| zurück Home | Leiomyosarkom, LMS | ||
| Allgemeines |
Sarkome mit Strukturelementen glatter Muskulatur. | ||
| Epidemiologie | 1/4 aller Weichteilsarkome, 1/4 haben primär Metastasen | ||
| Stadien |
| ||
| uLMS | uterine Leiomyosarkome, ca. 50% aller Leiomyosarkome (1), 10% > 60a alt | eLMS: extrauterine Leiomyosarkome | |
| Prognose | Medianes Survival (1) uLMS: 50%, eLMS: 40%, Ohne primäre Metastasen OS 5 Jahre, mit Metastasen 20 Monate | ||
| Klinik | |||
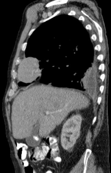
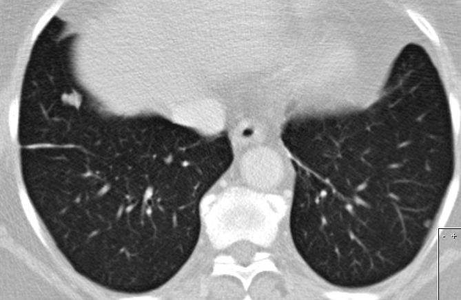
| Thorax | 76-jähriger Mann mit Herzinsuffizienz, Niereninsuffizienz und Pleuraerguss beiderseits.
Das CT zeigt eine intrathorakale Raumforderung rechts ventrolateral.![]() |
Histologisch spindelzellig-faszikulär aufgebauten Neoplasie mit schwach eosinophilem Zytoplasmasaum, indistinkten Zellgrenzen und
deutlichen größenvariablen Kernen mit inhomogenem Kernchromatin.
Immunhistochemie: CD34-AK, Calretinin, S100 negativ. Ki67 40%. Antikörper gegen glattmuskuläres Aktin, Desmin, Caldesmon zeigen eine zytoplasmatischen Färbung des Tumorinfiltrates.![]() |
![]() |
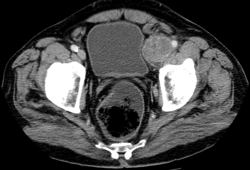
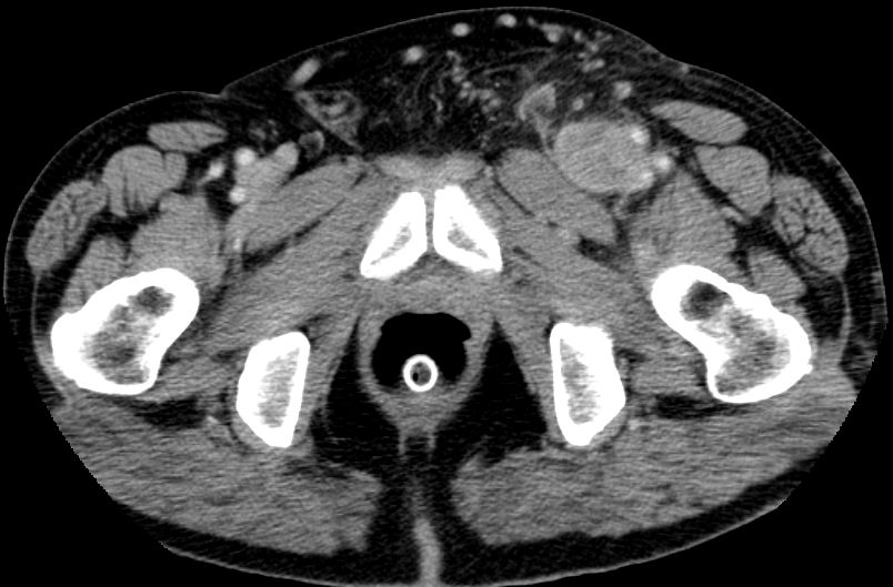
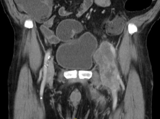
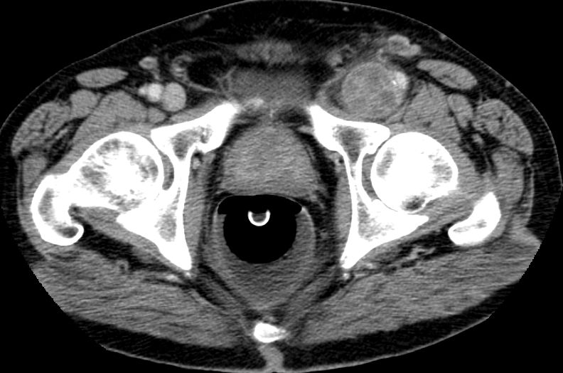
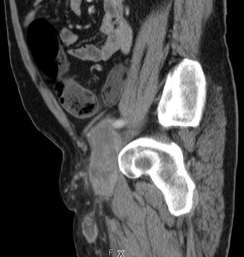
| Leiste | 72-jähriger Landwirt mit einem Leiomyosarkom der linken Leiste pT2b pN0 G2 R0. 110 x 50 x 50 mm großer, solider Tumor mit enger Lagebeziehung zum Gefäßbündel.
Infiltration des Musculus rektus abdominis.![]() |
![]() |
![]() |
![]() |
![]() | ||
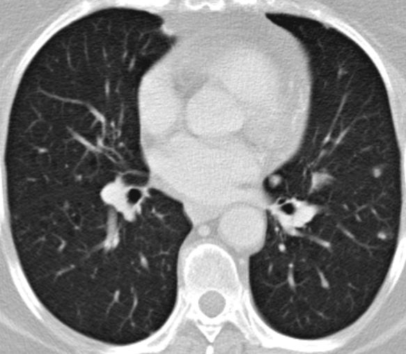
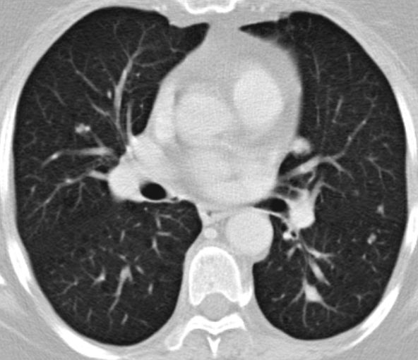
| Metastasierung | Lungenmetastasen und Lokalrezidiv 1 Jahr nach Leiomyosarkom der rechten Beckenwand.
![]() | ||
| Diagnostik | . | ||
| Morphologie | |||
| Genetik | |||
| Therapie | . | ||
| Ergebnisse | |||
Operation |
. | ||
Radiatio |
. | ||
Chemotherapie |
. | ||
Target - Therapie |
. | ||
Quellen |
1.) Farid M , et al: The Influence of Primary Site on Outcomes in Leiomyosarcoma: A Review of Clinicopathologic Differences Between Uterine and Extrauterine Disease. Am J Clin Oncol 2013;36:368–374. doi: 10.1097/COC.0b013e318248dbf4 | ||
Impressum Zuletzt geändert am 07.03.2023 11:08