| zurück Home | Granulosa - Zell - Tumoren | |||
| Allgemeines |
||||
| Epidemiologie | 2% der Ovarial-Tumoren, 10% der malignen Ovarial-Tumoren. | |||
| Stadien | . | |||
| Prognose | ||||
| Klinik | meistens Östrogenproduktion, z. T. Androgenproduktion | |||
| Metastasierung | ||||
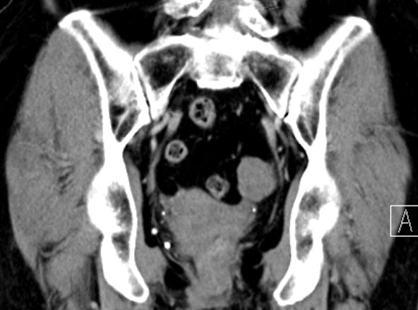
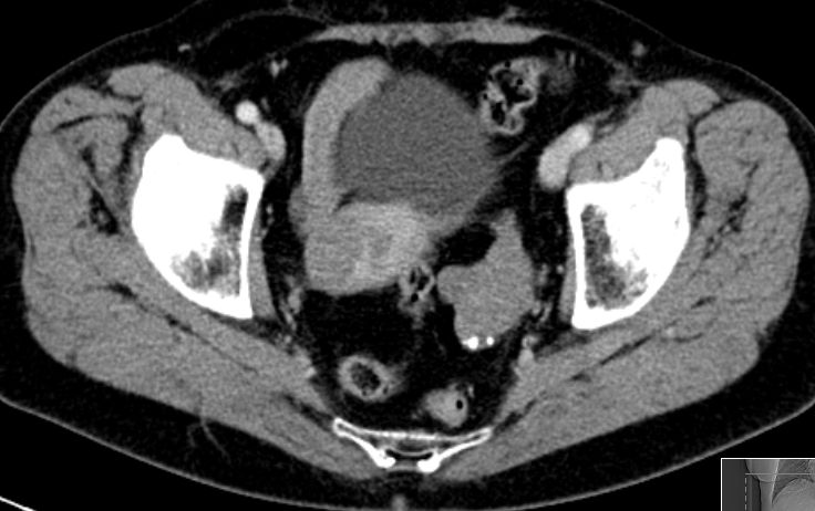
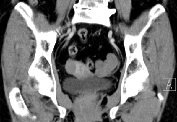
| Diagnostik | 70-jährige Frau mit einer RF des linken Adnex. Histologisch adulter Granulosazelltumor FIGO Ia.![]() |
![]() |
![]() | |
| Morphologie | meistens unilaterale, solide (auch multizystisch) mit grauweißer oder gelblicher Schnittfläche. | |||
| Molekularbiologie | FOXL2 - Mutationen bei Erwachsenen Granulosazelltumoren ist pathogmonisch (1,2,3). | |||
| Therapie | ||||
| Ergebnisse | ||||
Operation | ||||
Radiatio | ||||
Chemotherapie | ||||
Target - Therapie | ||||
offene Protokolle | ||||
Teil von |
Ovarial - Karzinom | Gynäkologische Onkologie | Tumoren endokriner Organe | Onkologie |
Quellen |
1.) Shah SP, et al.: Mutation of FOXL2 in granulosa-cell tumors of the ovary. NEJM 360(2009):2719-29 2. Jamieson S, et al.: The FOXL2 C134W mutation is characteristic of adult granulosa cell tumors of the ovary. Mod Pathol 23(2010):1477-85 3. Al-Agha OM, et al.: FOXL2 is a sensitive and specific marker for sex cord-stromal tumors of the ovary. Am J Surg Pathol 35(2011):484-94 | |||
Impressum Zuletzt geändert am 02.10.2012 7:15