Metastasen beim NSCLC |
||||
| allgemeines |
| |||
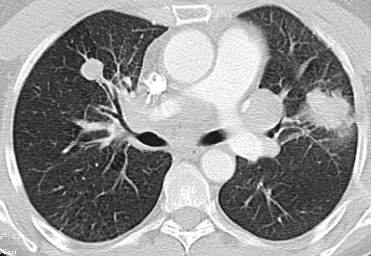
| Lungenmetastasen | 53-jährige Frau mit einem primär zerebral und pulmonal metastasierten Adenokarzinom des linken Oberlappens cT4 cN1 M1.
Das CT zeigt den Primärtumor links und einen Rundherd rechts (möglicherweise 2. Primärtumor).![]() | |||
| Hirnmetastasen | Adenokarzinom der Lunge. MRT-Untersuchung des Hirns.![]() | |||
| Rückenmarksmetastasen | 71-jährige Frau mit inkompletter
Querschnittslähmung bei unbekanntem Primärtumor. Knochenbiopsie: Adenokarzinom. CT: Tumor im linken Lungenoberlappen. Trotz Notfallbestrahlung
Komplettierung der Querschnittslähmung klinisch Th6.![]() |
|||
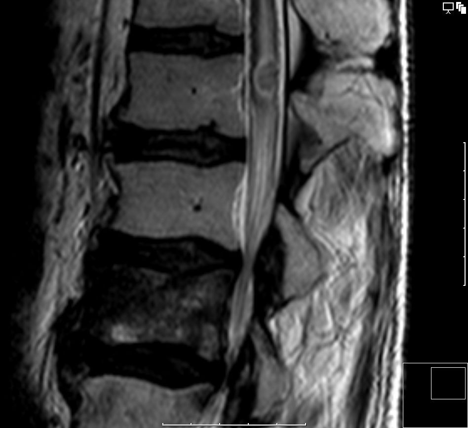
| Rückenmarksmetastasen | 60-jähriger Patient, der nach Prostata- und Nierenkarzinom ein Adenokarzinom des rechten Lungenoberlappens entwickelte. 1 Jahr später eine L3-Metastase, die
bestrahlt wurde. Jetzt eine intramedulläre Herdsetzung bei L1.![]() | |||
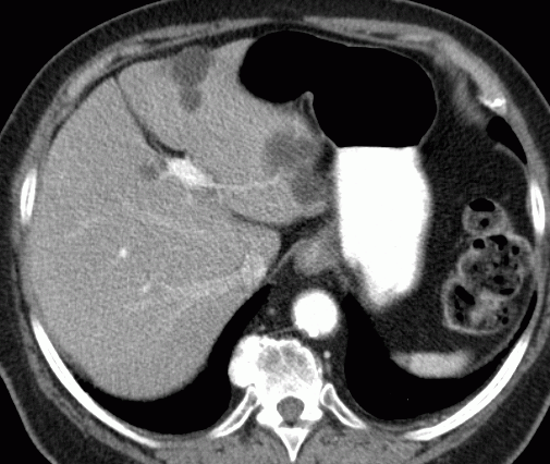
| Lebermetastasen | Lebermetastasen bei Plattenepithelkarzinom des linken Lungenunterlappens.![]() |
|||
| Knochenmetastasen | Die dorsalen Hüftpfannenteile links und Teile des Sitzbeins sind völlig zerstört.![]() |
Deutliche Sklerosierung der Ulna proximal.![]() |
![]() | |
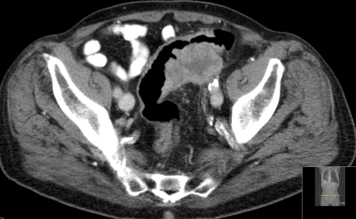
| Colonmetastasen | 72-jähriger Mann, der vor 1 1/2 Jahren ein
rentrales Plattenepithelkarzinom der rechten Lunge pT2 pNo Mo V1 hatte. Nach OP und Chemoptherapie vor einem Jahr Hirnmetastasen, später Lungen- und Lebermetastasen.
Jetzt stenosierender Colon-Prozess. Histologie: Plattenepithelmetastase.![]() |
|||
Teil von |
NSCLC: Klinik | NSCLC | Tumoren des Thorax | |
| Quellen | ||||
Impressum Zuletzt geändert am 15.11.2015 7:36