zurück Home

NSCLC

Allgemeines

Non - Small - Cell - Lung - Cancer, nicht kleinzellige Lungen - Tumoren. SCLC (kleinzellige Bronchialkarzinome) werden anders behandelt und haben andere Eigenschaften.

Epidemiologie

Häufigste Form des Bronchial - Karzinoms.

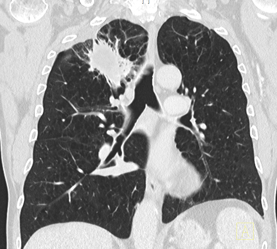
Plattenepithelkarzinom des rechten Lungenoberlappens T3 N2 Mo
NSCLC re OL

Prognose

Rezidiv

Klinik

Metastasierung

Knochenmetastasen, Lymphknotenmetastasen Hirn-Metastasen

Staging

TNM-Klassifikation nach UICC / AJCC 7 (2009). Gilt für SCLC, NSCLC und bronchopulmonale Karzinoide.

Diagnostik


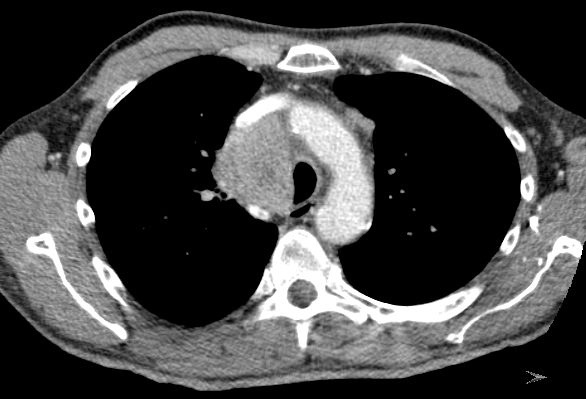
Adenokarzinom des rechten Lungenoberlappens mit Einbruch und Blutung in die Trachea.

Morphologie

40-45% Adeno-Ca, 30% Plattenepithel-Ca, 10% großzelliges Karzinom.

Molekularbiologie

KRAS, EGFR, BRAF, ALK, Her2, PIK3CA, AKT1, MAP2K1, MET

Therapie

Eine kurative Therapie kann nur mit einer Radikal-Operation erreicht werden. Inoperabe NSCLC werden palliativ behandelt.
Ergebnisse AVAiL-Studie

Operation

Eine Radikal - OP ist indiziert, wenn der Tumor lokal operabel ist, keine mediastinalen Lymphknoten vorliegen und Fernmetastasen fehlen.

Radiatio

Eine Kombination von Strahlentherapie und Chemotherapie ergibt bessere Heilungsraten, als eine Chemotherapie allein.

Chemotherapie

Gegenwärtig werden überwiegend Kombinationen aus Platin (Cisplatin, Carboplatin) und Avastin, Alimta oder Taxol verwendet.

Target-Therapie

Bei EGFR-Mutation im Exon 19 ist die Behandlung mit EGFR-TKI (Erlotinib =Tarceva®, Gefitinib, Afatinib) besonders wirksam. (Tarceva®), Bevacizumab (Avastin®), Crizotinib
Quellen

Teil von

Tumoren des Thorax spezielle Tumoren Onkologie

Impressum                           Zuletzt geändert am 18.12.2022 8:35