zurück Home

Hirn-Metastasen beim NSCLC

allgemeines

Die Häufigkeit von Hirnmetastasen hängt vom Stadium und zahlreichen Risikofaktoren ab.

Stadium (1) 6 Monate nach kurativer Bestrahlung hatten 3,7% symptomatische Hirnmetastasen, nach 16 Monaten 7,9%
StadiumHirnmetastasen
I2,8%
II1%
III5,7%
  • retrospektive Analyse von 455 Patienten
  • NSCLC
  • kurative Radiatio
  • 2009 - 2010
  • 7,7% Staging - CT oder - MRT
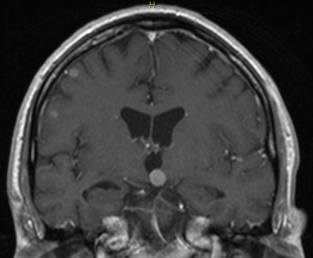
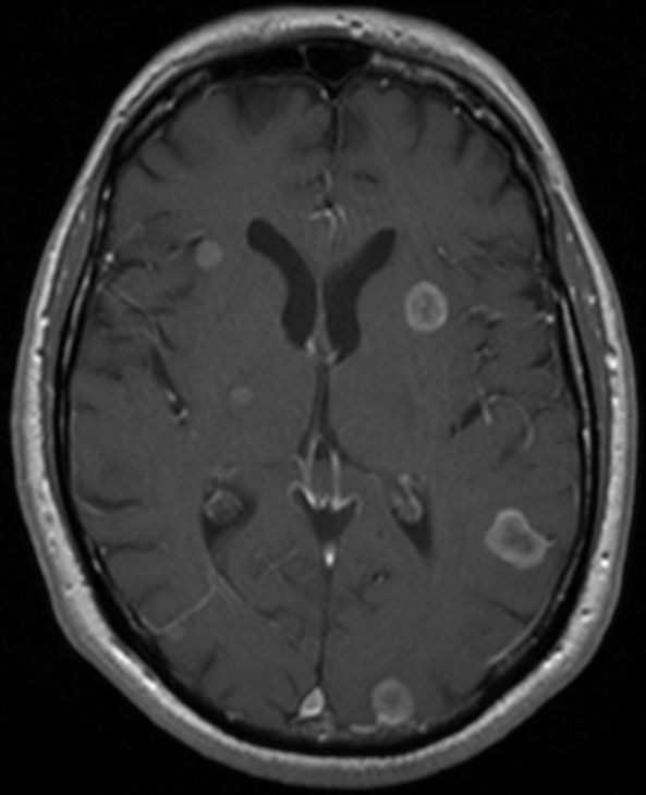
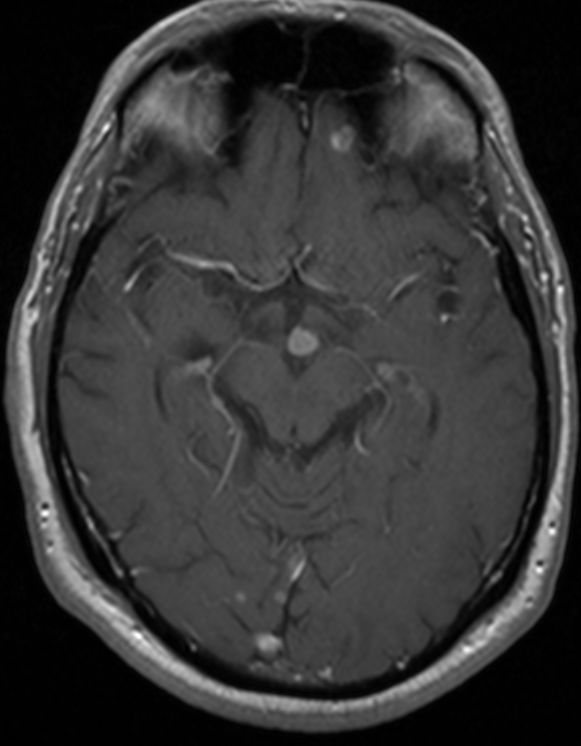
MRT: multiple Hirnmetastasen

weiter Fallbeispiele
70-jähriger Mann, der vor einem Jahr ein Adenokarzinom des rechten Lungenmittellappens hatte. MRT-Untersuchung des Hirns, T1-Sequenz mit Kontrastmittel. Klinisch keine Symptome!

Quellen

1.) Khan E, Ismail S, Muirhead R:
Incidence of symptomatic brain metastasis following radical radiotherapy for non-small cell lung cancer: is there a role for prophylactic cranial irradiation?
Br J Radiol. 2012 Sep 19. [Epub ahead of print]
Glasgow

2.)Sun DS, Hu LK, Cai Y et al.:
A systematic review of risk factors for brain metastases and value of prophylactic cranial irradiation in non-small cell lung cancer.
Asian Pac J Cancer Prev 2014; 15:1233-39

blauer Punkt

Impressum                       Zuletzt geändert am 15.11.2015 8:07