| zurück Home | primär mediastinales DLBCL | ||
| PMBL | primary mediastinal B - cell lymphoma | ||
Epidemiologie |
Befällt junge Erwachsene (median 35a). Geschlechter: W-M = 2-1 | ||
Pathogenese |
Stammt von medullären Thymuszellen ab. | ||
Metastasierung | |||
Klinik |
mediastinaler Bulk, oft mit Infiltration von Lungen, Pleura, Pericard. | KM-Befall selten, LK außerhalb des Mediastinums meistens frei. | |
Diagnostik |
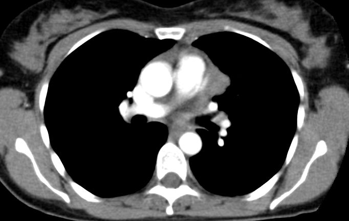
48-jährige Frau mit Subclavia - Thrombose links. Ursache war ein großzelliges B-Zell-Lymphom des oberen Mediastinums.![]() |
Kompression der V. subclavia links.![]() | |
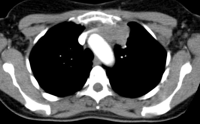
Infiltration der angrenzenden Lunge. Das Referenzzentrum hat das Stadium trotzdem bei II belassen.![]() |
|||
Morphologie |
Kein Oberflächen-IG, 80% CD30 positiv, NF-kb aktiviert.c-rel, TRAF-1 > 50% positiv. | ||
Therapie |
|||
Ergebnisse |
|||
Operation | |||
Radiatio | |||
Chemotherapie |
|||
offene Protokolle | |||
Quellen |
1.) , et al.: | ||
| |||
Impressum Zuletzt geändert am 23.10.2022 10:46