zurück Home

Klinik des Ovarial - Karzinoms

Allgemeines

Klinik

Frühsymptome fehlen. Die Zunahme des Leibesumfangs, unklare Bauchschmerzen und Darmstörungen führen zur Untersuchung.

Symptome

Symptome

Risikofaktoren

Studie der Universität Nottingham(2): Analyse 1.158.723 Frauen 39-84 Jahre (2,03 Millionen Personenjahre), die innerhalb von 10 Jahren (bis 2010) in 564 Praxen der Primärversorgung behandelt worden waren. Unabhängige und altersadjustierte Risikofaktoren
Hazard Ratio Symptom
23,1 abdominelles Spannungsgefühl
9,8 Familienanamnese mit einem Ovarialkarzinom
7,0 Schmerz im Abdomen
6,6 postmenopausale Blutung,
2,3 Hämoglobin unter 110 g/l in den letzten 12 Monaten
2,0 unbeabsichtigter Gewichtsverlust
2,0 rektale Blutung
Die ermittelten Faktoren sind überwiegend Spätsymptome, die für eine Früherkennung von Ovarialkarzinomen ungeeignet sind (3).

Diagnostik

Gynäkologisch Untersuchung, Sonographie , CT oder MRT, Zystoskopie, Rektoskopie.

Lymphknoten

Häufigkeit von Lymphknotenmetastasen
  • Stadium I: 15-25%
  • Stadium II: 20-40%
  • Stadium III: 50-75%
In 75% sind paraaortale LK befallen
In 15% sind nur pelvine Lymphknoten befallen
lymphogene Ausbreitung

Tumormarker

CA-125 ist der gebräuchlichste Tumormarker. Vierer-Set: CA-125, Apolipoprotein-A1, Transthyretrin, Transferrin

EAOC

endometriosis-associated ovarian cancer

Frauen mit Endometriose entwickeln häufiger Ovarialkarzinome.

Diese sog. EAOCs unterscheiden sich von den übrigen Ovarialkarzinomen(1).

BRCA

Bei BRCA-1- und BRCA-2-Mutation ist nicht nur die Häufigkeit von Brustkrebs sondern auch die von Ovarialkarzinomen erhöht.
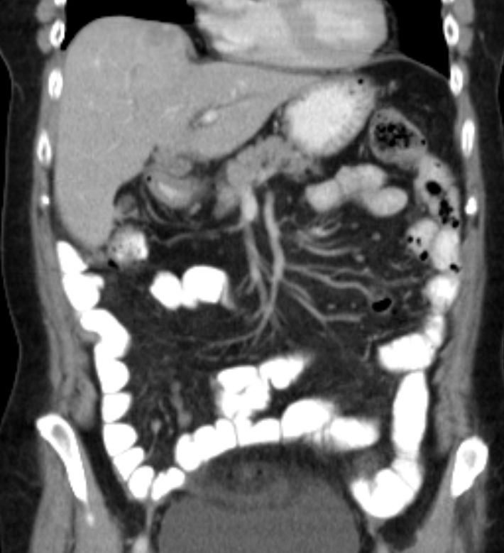
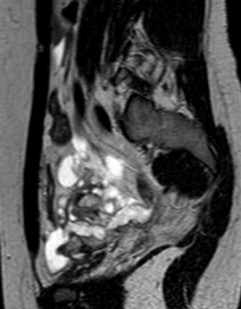
Pseudomyxoma peritonei 26-jährige Frau mit Tuboovarialabszess. Bei der Laparotomie fanden sich zahlreiche knotig-glasige Veränderungen im Peritoneum des Mittel- und Unterbauches sowie beidseits zystische Ovarien. Histologie: Pseudomyxoma peritonei (low grade). Dieses entsteht in den meisten Fällen auf dem Boden einer muzinösen Neoplasie des Gastrointestinaltraktes, insbesondere der Appendix. Die Ovarien dürften sekundär in den Prozess einbezogen sein.
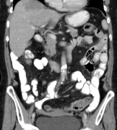
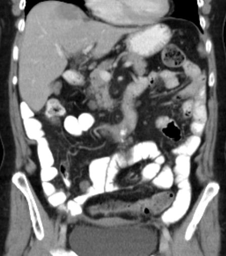
Spätrezidiv 77-jährige Frau bei der vor 13 Jahren ein Ovarialkarzinom behandelt wurde: Hysterektomie, bilaterale Adnexektomie, Omentektomie, Appendektomie, 6 Zyklen Carboplatin/Taxol
Nebendiagnosen: Mammakarzinom links 1977 (Ablatio + Axilladissektion)
Jetzt: peritoneale und Lebermetastasierung, mediastinale Lymphknotenvergrößerung.
Leberpunktion: Adenokarzinom. Die Tumorinfiltrate zeigen angedeutet papillären Strukturmuster. Immunhistologie: CK 7 stark positiv. Nukleär deutlich Östrogen sowie WT1. CK 20, CEA, CDX2, TTF1 negativ.

Teil von

Ovarial - Karzinom Gynäkologische Onkologie Tumoren endokriner Organe Onkologie

Quellen

1.)Kumar S, et al.:
Prognostic analysis of ovarian cancer associated with endometriosis.
Am J Obstet Gynecol 204(2011):63.e1-7

2.) Hippisley-Cox J, Coupland C:
Identifying women with suspected ovarian cancer in primary care: derivation and validation of algorithm.
BMJ 344(2011):1-11

3.) Siegmund-Schultze, N:
Ovarialkarzinome: Wichtige Risikofaktoren sind quantifiziert worden.
Dtsch Arztebl 109(2012):B-744-745

Impressum                               Zuletzt geändert am 06.09.2022 11:05