zurück Home Teratom

Allgemeines

Wundergeschwulst. Angeborene, oft organähnliche Mischgeschwulst, die sich aus primitiven, omnipotenten Keimzellen entwickelt.
reife Teratome koätane Teratome, gutartig. Besteht aus Ektoderm, Mesoderm und Entoderm. Dermoidzysten: können Haare oder Zähne enthalten Meistens gekapselt.
Teratokarzinom embryonale Teratome, unreif, entdifferenziert, bösartig
Einordnung Keimzelltumor
Vorkommen besonders häufig in Hoden und Ovar.
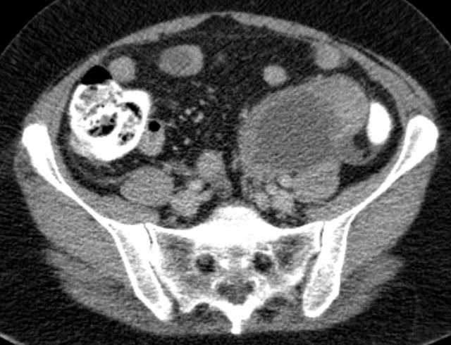
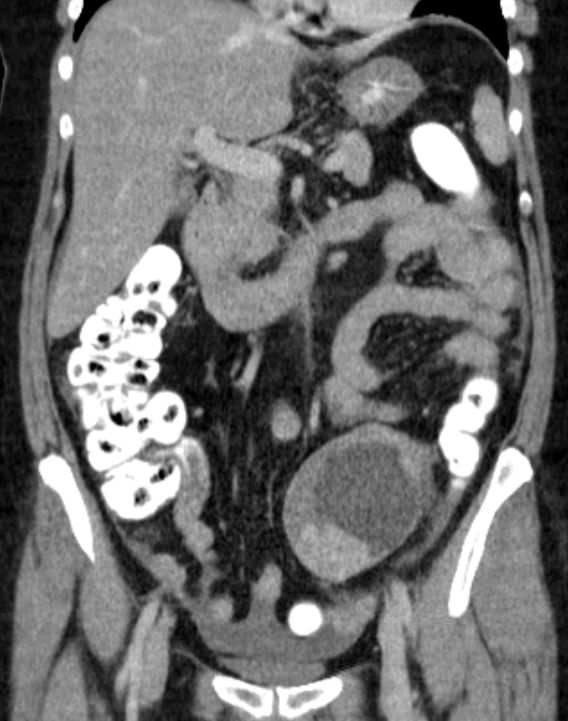
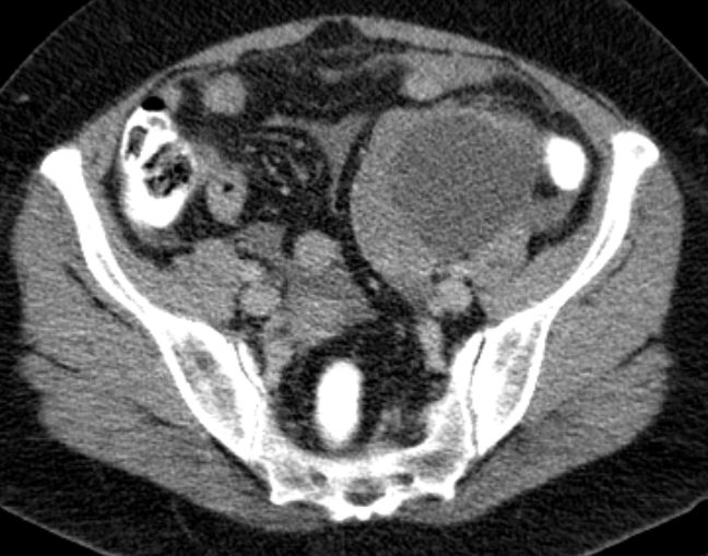
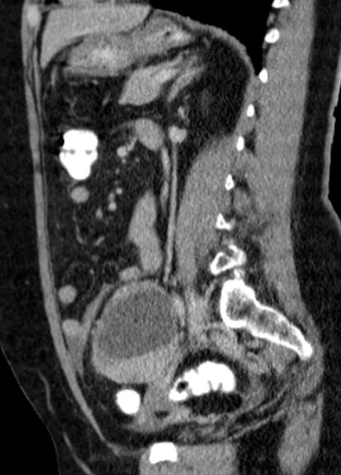
malignes Teratom 58-jährige Frau mit einen malignen Teratom mit Abszedierung und akuter Peritonitis.
Tumormarker AFP 2,86; CEA 2,27; CA 19.9 = 33 060 (N < 37!)
Makroskopie: Mehrteilige, maximal 10,9 cm messende, knotige, gelblichbräunliche und z. T. bröckelig zerfallende Gewebeproben.
Mikroskopie: Papillär angeordnete Tumorformationen. Partiell Verlust der Kernpolarität.
Deutliche Zell- und Kernunregelmäßigkeiten mit vergrößerten Zellkernen und vergröberter Chromatinstruktur sowie prominenten Nukleolen. Zahlreiche typische und atypische Mitosen.
An umschriebener Stelle drüsige Tumorstrukturen mit peritumoröser Bindegewebsentwicklung.
Immunhistologie: CK 7 positiv, herdförmig CK 20 positiv. Herdförmig eine positive nukleäre Expression von CDX2. WT1, ER negativ. .
extragonadales Teratome
  • Sakro-coccygeale Region
  • Mediastinum
  • retroperitoneal
  • Pharynx
  • Orbita
  • intracraniell: 3. Ventrikel, z.T. Kombination mit okzipitaler Enzephalozele
Therapie  

Impressum                           Zuletzt geändert am 02.10.2012 7:15