zurück Home

Therapie des NSCLC

Allgemeines

Eine kurative Therapie kann nur mit einer Radikal - Operation erreicht werden. Inoperable NSCLC werden palliativ behandelt.
Primärtherapie metastasiertes NSCLC

Stadiengerechte Behandlung

Stadium 1. Wahl 2. Wahl
I OP Stereotaktische Bestrahlung
II OP Radio - Chemotherapie
IIIa Radio - Chemotherapie OP
IIIb Radio - Chemotherapie, Taget - Therapie Chemotherapie
IV Chemotherapie, Taget - Therapie BSC, best supportive care

Verfahren

Operation primäre Radikaloperation Metastasenchirurgie
Chemotherapie palliative Chemotherapie adjuvante Chemotherapie praeoperative Chemotherapie
Strahlentherapie primäre Strahlentherapieprimäre Radiochemotherapie postoperative Strahlentherapiepraeoperative Radiochemotherapie

Operation

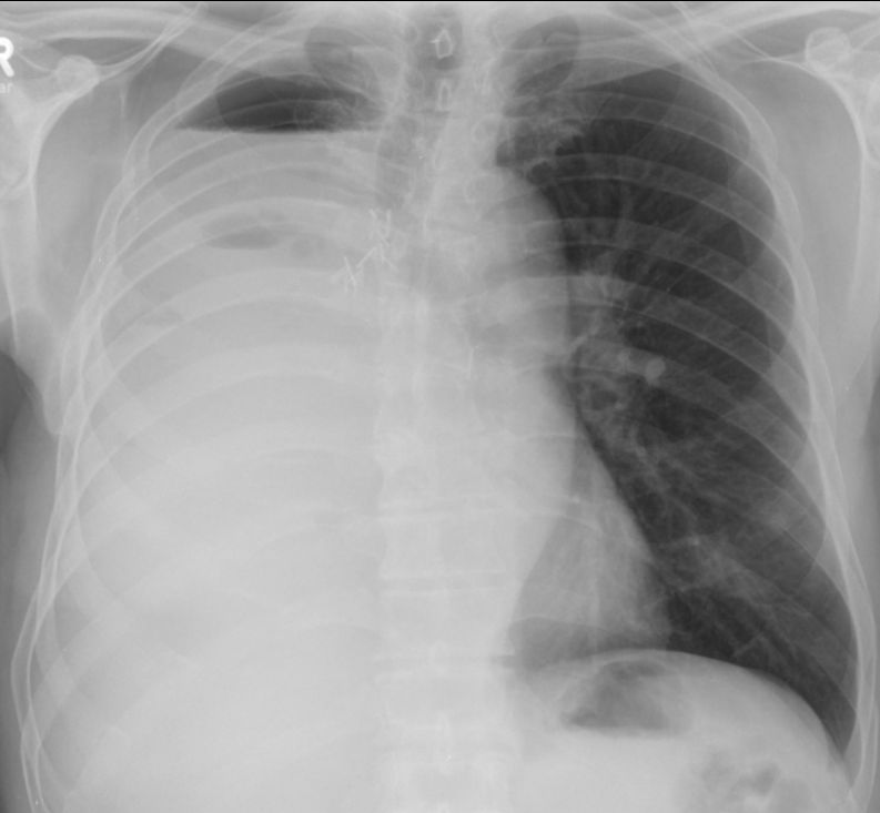
Eine Radikal - OP ist indiziert, wenn der Tumor lokal operabel ist, keine mediastinalen Lymphknoten vorliegen und Fernmetastasen fehlen. 6 Wochen nach Pneumektomie rechts.

Radiatio

SBRT: Stereotactic body-radiation therapy

Radio-Chemotherapie

In Anlehnung an die GILT-Studie(4) wird bei einem inoperablen NSCLC eine Radio-Chemotherapie mit Cisplatin-Vinorelbin durchgeführt. GILT-Protokoll

medikamentöse Therapie

Adeno-Ca EGFR:
10% positiv
bevorzugt Nie- Raucher,
bei hoher Expression Erlotinib wirksam
EML4-ALK
5% positiv
bei hoher Expression Crizotinib wirksam
Plattenepithel-Ca EGFR-, EML4-ALK - Bestimmung nicht sinnvoll.

Chemotherapie

spezielle Schemata primäre Chemotherapie Maintenance Therapie second - line
praeoperative Chemotherapie postoperative Chemotherapie

Target-Therapie

EGFR: Erlotinib (Tarceva®) VEGF: Bevacizumab (Avastin®) EML4-ALK: Crizotinib MET: Onartuzumab
Immunmodulation
  • NSCLC
  • nicht-SCC
  • metastasiert
  • First - Line
Pembrolizumab + Pemetrexed + Carboplatin (US-Zulassung)
Ergebnisse AVAiL-Studie

Teil von

NSCLC Tumoren des Thorax Onkologie

Quellen

1.) Lo SS, et al.:
Stereotactic body radiation therapy: a novel treatment modality.
Nat Rev Clin Oncol 7(2010):44-54

2.) Timmerman R, et al.:
Stereotactic body radiation therapy for inoperable early stage lung cancer.
JAMA 303(2010):1070-6

3.) Peters S, et al. on behalf of the ESMO Guidelines Working Group:
Metastatic non-small-cell lung cancer (NSCLC): ESMO Clinical Practice Guidelines for diagnosis, treatment and follow-up.
Annals of Oncology 23(2012) Suppl 7: vii56–vii64
doi:10.1093/annonc/mds226

4.) Flentje M, et al.:
GILT--A randomised phase III study of oral vinorelbine and cisplatin with concomitant radiotherapy followed by either consolidation therapy with oral vinorelbine and cisplatin or best supportive care alone in stage III non-small cell lung cancer.
Strahlenther Onkol 2016;192(4):216-22
doi: 10.1007/s00066-016-0941-8

wichtiger Hinweis! Für die Richtigkeit von Indikationen, Dosisangaben und Zielvolumina kann keine Garantie übernommen werden. In Zweifelsfällen sind die aktuellen nationalen und internationalen Leitlinien einzusehen. 

Impressum                               Zuletzt geändert am 27.04.2024 16:13