| zurück Home |
seröse Ovarial - Karzinome |
Allgemeines |
Maligne seröse Ovarialtumoren habe ihre Quelle z.T. in der Tube. |
HGSC |
High-Grade Serous Cancer |
ca. 75% der epithelialen Ovarialkarzinome. |
>90% p53-Mutation |
| 5a-OS: 10-30% |
Verläufer: STICs (Serous Tubal Intraepithelial Carcinoma) |
STICs 5a vor einem HGSC nachweisbar. |
LGSC |
Low-Grade Serous Cancer |
Rezidiv-OP bringt beim LGSC einen Benefit(3)
| |
Nach Rezidiv-OP makroskopischer Tumorrest |
Bemerkungen |
| Ja | Nein |
| Patientinnen | 9 | 32 |
| OS | 167,5 Monate | 88,9 Monate | n.s. |
| PFS | 11 Monate | 60 Monate | p = 0,008 |
|
LGSC sind häufig Chemoresistent (4):
- AGO Study Group metadatabase
- 5114 Patientinnen insgesamt
- 145 Patientinnen mit LGSC (2,8%)
- 39 Patientinnen mit Tumorrest > 1 cm
- Chemoresponse LGSC: 23,1 %
- Chemoresponse HGSC: 90,1 %
|
LGSC sprechen auf MEK-IH an (5).
- Inhibition des MAP-Kinase-Signalweges
- MEK-
Inhibitor: Selumetimb
- 80 % Ansprechen bei Rezidiv (5)
|
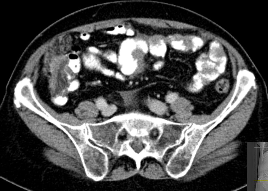
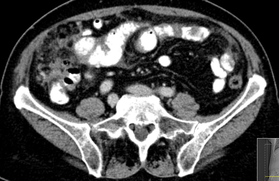
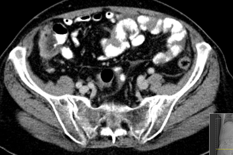
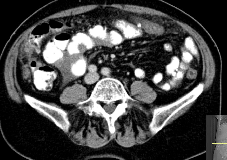
72-jährige Frau mit Peritonealkarziose nach HE mit
Adnexen vor 16 Jahren.
 |
Histologie: Low-grade-serös-papilläres Karzinom
 |
Intraoperatv ausgedehnte Karzinose der Darmserosa und des
Mesenteriums.
 |

|
Mutationen |
LGSC:
- KRAS-Mutation
- BRAF-Mutation
- NRAS-Mutation
- PI3KCA-Mutation: aktivierend
- 40%
PTEN — Mutationen: inhibierend
- IGFBP — Überexpression 3-8%
- Pax 2 — Überexpression
- Östrogenrezeptor-Expression
- Progesteronrezeptor-Expression
|
HGSC
- P53 — Mutationen: 96%
- Ki 67 — Überexpression
- P 16 — Überexpression
- BRCA1/2 — Mutationen
- FOXM1 (Forkhead Box M1, wird von P53 wildtyp supprimiert, Überexpression von Plk1)
- Plk1 (Polo Like Kinase 1) reguliert Zentrosom-Reifung und Duplikation, u.a.
|
Formen (2) |
| Tumor | Ort | Ursprung | Ziel-Zelle | Genetik | Benigner Vorläufer | Typische Verteilung und Verhalten |
| serös, gut differenziert, LGS |
Ovar |
Müller-Inklusionszyste | Müller |
K-ras, BRAF |
Zystadenom Adenofibrom |
Bilateral, intrazystisch od. Oberfläche, peritoneale Ausbreitung |
| serös, schlecht differenziert | Fimbrien | Endosalpinx |
Sekretorische Zelle | p53 | p53-Signatur |
Unilateral, intraepithelial, minimale Invasion, Serosabefall |
| serös, schlecht differenziert | Ovar |
Müller-Inklusionszyste Endometriose |
Sekretorische Müller Zelle |
p53 C-Myc |
Endometriom Zystadenom
| Dominante Masse, bilateral, Oberfläche, peritoneale Ausbreitung |
| serös, schlecht differenziert | Ovar | ovarielles Oberflächenepithel |
ovarielles Oberflächenepithel oder generisches Müller-Epithel | p53 | ? p53-Signatur |
Bilat. Beteiligung der Oberfläche, peritoneale Ausbreitung |
|
HGSC |
High-Grade Serous Cancer |
ca. 75% der epithelialen Ovarialkarzinome. |
>90% p53-Mutation |
| 5a-OS: 10-30% |
Verläufer: STICs (Serous Tubal Intraepithelial Carcinoma) |
STICs 5a vor einem HGSC nachweisbar. |
Quellen |
1.) Groen RS, et al.:
Updates and emerging therapies for rare epithelial ovarian cancers. One size no longer fits it all.
Gynecol Oncol 2015;136:373-383
2.) Jarboe EA, et al.:
Tubal and ovarian pathways to pelvic epithelial cancer: a pathological perspective.
Histopathology 2008;53:127-138
3.) Crane EK, et al.:
The role of secondary cytoreduction in low-grade serous ovarian cancer or peritoneal cancer.
Gynecol Oncol 2015;136:25-29
4.) Grabowski JP, et al.:
Operability and chemotherapy responsiveness in advanced low-grade serous ovarian cancer. An analysis of the AGO Study Group metadatabase.
Gynecol Oncol 2016;140:457-462
5.) Farley J, et al.:
Selumetimb in women wich recurrent low-grade serous carcinoma of the ovary or peritoneum - an open-label, single-arm, phase 2 study.
Lancet Oncol 2013;14:134-40
|
 |