zurück Home

Riesenzelltumor

Am häufigsten betroffene Knochen
 befallene Knochen

Allgemeines

Osteoklastom, giant cell tumor of bone (GCTB)

Epidemiologie

Erkrankungsalter 20-40a
Pathologie Tumor mit unklarer Dignität. Große, mehrkernige Riesenzellen. Der eigentliche Tumor sind jedoch die zwischen ihnen liegenden fibroblastenähnlichen Zellen.
Pathogenese Mononucleäre neoplastische Stromazellen überexprimieren den Rezeptor - Aktivator von κB ligand (RANKL)  und stimulieren dadurch Osteoklasten.
Pigmentierte villonoduläre Synovitis Riesenzelltumor der Sehnenscheiden. Nicht mit Riesenzelltumor der Knochenverwandt.
Klinik Wächst lokal destruierend. Im Röntgen zeigt sich typischerweise eine exzentrische lytische Knochenläsion. MRT ist wichtig, um vor einer Operation die Ausdehnung im Knochen und in dem umgebenden Weichteilgewebe festzustellen.
DD „Braunen Tumor“ bei Hyperparathyreoidismus Bestimmung des Parathormons wichtig!
Lokalisation (1)
  • distalen Femurepiphyse 34 %
  • proximalen Tibiaepiphyse in 29% 
  • 3/4 Extremitäten
  • 1/4 Rumpf
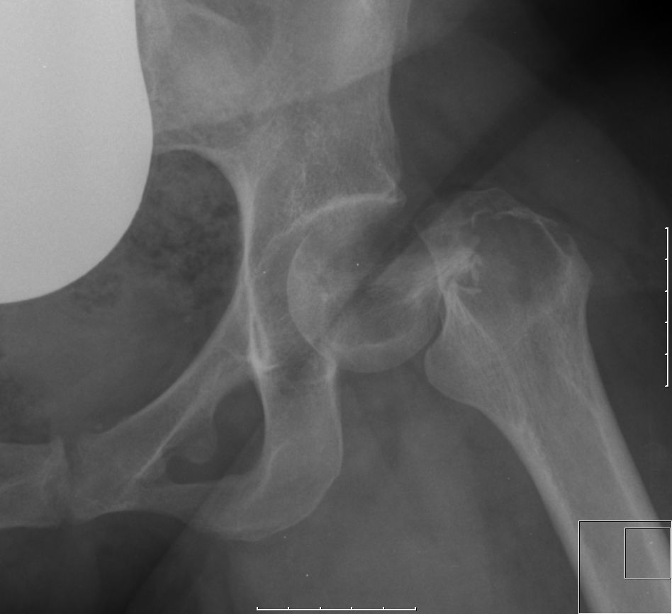
Fälle 28-jährige Frau mit Spontanfraktur des linken Schenkelhalses.
Verlauf wächst lokal destruierend In 5% Lungenmetastasen.

Therapie

Die chirurgische Sanierung besteht aus einer Curettage mit Lokalbehandlung. Mit Phenol und PMMA (Polymethylmethacrylat ) wurde eine Rezidivrate von 8%-27% erzielt. Mit Kryochirurgie und PMMA 0%-20%. Ein komplette Resektion ist indiziert, wenn die Erhaltung des Gelenks nicht erreicht werden kann.

Für nicht resektable Fälle ist Denosumab (Xgeva©) zugelassen.

Strahlentherapie: kein Benefit nachgewiesen

Quellen

1.) Niu X, et al.:
Giant cell tumor of the extremity: retrospective analysis of 621 chinese patients from one institution.
J Bone Joint Surg. American volume. 94(2012):461–467. doi:10.2106/JBJS.J.01922.

2.) van der Heijden L, et al.:
The Clinical Approach Toward Giant Cell Tumor of Bone.
Oncologist. 2014 Apr 9. [Epub ahead of print]

Impressum                           Zuletzt geändert am 06.04.2014 20:46