oder Rezidiv nach ASCS(3)
International Prognostic Index:
  • > 60 Jahre
  • ECOG > 1
  •  LDH erhöht
  • Stadium III,  IV

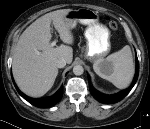
Diagnostik

primärer Milzbefall
Pathologische subtrochantäre Fraktur bei extranodalem, intraossärem DLBCL.

Morphologie

Subtypen

  • PMBL (primary mediastinal B - cell lymphoma)
  •  GCB (germinal - center B - cell - lymphoma)
  •  ABC (activated B - cell - lymphoma)

primär mediastinales DLBCL, PMBCL

Stammt von medullären Thymuszellen ab. mediastinaler Bulk, oft mit Infiltration von Lungen, Pleura, Pericard.

BCR

B-Cell-Receptor, ein chronisch activer BCR (ABC DLBCL) ist für das Überleben einer bösartigen Variante des DLBCL erforderlich. Beteiligt sind CARD11 und NF-κB. 10% der ABC DLBCLs haben Mutationen von CARD11 die NF-κB5 aktivieren.

ABC - Subtyp

activated B-cell–like subtype of diffuse large B-cell lymphoma. Aggressive Variante des DLBCL. NF-κB Activierung durch permanente aktive B-Zell - Rezeptor (BCR) Signalbildung. Vermittelt wird dies durch Activität von PI3K und PDK1 (downstream kinase). PI3K -Inhibition reduziert die NF-κB Activität. PI3K und PDK1 sind notwendig für die MALT1 - Protease - Activität, einem Überlebensfaktor von ABC-DLBCL - Zellen (1).

PB-DLBCL

Primary Bone - DLBCL

Therapie

First-line-Therapie: R-CHOP (Rituximab, Cyclophosphamid, Doxorubicin, Vincristine, Prednisolone)

Ergebnisse

CRUKE/03/019: Testet R-CHOP-14 gegen R-CHOP-21. NHL-B2. RICOVER. SWOG-9704: autologe Stammzelltransplantation

Radiatio

Chemotherapie

R-CHOP

Target-Therapie

Enfortumab Vedotin, Padcev® Nectin-4-Antikörper konjugiert mit Monomethylauristatin E (Microtubulus-Inhibitor) In Kombination mit Rituximab, Cyclophosphamid, Doxorubicin, Prednisolon
First line Therapie
KV 2023: nicht quantifizierbar Zusatznutzen

Teil von

NHL, Non - Hodgkin - Lymphome Maligne Systemerkrankungen Onkologie

Quellen

1.) Kloo B, et al.:
Critical role of PI3K signaling for NF-κB–dependent survival in a subset of activated B-cell–like diffuse large B-cell lymphoma cells.
PNAS (2011) online: www.pnas.org, doi:10.1073/pnas.1008969108
Helmholz-Institut, München

2.) Sehn LH, Gascoyne RD:
Diffuse large B-cell lymphoma: optimizing outcome in the context of clinical and biologic heterogeneity.
Blood 2015;125:22-32

3.) Gisselbrecht C, Glass B, Mounier N, et al.:
Salvage regimens with autologous transplantation for relapsed large B-cell lymphoma in the rituximab era.
J Clin Oncol 2010;28:4184-90.

Impressum                               Zuletzt geändert am 14.12.2022 21:55