NSCLC: Rezidiv | ||||
| allgemeines | ||||
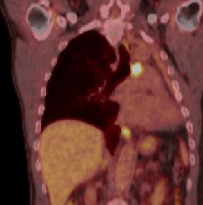
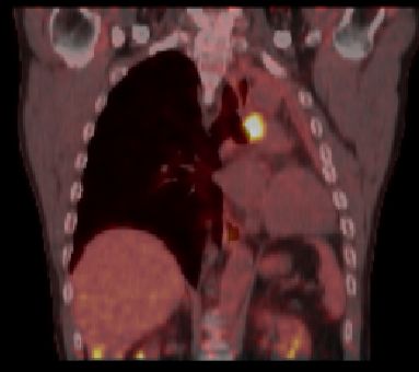
| PET-CT | 60jähriger Mann 18 Monate nach Pneumektomie links wegen Plattenepithelkarzinom des linken Lungenoberlappens pT2a pNo Mo![]() ![]() |
|||
![]() ![]() |
||||
| Quellen |
1.) , et al: . | |||
Impressum .....................................................................................Zuletzt geändert am 01.03.2013 9:46