zurück Home

SCLC

Allgemeines

Small-Cell Lung Cancer

Schnell wachsender, früh metastasierender Tumor mit initial gutem Ansprechen auf Chemotherapie und Strahlentherapie.

Epidemiologie

13% aller Bronchialkarzinome. Anteil nimmt ab. BRD 10.000 Neuerkrankungen /a

Prognose

Trotz guten Ansprechens auf RT und Chemotherapie ist die Prognose schlecht. Unbehandelt beträgt die mittlere Überlebenszeit 3 - 5 Monate.

Klinik

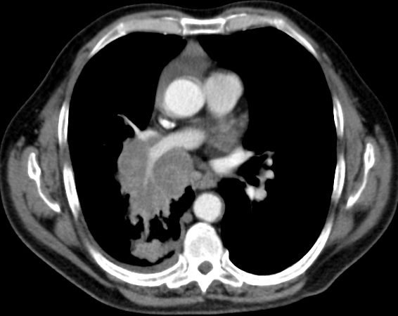
Kleinzelliges Bronchialkarzinom des rechten Hauptbronchus T4 N2 M1bra.
Kleinzelliges Bronchialkarzinom des rechten Mittellappens T3 N3 M0.

Metastasierung

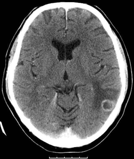
Häufige Metastasierung ins Gehirn. Auch Knochen, Leber, Nebennieren.

Staging

TNM-Klassifikation nach UICC / AJCC 7 (2009). Gilt für SCLC, NSCLC und bronchopulmonale Karzinoide.

LD - ED

Oft wird anstelle der TNM-Klassifikation wird nur grob in limited-stage disease (39%) und extended - stage disease eingeteilt (Veterans' Administration).

Diagnostik

Vor Primärtherapie(1):
  • Anamnese
  • klinische Untersuchung
  • Labor: Blutbild, Differentialblutbild, Leberwerte, Nierenwerte
  • CT Thorax, Leber, Abdomen mit KM
  • MRT oder CT des Gehirns
  • PET oder Knochenszintigramm
  • Bei LD PET empfohlen

Morphologie

Immunhistochemie: CD56 positiv

Therapie

Kombination von RT und Chemotherapie.

Ergebnisse

Operation

Nur im Stadium UICC I empfohlen(1). Praeoperativ erweiterte Diagnostik: Mediastinoskopie (1)

Radiatio

Patienten mit ED und kompletter Remission außerhalb des Thorax sollten eine thorakale Bestrahlung erhalten (1: Empfehlung Grad 2C) Eine prophylaktische Bestrahlung des Neurokraniums (PCI) mit 10x2,5Gy ist bei allen Patienten indiziert, die nach Primärtherapie eine partielle Remission erzielt haben.

Radio-Chemotherapie

Bei LD sollte eine frühe Radiochemotherapie erfolgen. Ein Vergleich akzelerierte, hyperfraktionierte Radiochemotherapie - Standardfraktionierung wird in Studien geprüft.

Chemotherapie

Patenten mit LD und ED sollten primär 6 Zyklen einer platinhaltigen Chemotherapie erhalten(1). Im Stadium I postoperative, platinhaltige Chemotherapie empfohlen(1).

Teil von

Tumoren des Thorax spezielle Tumoren Onkologie

Quellen

1.) Rudin CM, et al.:
Treatment of Small-Cell Lung Cancer: American Society of Clinical Oncology Endorsement of the American College of Chest Physicians Guideline.
J Clin Oncol 2015;33:4106-4111. DOI: 10.1200/JCO.2015.63.7918

Impressum                           Zuletzt geändert am 25.12.2023 18:26