| zurück
Home |
hochmalige NHL |
| allgemeines |
Großzellige B-Zelllymphome
- DLBCL
- primär mediastinale B-Zelllymphome
- transformierte
follikuläre Lymphome
|
DLBCL |
Diffus large B-cell lymphoma. 30-40% der
hochmalignen Lymphome. Subtypen: |
GCB |
germinal - center B - cell -
lymphoma
|
ABC |
activated B - cell - lymphoma
|
PMBL |
primary mediastinal B - cell
lymphoma
|
| Immunoblastisches L. (IB) |
Großzelliges anaplastisches L. (ALCL) |
T-LBL | B-LBL |
ALL |
| Centroblastisches L. (CB) |
Mantelzell - L. (MCL) |
Immunoblastisches L. (IB) |
| Großzelliges anaplastisches L. (ALCL) |
Burkitt-L. |
Lymphoblastisches L. (LB) |
plasmoblastisches L. |
| Pleomorphes mittelgroßzelliges und großzelliges L. |
Angioimmunoblastisches T-L (AITL) |
PTCL, peripheres T-Zell - Lymphom |
ATLL |
Adult T-cell Leukemia/Lymphoma |
induziert durch HTLV-1 (Human T-cell Lymphotropic Virus type
1) |
NKTCL |
Natural Killer T-zell-Lymphom |
extranodaler nasaler Typ bei Asiaten und Südamerikanern
häufig. |
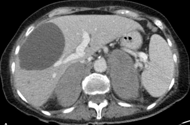
B-Zell-NHL der Nebennieren |
76-jährige Frau mit Inappetenz, rezidivierendem
Fieber, Hyponatriämie und Nebennierenschwellung. Hochmalignes B-Zellymphom. NB.
Leberzysten.
 |
| Selen(1) |
| Patienten |
100 Patienten mit aggressivem NHL, St.
Bartholomews (London) 1986-1999
|
| Histologie |
- 77 DLBCL
- 14 mediastinales großzelliges B-Zelllymphom
- 3 DLBCL, T-Zell–reich
- 2 Lymphoplasmacytisches Lymphoma mit hohem Blastenanteil
- 2 Angioimmunoblastisches T-Zelllymphom
- 1 Burkitt’s lymphoma
- 1 Mantelzelllymphom mit hohem Blastenanteil
- 15 gemischte oder diskordante Histologie
|
| Selen |
Bestimmung Selen-Konzentration im Serum bei
Erstvorstellung |
| Therapie |
Anthracycline - haltige Chemotherapy +-
Radiotherapie |
| Ergebnis |
Selen-Spiegel korreliert mit:
- Performance Status
- Response
- lange Remission nach Erstbehandlung
|
|
Selen |
| Response |
niedrigstes Quartil |
2. niedrigstes Quartil |
2. höchstes Quartil |
höchstes Quartil |
| CR, gute PR |
13 - 54,2% |
14 - 56,0% |
14 - 56,0% |
22 - 88,0% |
| schlechte PR, Versagen, Tod durch Therapiekomplikation |
11 - 45,8% |
11 - 44% |
11 - 44% |
3 - 12% |
|
| Kritik |
Ein hoher Selenspiegel korreliert stark mit gutem
Allgemeinstand. Ein guter Allgemeinzustand verbessert den Therapieerfolg.
Ein direkter Zusammenhang zwischen Selenspiegel und Prognose ist mit diesen
Zahlen nicht belegt! |
|
Teil von |
NHL, Non - Hodgkin - Lymphome |
Maligne Systemerkrankungen |
Onkologie |
Quellen |
1.) Last KW, et al.:
Presentation Serum Selenium Predicts for Overall Survival, Dose Delivery, and
First Treatment Response in Aggressive Non-Hodgkin’s Lymphoma.
J Clin Oncol 21(2003):2335-2341
|
|