| zurück Home | Chondrosarkom | |
| Allgemeines |
Knorpelbildender Tumor | |
| Molekularbiologie | Exprimieren Survivin (1) | |
| Fall | 75-jährige Frau mit zunehmenden Schmerzen der rechen Leiste
und Hüfte seit 3 Monaten. ![]() |
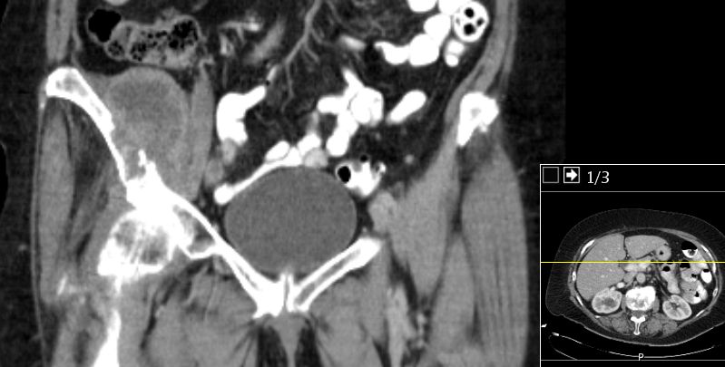
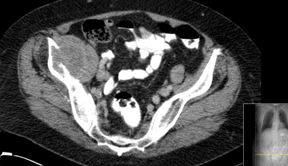
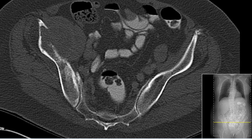
CT: 6,4 x 4 cm große kapsulierte tumoröse Raumforderung in der Fossa iliaca rechts mit knöchernen Destruktion des Os
ileum. Dichte bis 20 HEs.![]() |
Stanzzylinder mit einem zum Teil myxoid bzw. mukoid aufgelockertem Stroma.
Eingelagert zum Teil um Gefäße angeordnete Tumorzellen. Diese mäßig dicht angeordnet und mit Nachweis von Zell- und Kernpolymorphien.
Einzelne Tumorriesenzellen. Vergrößerte Zellkerne mit zum Teil feingranulärem Kernchromatin.
Gering vermehrt Mitosen. Kommunikation von Tumorzellen durch Zytoplasmafortsetze.
Immunhistologisch: positive Reaktion mit S 100-Protein.Desmin negativ. EMA negativ.
![]() | ||
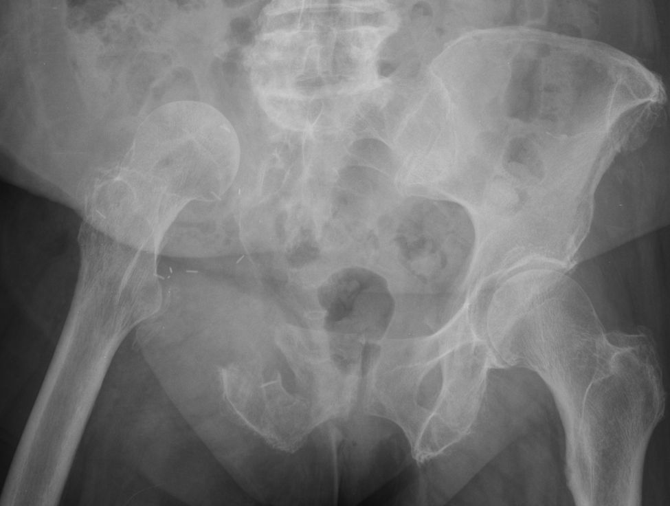
Röntgenbild nach radikaler Hemipelvektomie.![]() |
||
Quellen |
1.) Lechler P, et al.: The antiapoptotic gene survivin is highly expressed in human chondrosarcoma and promotes drug resistance in chondrosarcoma cells in vitro. BMC Cancer 11(2011):2011 Universität Erlangen | |
Impressum Zuletzt geändert am 06.04.2014 20:46