| zurück Home | Weichteilsarkome |
C48 Retroperitoneum, Peritoneum | |
Allgemeines |
Obwohl der histologische Bau der Weichteilsarkome sehr unterschiedlich ist, verhalten sie sich ähnlich und werden nach gleichen Prinzipien behandelt. | ||
| Epidemiologie | BRD: 2500 neue Erkrankungen / Jahr | ||
| Kinder | Bei Kindern der 5.-häufigste Tumor. 6-8% aller Kinder-Tumoren. Meistens < 10 Jahre. 50-60% Rhabdomyosarkome. | ||
| Stadien | . | ||
| Prognose | Verhältnis Granulozyten / Lymphozyten im Blut (N/L-Ratio) | N/L-Ratio < 3,58: bessere Prognose | retrospektiven Studie, 260 Patienten 1998-2010 in Graz operiert |
| Symptome | Zunächst schmerzlose Schwellung. Am häufigsten an den unteren Extremitäten. | ||
| Klinik | Extremitäten | ||
| Metastasierung | metastasierte Weichteilsarkome haben eine Überlebenszeit von 8 - 13 Monate. | ||
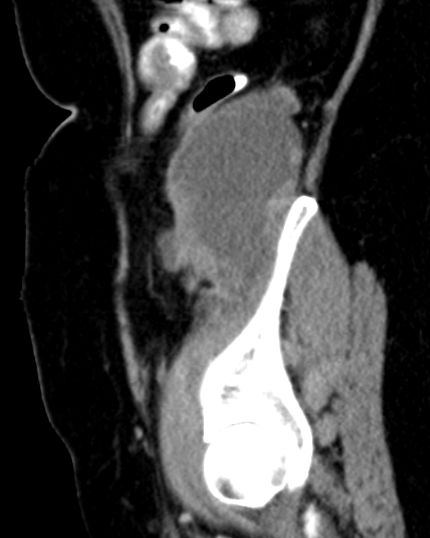
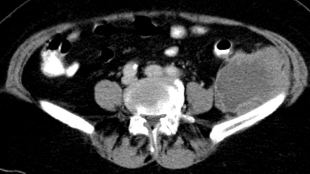
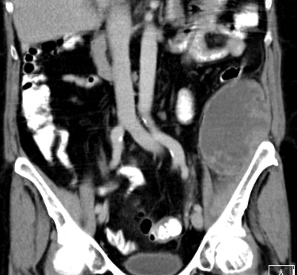
| Diagnostik | partiell nekrotisches, pleomorphes undifferenziertes Sarkom der Bauchwand.![]() |
![]() |
![]() |
| Morphologie | WHO-Einteilung, Rhabdomyosarkome, Leiomyosarkome, Liposarkome Myxo-Fibrosarkom DFPS SFT IMT | ||
| Therapie | . | ||
| Ergebnisse | . | ||
Operation |
Alle lokal begrenzten Weichteilsarkome sollten operiert werden. | ||
| NCI - Studie | |||
Chemotherapie |
Bei Fernmetastasen indiziert. CyVADIC-Schema | ||
Target - Therapie |
TKI: Pazopanib | ||
offene Protokolle |
. | ||
Rest |
IAWS: Interdisziplinäre AG Weichteilsarkome. Sprecher: JT Hartmann/Kiel, Sekretär: P-U Tunn/Berlin | ||
Teil von |
Sarkome und gutartige Weichteiltumoren | Onkologie | |
| Quellen | 1.) Szkandera J, et al.: Elevated preoperative neutrophil/lymphocyte ratio is associated with poor prognosis in soft-tissue sarcoma patients. British Journal of Cancer 108(2013):1677-1683. doi:10.1038/bjc.2013.135 2.) Lindberg M: Soft Tissue Tumors. 2nd Ed. Elsevier 2015 3.) ESMO/European Sarcoma Network Working Group. Soft tissue and visceral sarcomas: ESMO Clinical Practice Guidelines for diagnosis, treatment and follow-up. Ann Oncol 2012;23(suppl 7):vii92-vii99. 4.) Baldini EH, et al.: Treatment Guidelines for Preoperative Radiation Therapy for Retroperitoneal Sarcoma: Preliminary Consensus of an International Expert Panel. IJROBP 2015;92:602–612 | ||
| wichtiger Hinweis! | Eine Behandlung mit tumorwirksamen Medikamenten darf nur unter Aufsicht eines Arztes erfolgen, der über hinreichende Erfahrungen mit Tumoren und diesem Medikament hat. In Zweifelsfällen ist die aktuelle Richtlinie und der Hersteller zu kontaktieren. | ||
Impressum Zuletzt geändert am 07.03.2023 11:08