zurück Home

MCL, Mantelzell - Lymphom

allgemeines

Zellen ähneln den normales Zellen in der Mantelzone von Lymphknoten. Früher zentrozytisches Lymphom

Epidemiologie

5-10% der B-Zell NHLs

Alter median 60 Jahre

Prognose

Sehr aggressives Lymphom. (5,6)

inkurabel

OS 4-5 Jahre (2,3,4)

Klinik

 

Metastasierung

Staging

Diagnostik

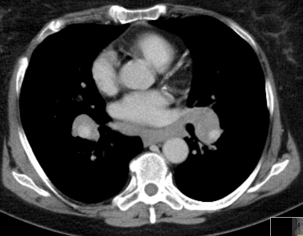
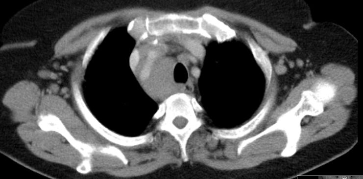
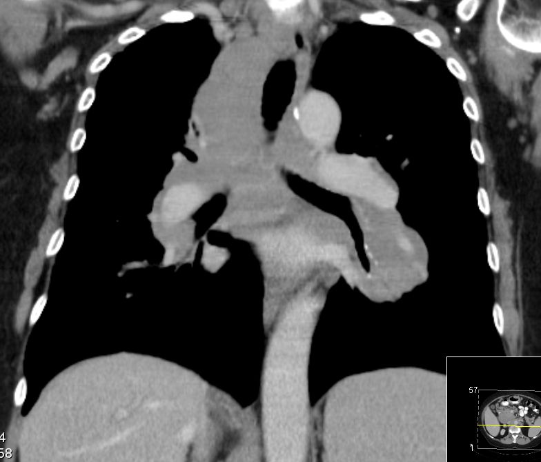
69-jährige Frau mit Inappetenz. Konfluierende Raumforderung im Mediastinum mit Ummauerung der Trachea, der Vena cava superior. Infiltration beider Lungenhili. Vergrößerte Lymphknoten axillär, zöliakal, portal, mesenterial, inguinal.

Morphologie

CD5+ CD23-

Molekularbiologie

Translokation t(11;14) (q13;q23)

Cyclin-D1 - Überexpression

Therapie

Patient Primärtherapie 1. Rezidiv
<65 Jahre Dosisintensivierte Immunchemotherapie Immunchemotherapie, ggf. Stammzelltherapie
>65 Jahre konventionelle Immunchemotherapie Immunchemotherapie, ggf. Stammzelltherapie
schlechter AZ W&W oder Monotherapie Immunchemotherapie, Temsirolimus

Ergebnisse

Radiatio

dosisintensivierte Chemotherapie

R-CHOP dann Stammzelltherapie oder R-Hyper-CVAD

konventionelle Immun- Chemotherapie

R-CHOP R-Benda R-FC

Targettherapie

Temsirolomus Bortezombib, Rituximab Thalidomid, Lenalidomid, Flaviopiridol

Ibrutinib

Imbruvica® rezidiviertes oder refraktäres MCL G-BA 9/2016: Beträchtlicher Zusatznutzen.

Quellen

1.) Pérez-Galán P, Dreyling M, Wiestner:
A. Mantle cell lymphoma: biology, pathogenesis, and the molecular basis of treatment in the genomic era.
Blood 2011; 117:26-38

2.) Herrmann A, Hoster E, Zwingers T, et al.:
Improvement of overall survival in advanced stage mantle cell lymphoma.
J Clin Oncol 2009; 27: 511-8

3.) Campo E, Rule S:
Mantle cell lymphoma: evolving management strategies.
Blood 2015; 125: 48-55

4.) Martin P, Chadburn A, Christos P, et al.:
Outcome of deferred initial therapy in mantle-cell lymphoma.
J Clin Oncol 2009; 27: 1209-13

5.) Hoster E, Dreyling M, Klapper W, et al.:
German Low Grade Lymphoma Study Group (GLSG); European Mantle Cell Lymphoma Network: A new prognostic index (MIPI) for patients with advanced-stage mantle cell lymphoma.
Blood 2008;111:558-565

6.) Hoster E, Klapper W, Hermine O, et al.:
Confirmation of the mantle-cell lymphoma International Prognostic Index in randomized trials of the European Mantle-Cell Lymphoma Network.
J Clin Oncol 2014;32:1338-1346

MCL net

European Mantle Cell Lymphoma Network

Impressum                         Zuletzt geändert am 14.11.2015 13:33