zurück Home

gutartige Weichteiltumoren

Allgemeines

Fibrom

Lipom

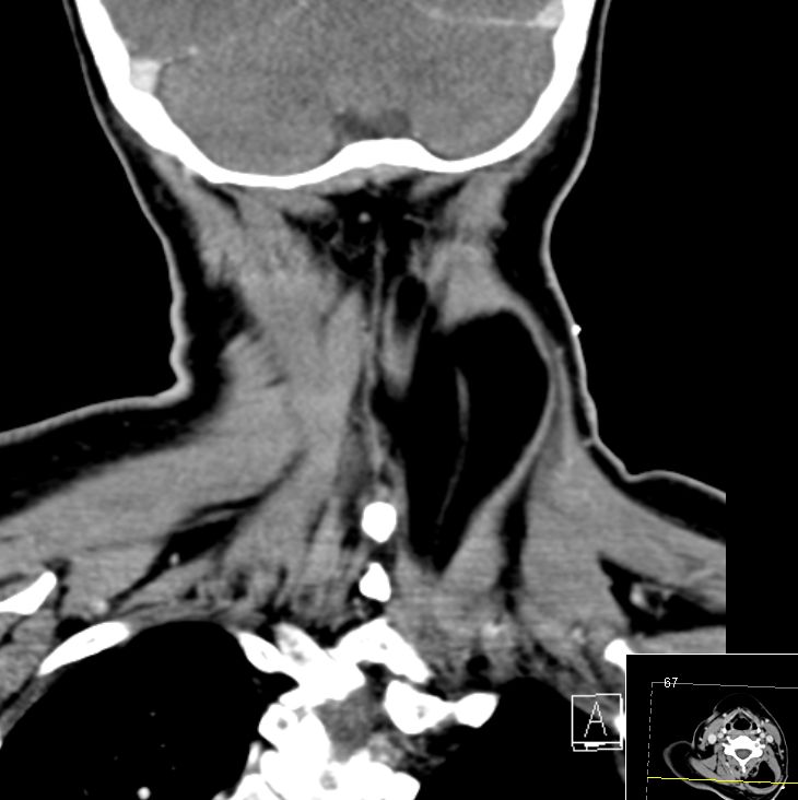
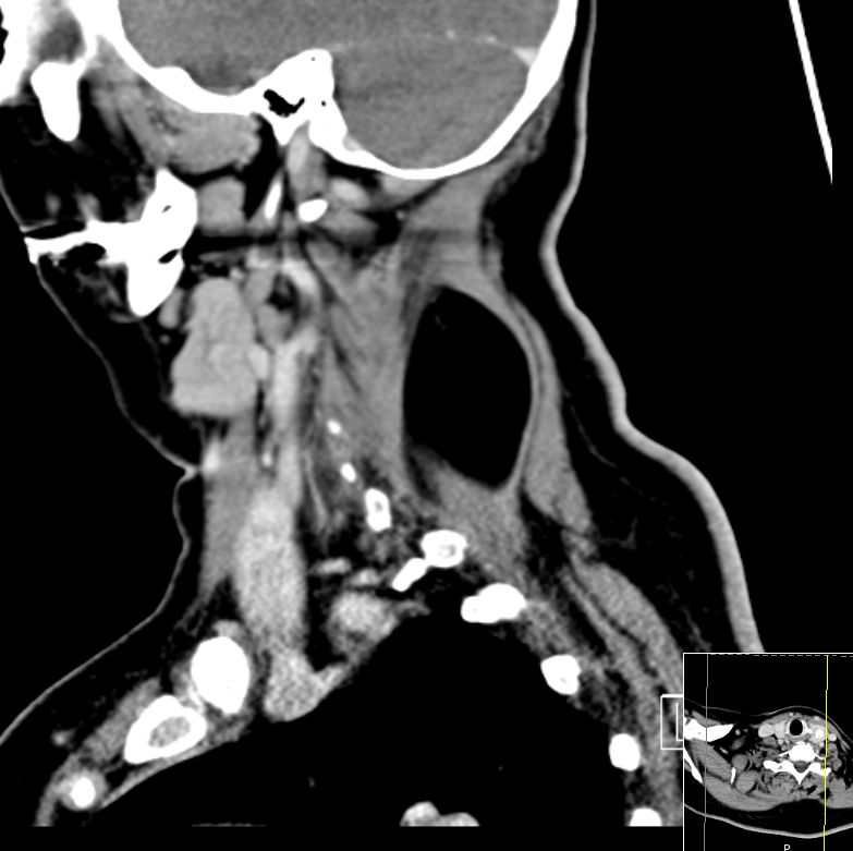
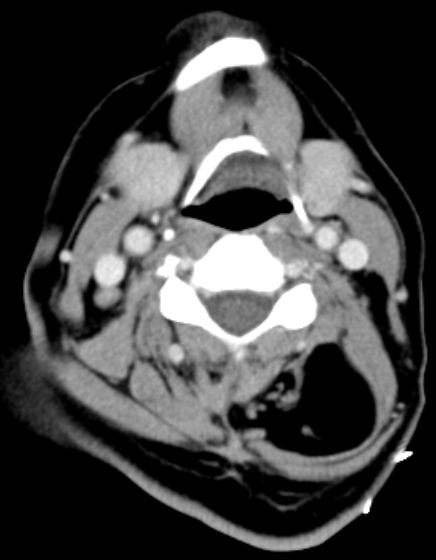
67-jährige Patientin mit einer Raumforderung im Nacken. Das CT zeigt eine fettdichte Struktur innerhalb der dorsalen Halsmuskulatur.

Hibernom

selten, histologische Ähnlichkeit mit braunem Fett.

Am häufigsten an Hals, Axilla, Mediastinum, paraaortal und perirenal.

Histologie: Läppchen unterschiedlicher Größe mit vielen Adipozyten und Fettvakuolen ohne Atypie.

Knochen

Osteochondrom, Osteoid - Osteom

Gefäße

Haemangiome

Neurofibrome

Rest

Impressum                           Zuletzt geändert am 22.05.2017 19:32