zurück Home

Diagnostik des NSCLC

allgemeines Lymphknoten-Level
Methoden
  • Anamnese
  • klinische Untersuchung
  • Labor
  • bildgebende Diagnostik
    • Röntgen Thorax
    • CT
    • MRT
    • PET
    • Sonographie
  • Mediastinoskopie
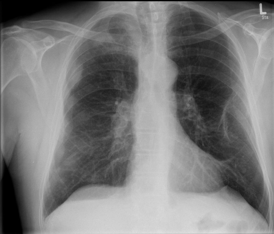
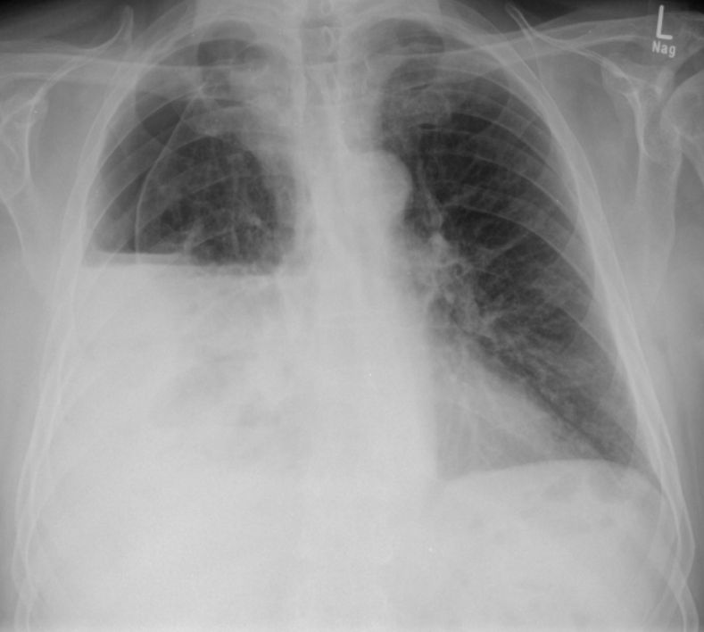
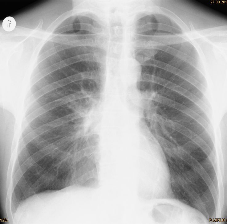
Röntgen Thorax Primärtumor im rechten unteren Unterlappen T2N3Mo. Nur diskrete Verdichtung im rechten unteren Hilus.
Primär zerebral metastasiertes Adenokarzinom des rechten Unterlappens. Im CT Tumor kavernenartig zerfallend. Jetzt: Sero-Pneu.
Sero-Pneu im CT
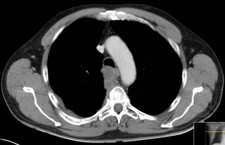
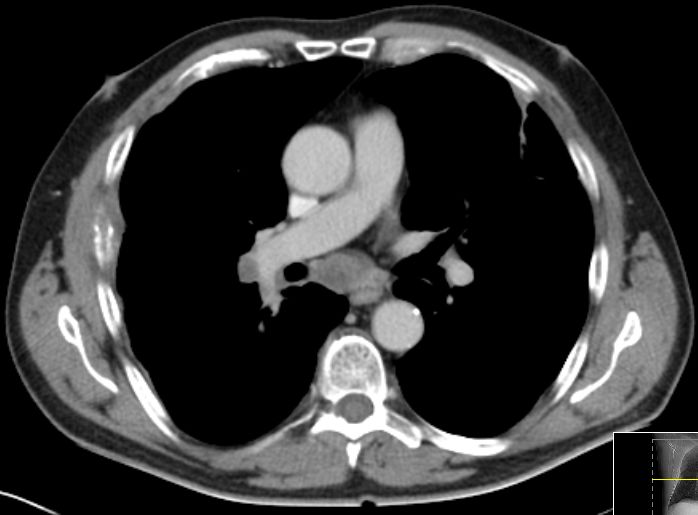
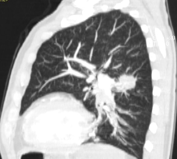
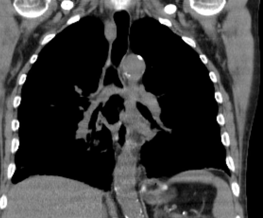
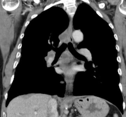
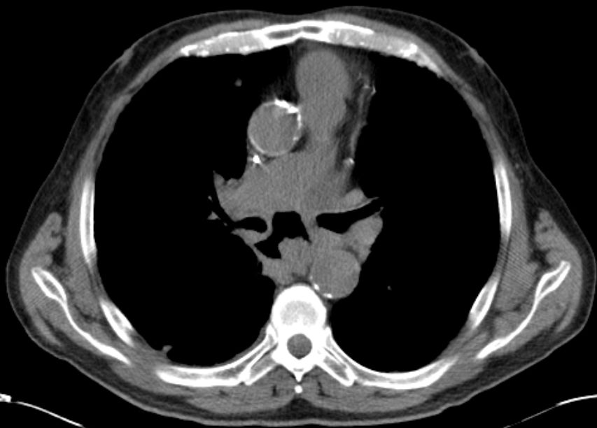
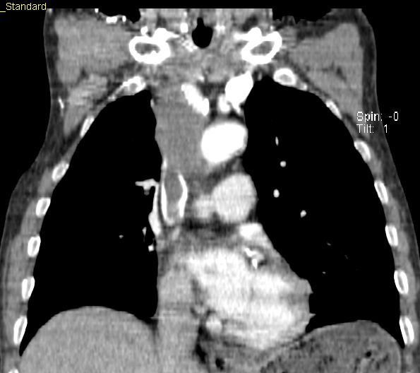
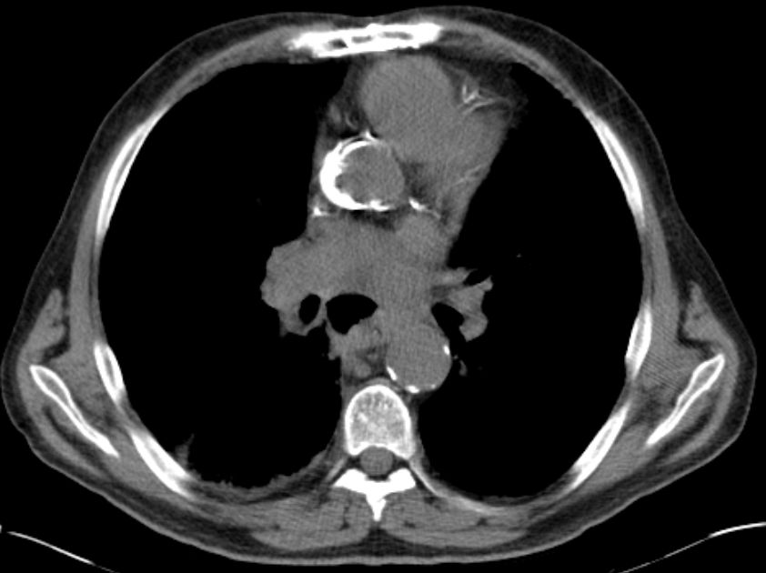
