| zurück Home | gutartige Ovarial - Tumoren | |||
| allgemeines | Bei jüngeren Frauen überwiegen gutartige Ovarialtumoren | Benigne Ovarial - Tumoren sind ebenso vielfältig wie Karzinome. | ||
| seröses Kystom |
| |||
| mucinöses Kystom | ||||
| Dermoid | ||||
| Brenner - Tumor | ||||
| Granulosa - Zell - Tumor | ||||
| Tekazell - Tumor | ||||
| Teratom | 56-jährige Frau mit einem fortgeschrittenen Zervixkarzinom. Das linke Ovar hat die Dichte von Fett und enthält eine Zahnanlage.
Das Fett stammt aus den Talgdrüsen der embryonalen Haut.![]() | |||
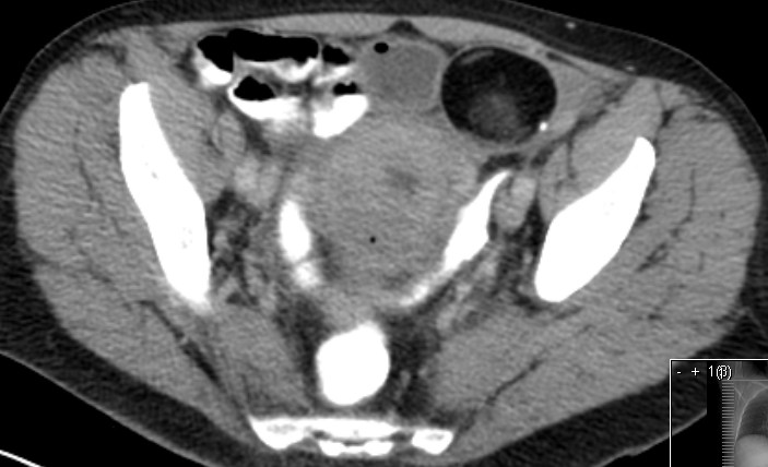
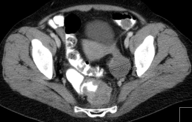
| Fibrom | 62-jährige Frau mit einem Rektumkarzinom und einer
Raumforderung des linken Ovars. ![]() |
Makroskopie: 6,5 x 6 x 4 cm großes Ovar. Es enthält einen 6 cm durchmessenden Knoten.
Dieser mit weißlichen, derben Schnittflächen. Der Knoten ist glatt begrenzt.![]() |
||
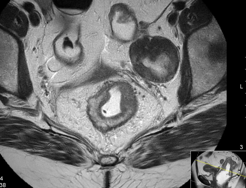
Mikroskopie: Ovar mit einem zellarmen fibrösen Tumor. In Zügen angeordnete Bindegewebsfasern. Keine Zell- und Kernpolymorphie. Keine erhöhte Mitoserate.
Eingelagert einzelne Gefäße. Angrenzendes Ovarialparenchym komprimiert und mit mehreren Corpora albicantia. MRT sT1W TSE![]() |
MRT sT2W TSE![]() | |||
MRT sT2W TSE![]() | ||||
Teil von |
Ovarial - Karzinom | Gynäkologische Onkologie | Tumoren endokriner Organe | Onkologie |
Impressum Zuletzt geändert am 29.04.2022 11:05