zurück Home

Ovarial - Karzinom C56

Allgemeines

Ovarial - Tumoren entstehen in den Eierstöcken der Frau.

Epidemiologie

BRD: 9000 Neuerkrankungen/a. 6000 Sterbefälle

Prognose

Da die meisten bösartigen Ovarialtumoren erst im Stadium FIGO III entdeckt werden, ist die Prognose schlecht. Eine hohe 20-S-Proteasom-Konzentration postoperativ spricht für vitalen Resttumor (1).

gutartige Ovarialtumoren

Bei jüngeren Frauen überwiegen gutartige Ovarialtumoren: Kystom, Teratom, Brennertumor, Granulosa-Tumor

BOT

Borderline Ovarial-Tumoren: nicht invasive Tumoren mit unsicherer maligner Potenz.

Klinik

Frühsymptome fehlen. Die Zunahme des Leibesumfangs, unklare Bauchschmerzen und Darmstörungen führen zur Untersuchung.

Morphologie

Kaum ein Tumor hat so viele histologische Sonderformen: epitheliale OT, Borderline, Kystome, Teratome, Stroma-Tu., Keimzell-Tu.

Molekularbiologie

DKK3 ist bei Ovarial - Karzinomen in 63% suprimiert. Dickkopf-Proteine hemmen das WNT - Signal.

Metastasierung

Sobald der Tumor die Oberfläche des Ovars erreicht hat, breitet er sich in der Bauchhöhle aus. Typisch ist maligner Aszites bereits bei der Primärdiagnose. Die lymphogene Metastasierung spielt eine geringere Rolle.

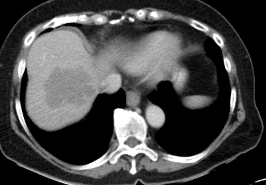
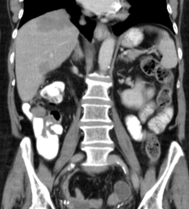
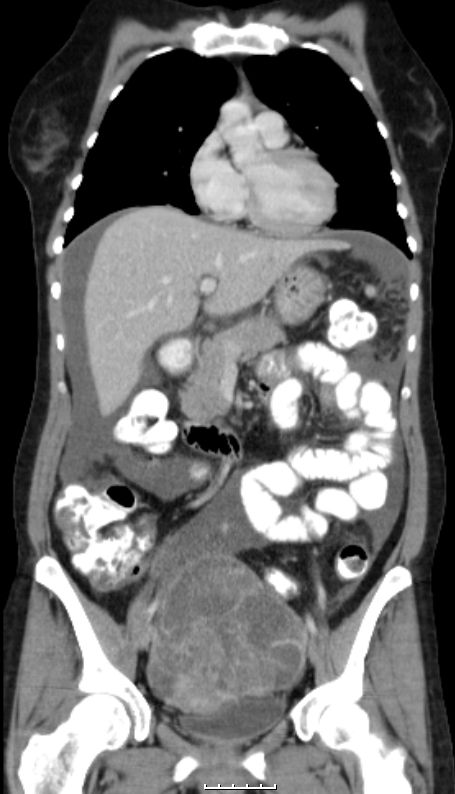
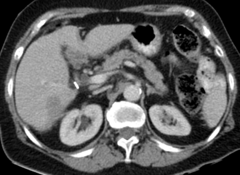
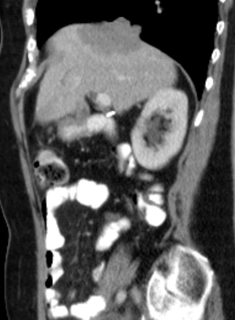
76-jährige Frau, die vor 13 Jahren ein Ovarial-Karzinom pT3b pNo Mo Lo Vo G2 hatte. Radikale OP, 6x Taxol - Carboplatin. Jetzt Lebermetastasen, RF linker Adnexbereich.

Rezidiv

Im Stadium FIGO III-IV entwickeln 65% ein Rezidiv.

Staging

TNM und FIGO - Klassifikation. BRD 2010: 70% FIGO IIb-IV

Diagnostik

Gynäkologisch Untersuchung, Sonographie , CT oder MRT, Zystoskopie, Rektoskopie. Tumormarker: CA-125, Apolipoprotein-A1, Transthyretrin, Transferrin

Therapie

Wenn operabel immer Radikal-Operation. Postoperativ meistens Chemotherapie.

Ergebnisse

Operation

Staging - Laparotomie, Hysterektomie mit Adnexen, Netzresektion.

Radiatio

Nur in Sonderfällen indiziert. Die intraperitoneale Nuklidinstillation wird nur an wenigen Zentren durchgeführt.

Chemotherapie

Bei inoperablen Tumoren primär, sonst postoperativ.

offene Protokolle

Otilia First-line-Therapie mit Bevacizumab (Avastin®) in Kombination mit Paclitaxel und Carboplatin bei Patientinnen mit fortgeschrittenem Ovarial-, Tuben- oder Peritonealkarzinom. Nicht interventionelle Beobachtungsstudie.

Links

britische NICE-Richtlinie

Quellen

1.) Heubner M, et al.
The prognostic impact of circulating proteasome concentrations in patients with epithelial ovarian cancer.
Gynec Oncol 120(2011):233-238

Teil von

Gynäkologische Onkologie Tumoren endokriner Organe Onkologie

Impressum                               Zuletzt geändert am 29.04.2022 11:05