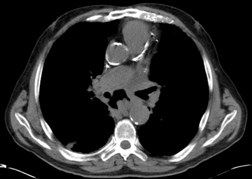
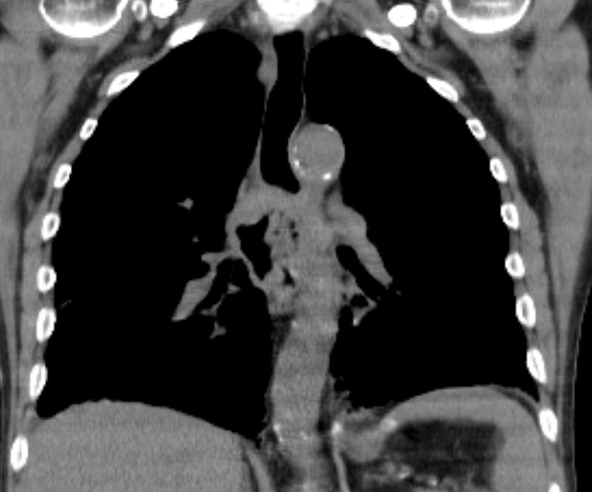
CT Infiltration des oberen Mediastinums. Flottierender Thrombus in der Vena cava superior.
Primärtumor im linken Unterlappen. .
parietale Ausbreitung 63-jähriger Patient mit rechtsthorakalen Beschwerden. Bronchoskopie unauffällig. Klinisches Bild ähnelt einem Mesotheliom. Histologisch undifferenziertes Karzinom p63+ TTF1 positiv, Ki67 > 80%, Synaptophysin negativ, CD56 negativ.
Broncho-ösophageale Fistel 72-jähriger Mann mit großzellig - neuroendokrinem, zentralem Lungenkarzinom cT4 cN3 pM1 hep,pul,adr vor 3 Monaten. Nach 4x Carboplatin/Etoposid Ausbildung einer Trachealfistel.
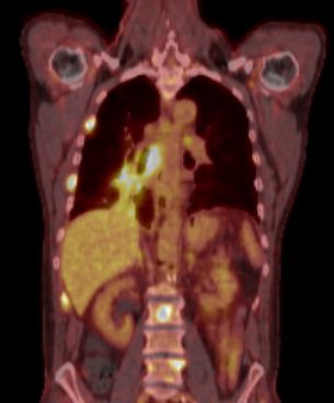
PET Primärtumor im rechten unteren Hilus, mediastinale Lymphknoten, Metastasen in 3 Rippen rechts sind erkennbar.

Teil von

NSCLC Tumoren des Thorax Onkologie
Quellen  
blauer Punkt
                              Zuletzt geändert am 01.06.2023 16:13