zurück Home

Pathohistologie der Ovarial - Tumoren

Allgemeines

Kaum ein Tumor hat so viele histologische Sonderformen.

Ovarial -, Tuben - und primären peritonealen Karzinome werden gemeinsam klassifiziert, da pathogenese und biologisches Verhalten ähnlich sind.

FIGO

Neue FIGO - und WHO - Klassification von Ovarial -, Tuben - und primären peritonealen Karzinomen(1).
  • HGSOC, High Grade Serous: 70%
  • EC, Endometrioid: 11%
  • CCC, Clear Cell: 17 %
  • MC, Mucinous: 3 %
  • LGSC, Low Grade Serous: 5 %
  • NOS
  • GC, Germ Cell
  • SC, Sex-Cord Stromal Cell Tumor

epitheliale OT

ca. 70% der malignen Tumoren. Man unterscheidet  seröse, muzinöse, endometrioide, klarzellige, undifferenzierte und Brenner-Tumoren

Transitional-Zell-Tumoren

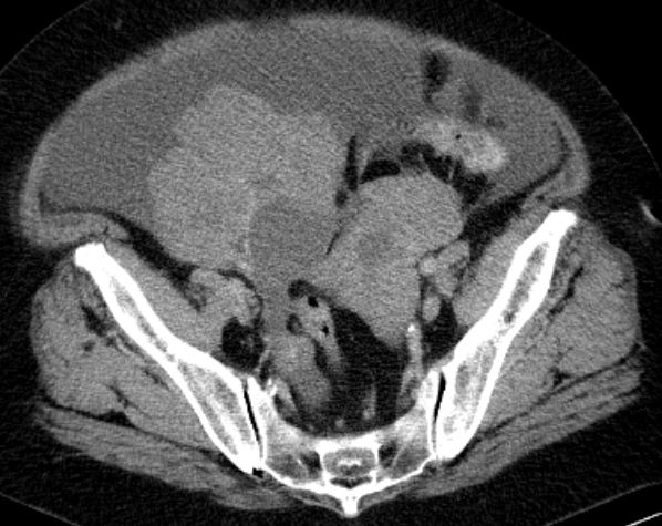
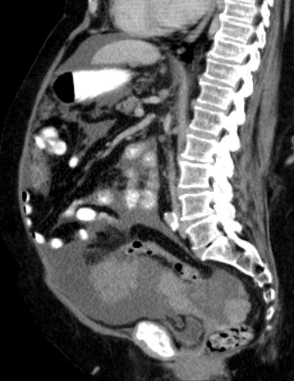
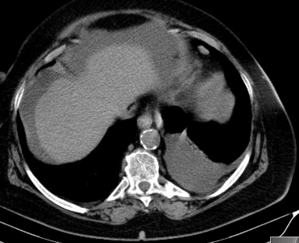
73-jährige Frau mit Ascites, Pleuraerguss links und Unterbauchtumor.  Das Netz ist komplett in einen Omental-Cake umgewandelt. An der Zwerchfellkuppe miliare Tumoraussaat.

Histologisch solide, angedeutet papillär strukturierte Tumorzellproliferaten. Vergrößerte hyperchromatische Zellkerne mit Kerneinbuchtungen, erhöhter mitotischer Aktivität. Zytoplasma verbreitert, optisch leer.

Beide Adnexe in knapp kindskopfgroße blumenkohlartige Tumoren umgewandelt.

Im Douglas finden sich pararektal mehrere bis zu pflaumengroße Tumorknoten.

Keimstrangtumoren

maligne Keimstrang- oder Stroma - Tumoren bilden etwa 7%. Dazu gehören Granulosa - Zell - Tumoren, Androblastome und Thekazell -Tumoren

60-jährige Frau mit einen Rektumkarzinom. NB: Zystisch-solider Ovarialtumor links, Histologie: Thekom

Grading

Empfehlung zur typspezifischen Malignitätsgraduierung des Ovarialkarzinoms nach (2)
  • Serös : low - und high-grade (2), nach Mitoserate und Kerngrößenvarianz
  • Endometrioid: G1-G3 (nach FIGO) nach % solider Tumoranteil
  • Klarzellig: Keine Graduierung, immer G3
  • Maligner Brenner-Tumor: Keine Graduierung
  • Muzinös: Keine Graduierung
  • Undifferenziert: Keine Graduierung, immer G3

Inhibin B

Marker für Ovar

Keimzelltumoren

maligne Keimzelltumoren gehen von embyonalem Gewebe aus. Es sind das Dysgerminom, endodermaler Sinustumor, embryonales Ca., Chorium - Ca und Teratom.

Borderline

 

gutartige OT

Granulosa-Zell-Tu.

Kystome

Teratome

Stroma - Tumoren

SC-Hyperkalzämisch

primäres Peritonealkarzinom

Teil von

Ovarial - Karzinom Gynäkologische Onkologie Tumoren endokriner Organe Onkologie

Quellen

1.) Meinhold-Heerlein et al.:
Statement by the Kommission Ovar of the AGO: New FIGO and WHO Classification of Ovanan, Fallopian Tube and Primary Peritoneal Cancer.
Geb Fra 2015;75:1021-1027

2.) Hauptmann S, et al.:
Histologische Malignitätsgraduierung des Ovarialkarzinoms.
Pathologe 2014;35:497-503

3.) Malpica A, Deavers MT, Lu K, Bodurka DC, Atkinson EN, Gershenson DM, Silva EG:
Grading ovarian serous carcinoma using a two-tier system.
Am J Surg Pathol 2004;28:496-504.

Impressum                               Zuletzt geändert am 29.04.2022 11:05