zurück Home

Sarkome und gutartige Weichteiltumoren

Allgemeines

Während Karzinome von äußeren oder inneren Epithelzellen abstammen, sind Sarkome entartete Mesenchymzellen. Es gibt eine große Zahl bösartiger und gutartiger Neubildungen. Wegen der ähnlichen Therapie faßt man die meisten bösartigen Neubildungen unter dem Begriff Weichteilsarkom zusammen.

Epidemiologie

Inzidenz 3,5 / 100 000 Ew*a, BRD: 2200 Neuerkrankungen /a, 1% aller Malignome

Einteilung

Weichteilsarkome

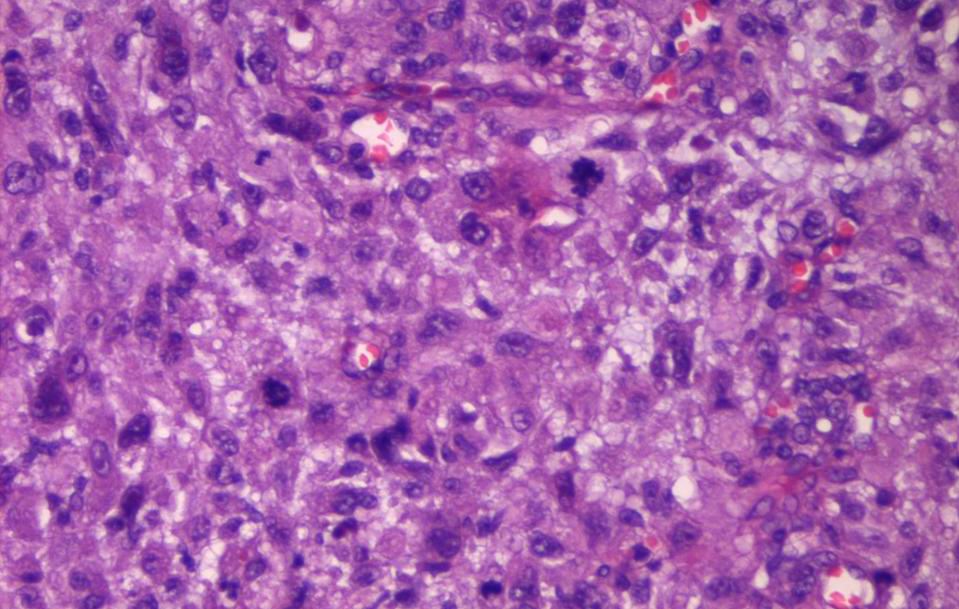
Histo sarkom
Histologisches Bild eines Myxofibrosarkoms G3 des Unterarms (Bild von Pollak/Pathologie Stendal)

Fibromatose

Knochentumoren

Gefäßtumoren

neurale Sarkome

Weichteilsarkome

Fibrosarkom

Liposarkom

Rhabdomyosarkom

Leiomyosarkom

alveoläres Weichteilsarkom

SFT, solitärer fibröser Tumor

MFH, Malignes fibröses Histiocytom

Herztumoren

Knochentumoren

Osteosarkom

Chondrosarkom

Osteochondrom

Osteoidosteom

Osteoklastom

Ewing-Sarkom

Staging

Gene

Teil von

spezielle Tumoren Onkologie

Quellen

1.) Schlag, et al.:
Weichgewebetumoren.
Springer 2011

2.) The WHO Classification of Tumours Editorial Board:
WHO classification of tumours soft tissue and bone tumours.
5th edn. IARC 2020 Lyon

Impressum                           Zuletzt geändert am 12.02.2023 17:08